Helicobacter pylori Uses Motility for Initial Colonization and To Attain Robust Infection (original) (raw)
Abstract
Helicobacter pylori has been shown to require flagella for infection of the stomach. To analyze whether flagella themselves or motility is needed by these pathogens, we constructed flagellated nonmotile mutants. This was accomplished by using both an insertion mutant and an in-frame deletion of the motB gene. In vitro, these mutants retain flagella (Fla+) but are nonmotile (Mot−). By using FVB/N mice, we found that these mutants had reduced ability to infect mice in comparison to that of their isogenic wild-type counterparts. When these mutants were coinfected with wild type, we were unable to detect any motB mutant. Finally, by analyzing the 50% infectious dose, we found that motility is needed for initial colonization of the stomach mucosa. These results support a model in which motility is used for the initial colonization of the stomach and also to attain full infection levels.
Many bacterial pathogens swim, but little is known about how these microbes use this ability when inside animal hosts. Motility is often driven by flagella, complex extracellular structures that require large amounts of energy for operation. A bacterium presumably benefits if it makes flagella only when needed and regulates their activity so as not to swim at random.
Flagella are often used by bacteria inside the animals they infect. Flagellar mutants of Helicobacter pylori (13), Campylobacter jejuni (32, 45), Campylobacter coli (37), and Vibrio anguillarum (35) are less virulent than their wild-type counterparts in animal models, indicating that flagella are crucial to the infection process of these pathogens. Additionally, human immunoglobulins are often directed against flagellar proteins in H. pylori (28), Pseudomonas aeruginosa (3, 44), C. jejuni (46), and C. coli (27), implying that flagella are expressed by these bacteria when inside the host.
The functions that flagella play during infection, however, are not thoroughly understood. Flagella are best known for conferring motility, although recently they have been shown to play a variety of other roles. These include serving as an export apparatus for virulence factors (47) and sensing the viscosity of a medium (29). If flagella are required for infection, they could be used for any or all of these processes.
H. pylori is a human pathogen that colonizes gastric tissue, causing symptoms ranging from mild gastritis to ulcers, and confers an increased risk of gastric cancer (10, 34, 43). Human colonization by this bacterium is very prevalent; it is estimated that over 50% of people worldwide are infected but only a subset develop disease. Several bacterial factors, including flagella, and various enzymes and toxins contribute to the full virulence of H. pylori (7, 10, 26, 39, 40).
H. pylori carries a tuft of about five sheathed flagella located at one pole. Each flagellar filament is composed of two flagellins, FlaA and FlaB (22). The minor flagellin species, FlaB, localizes to the base of the flagellum, while the more abundant one, FlaA, lies in the outer regions (22). Elimination of flaB (FlaB−) yields normal-looking flagella that retain some function and propel the bacterium about 60% as well as normal (20, 41). Elimination of flaA (FlaA−) yields truncated flagella that move the bacterium only slightly. Elimination of both flagellins (FlaA− FlaB−) results in aflagellated bacteria that are immobile (20). The phenotypes of these mutants in the piglet colonization model roughly parallel their motility: mutants missing either flaB or flaA were able to transiently colonize piglets (for four days) but at levels about 104-fold lower than those of their wild-type parent (13). FlaA− FlaB− double mutants were able to infect animals to levels similar to those of the single-flagellin mutants only until the earliest time point, day 2. These results suggest that partial motility can support some colonization but wild-type motility is needed for the bacterium to reach and maintain high levels of infection in the piglet. In support of this idea, several additional aflagellated mutants have been constructed by elimination of the fliD, fliQ, and flhB flagellar assembly genes (15, 21). Mutation of any of these genes eliminates the ability of H. pylori to make flagella and results in bacteria that no longer colonize mouse stomachs, another animal model, supporting the importance of functional flagella for infection.
To begin to analyze whether H. pylori requires flagella or motility during animal infection, we constructed mutants that have immobilized flagella. This type of motility mutant was created because previously analyzed motility mutants of H. pylori were either aflagellated (flaA flaB; fliD; fliQ; flhB) or partially motile (flaB; flaA). Of note, flaB mutants retain normal-looking flagella and some motility. However, because FlaB is part of the wild-type flagellum, it is possible that these mutant structures were not entirely normal and that this is the reason these mutants were less able to swim. To differentiate whether wild-type flagella or motility is needed for infection, we created H. pylori mutants that have structurally wild-type but paralyzed flagella. Based on phenotypes in Escherichia coli and Vibrio cholerae, we chose to eliminate the motB gene that encodes the MotB flagellar motor protein (5, 16). Such a mutant is predicted to retain nonfunctional but structurally wild-type flagella.
MATERIALS AND METHODS
Bacterial strains and plasmids.
For all experiments, we used H. pylori strains G27 and SS1. Both strains are human isolates and motile. G27 is easily transformed but does not infect mice. SS1 readily infects mice. For all cloning, we used E. coli strain DH10B. H. pylori strains and plasmids used in this study are listed in Table 1.
TABLE 1.
Strains and plasmids used in this study
| Strain | Genotype or description | Antibiotic resistance | Reference or source |
|---|---|---|---|
| H. pylori | |||
| G27 | Wild type | 6-Nina Salama | |
| SS1 | Wild type | 23-Janie O'Rourke | |
| SS1 motB::cat | SS1 motB::cat1 | Cm | This study |
| SS1 motB::km-sac | SS1 motB::aphA3-sacB1 | Km | This study |
| SS1 Δ_motB_ | SS1 Δ_motB2_ | This study | |
| G27 motB::cat | SS1 motB::cat1 | Cm | This study |
| G27 motB::km-sac | G27 motB::aphA3-sacB1 | Km | This study |
| G27 Δ_motB_ | G27 Δ_motB2_ | This study | |
| Plasmid | |||
| pBluescript KS (pBS) | Cloning plasmid | Ap | Stratagene |
| pT7blue | Cloning plasmid | Ap | Novagen |
| pBS-cat | pBS with C. coli cat gene | Ap, Cm | Nina Salama |
| pKSFII | pBS with aphA3 and sacB gene | Km | 9 |
| pKO114 | pBS with 1.2-kb motB gene from G27 | Ap | This study |
| pKO114i | pKO114 with _aphA3-sac_B insert | Ap, Km | This study |
| pACL14 | pKO114 with cat insert | Ap, Cm | This study |
| pKO124 | pT7blue with 2.9-kb region of SS1 genome encompassing motB | Ap | This study |
| pKO124d | pKO124 with in-frame deletion of motB | Ap | This study |
Growth media and chemicals.
For solid-medium culture, H. pylori was grown on Columbia blood agar (Difco) plates with 5% defibrinated horse blood (Hemostat Labs, Davis, Calif.)-5 μg of trimethoprim/ml-8 μg of amphotericin B/ml-10 μg of vancomycin/ml-50 μg of cycloheximide/ml-5 μg of cefsulodin/ml-2.5 μg of polymyxin B/ml-0.2% (wt/vol) β-cyclodextrin (Sigma) (CHBA) at 37°C under conditions of 7 to 10% O2, 10% CO2 and 80 to 83% N2. All antibiotics were from Sigma or ISC Bioexpress. For liquid culture, H. pylori strains were grown in brucella broth (Difco) with 10% heat-inactivated fetal bovine serum (FBS) (Gibco) (BB10) in anaerobic jars with Campy Paks (Oxoid). For selection of mutants, kanamycin was used at 15 μg/ml (H. pylori) or 30 μg/ml (E. coli), chloramphenicol was used at 5 to 10 μg/ml (H. pylori) or 20 μg/ml (E. coli), and sucrose was used at 10% (wt/vol).
For long-term storage, a thick 3- to 5-day growth of H. pylori from a Columbia blood agar plate was scraped into brucella broth with 10% FBS (BB10)-1% (wt/vol) β-cyclodextrin-25% glycerol-5% dimethyl sulfoxide. The cells were dispersed using pipetting and vortexing and frozen at −70°C.
Plasmid preparation was done using kits from Qiagen. For preparation of genomic DNA, DNeasy kits (Qiagen) or Wizard Genomic kits (Promega) were used. All restriction and DNA modification enzymes were from New England Biolabs or Gibco. Amplification of DNA was carried out using Pfu or _Pfu_-Turbo polymerases (Stratagene) or Taq polymerase (generous gift of D. Kellogg). All DNA sequencing was performed by the U. C. Berkeley sequencing facility.
Cloning of the motB gene.
The motB gene was amplified from G27 chromosomal DNA using Pfu polymerase and oligonucleotides motB1 (5′gaagggatccgggcataagctcaaagc 3′) and motB3 (5′ gaagaagctagaacgcccttgattgatg 3′). These primers were designed based on the 26695 sequence (42) to amplify approximately 170 bp upstream of the start of motB (gene no. 0816) and 300 bp downstream of the stop codon for motB and yield a 1,200 bp product. The product was gel purified, a 5′ T overhang was added using Taq polymerase, and the resultant product was ligated with the pCR2.1-topo vector (Invitrogen) to create pKO104. Restriction enzyme analysis and DNA sequencing confirmed that the resultant plasmid contained motB. By digesting at _Eco_RI sites that flank the inserted motB piece in pKO104, the 1.2-kb motB piece was subcloned into _Eco_RI-digested pBluescript KS to create pKO114.
A larger genomic clone was amplified from SS1 chromosomal DNA by using _Pfu_-Turbo polymerase and oligonucleotides motB4 (5′ tttgatcaatgacgcttgcgtg 3′) and motB5 (5′ cgatagcggccttaatgacctc 3′). Amplification using these oligonucleotides yielded a 2.9-kb fragment. This fragment was ligated with _Eco_RV-digested pT7blue to create pKO124. The identity of the cloned insert was verified by using DNA sequencing.
Creation of motB insertion and deletion plasmids.
For insertional mutagenesis, either the cat gene or _aphA3_-sacB cassette was inserted into a unique _Bcl_I site in motB in pKO114. This insertion point corresponds to amino acid 113 (there are 257 amino acids in full-length motB). For simple insertional mutagenesis, a 0.8-kb _Hin_cII fragment containing the cat gene from pBS-cat was gel purified and subsequently ligated with _Bcl_I-digested pKO114 that had been blunt ended. This product was called pACL14. For insertion-deletion mutagenesis, a 3.2-kb _Sma_I-_Xho_I gene fragment containing the aphA3-sacB genes was excised from pKSFII, blunt ended using T4 polymerase, and ligated with pKO114 prepared as described above to create pKO114i.
To create a plasmid from which the motB coding sequence had been removed, we used inverse PCR with oligonucleotides motBd1 (5′ cttagccatttttagccctc 3′) and motBd2 (5′ caccaagaatgaatcgcatg 3′) and pKO124 DNA. This results in the in-frame removal of most of the motB coding sequence, except for the portion encoding the first three and last three amino acids. The resultant PCR product was ligated to itself to create pKO124d.
Creation of H. pylori motB mutants.
To create H. pylori with either chromosomal motB::cat or motB::_aphA3_-sacB, we transformed SS1 and G27 with pACL14 and pKO114i, respectively, using natural transformation as previously described (39). In order to obtain transformants with pKO114i, we had to first treat this plasmid with a cell extract, presumably so that it was methylated in the pattern of the SS1 strain (11). This treatment was carried out as previously described (11). For transformation, low-passaged H. pylori was struck onto CHBA, allowed to grow for 20 to 24 h, and then restruck in a small patch on the same medium. After allowing this to incubate for 6 h, 0.5 to 5 μg of plasmid DNA was stirred into the patch. This was incubated for 16 to 20 h, and the entire patch was then struck onto CHBA with chloramphenicol or kanamycin. Single kanamycin- or chloramphenicol-resistant colonies arose after 3 to 6 days; these were colony purified twice. After the second set of single colonies had arisen, several were picked and amplified for preparation of chromosomal DNA and for frozen storage.
Chromosomal DNA from each kanamycin- or chloramphenicol-resistant colony was prepared and analyzed using PCR and Southern blotting. For PCR analysis, approximately 2 ng of chromosomal DNA was amplified with primers that flank the motB gene (motB1 and motB3 described above) or with one primer that flanks the motB gene (motB1 or motB3) and a primer that hybridizes to the aphA3 gene (5′ ctcccaatcaggcttgatcc) or cat gene (colicat1; 5′ gtatagtctgctgtaaactcagtcc) by using Taq polymerase and standard protocols (4) (Fig. 1). For Southern blotting, approximately 15 to 50 ng of chromosomal DNA was digested with _Hin_dIII overnight and probed with the aphA3 gene or the cat gene by using either the Phototope kit (New England Biolabs) or Alk-Phos Direct kit (Amersham) and manufacturer's protocols.
FIG. 1.
PCR analysis of motB mutants.(A) Schematic representations of wild-type motB (i), motB::cat (ii), and Δ_motB_ (iii). Arrows represent primers used for PCR. Primer 1 is motB1, primer 2 is motB3, and primer 3 is colicat1 (sequences are in the text). Numbers at the top of panel i indicate nucleotide numbers for the motB open reading frame, while numbers at the bottom represent the genomic sequence numbers from the TIGR sequence (42). The location of the Bcl_I site used for inserting the cat/aphA3-sacB is marked. (B) Agarose gel analysis of PCR amplification products from genomic DNA of SS1, SS1 Δ_motB and SS1 motB::cat, and G27 and G27 motB::cat. The source of genomic DNA is shown at the top of the figure; the primer set (as in panel A) is shown at the bottom. The arrows indicate full-length motB, and the diamonds indicate altered motB (either motB::cat or Δ_motB_). Kilobase markers are shown on the left side. Although in some lanes multiple bands can be seen, in all cases the dominant band is the band of interest. Similar results were obtained with G27Δ_motB_.
To produce H. pylori with in-frame deletions in motB, SS1 or G27 motB::aphA3-sacB was transformed as described above with pKO124d and selected on 10% sucrose CHBA. Single sucrose-resistant kanamycin-sensitive colonies were colony purified and analyzed as described above.
Phenotypic analysis of motility and flagellation.
Motility was assessed using wet mounts of H. pylori cultures that had been incubated for 7 to 10 h on CHBA. A small amount of the bacteria were taken up, placed into BB10, and examined under phase-contrast microscopy. For wild-type H. pylori, we found that most of the cells were swimming rapidly and changing direction frequently at this time point. When assessed after 40 h of culture on CHBA, motility was substantially decreased.
Motility was further evaluated using soft agar plates composed of brucella broth, 5% FBS, 0.35% agar, and _H. pylori_-selective antibiotics. A small portion of the strain to be tested was stabbed about three-fourths of the way into the thickness of the agar, and the diameter of the bacterial halo was measured each day for 7 to 10 days. Formation of the halo in this assay depends on both motility and chemotaxis, although the chemotactic component of this medium is not known.
Flagellation was determined as described previously (21) by using 16-h-old CHBA-grown cultures stained with phosphotungstate and transmission electron microscopy.
Mouse infection.
For all infections, 6- to 8-week-old FVB/N mice (Charles River) were used and housed in an Association for the Assessment and Accreditation of Laboratory Animal Care-accredited facility in microisolator cages with free access to standard food and water. All animal procedures were approved by the Institutional Animal Care and Use Committee. For infection, bacteria were inoculated from frozen stocks onto CHBA and minimally passaged before starting a 5-ml BB10 culture with a large swab of solid-medium culture. This was grown microaerobically with shaking for 16 h. After this time period, the cultures were assessed for spiral morphology and motility and the optical density at 600 nm (OD600) was determined to calculate the number of H. pylori bacteria per milliliter by using the following conversion: 1 OD600 = 3 × 108 bacteria/ml. Mice were usually infected with 1 × 107 to 10 × 107 H. pylori bacteria in 1 ml of BB10 by using a gavage needle. For competition experiments, the two strains were mixed together such that there were equal numbers (1 × 107 to 5 × 107 of each strain in 1 ml) based on the OD600. All infection amounts were verified by plating the inoculum. For all mouse experiments, an SS1 wild type that was passaged the same number of times as the mutant was used. In all cases, this number totaled fewer than 20 lab passages performed since obtaining this strain from J. O'Rourke.
After the selected period of time, the mice were euthanatized by inhalation of CO2. The glandular stomach was removed and separated from the forestomach and cut along the lesser curvature. The food in the stomach was removed with forceps, and the stomach was bisected by cutting along the greater curvature. One half of the stomach was transferred to an Eppendorf tube containing 0.5 ml of BB10. This was weighed and homogenized with a tissue homogenizer pestle (VWR), and serial dilutions were plated onto CHBA with 10 μg of nalidixic acid/ml and 200 μg of bacitracin/ml. For competitions, samples of each stomach homogenate were plated onto CHBA and onto CHBA plus selective antibiotics (e.g., chloramphenicol). The number of wild-type bacteria was determined using the following equation: (CFU on CHBA) − (CFU on CHBA-cat). No bacterial growth occurred when the stomach contents of mice infected with wild-type SS1 were plated on CHBA-cat, confirming the specificity of this approach. In addition, stomach contents of mice that were either uninfected or mock infected with BB10 alone gave no colonies on CHBA.
We estimated the limit of detection in this assay to be 250 CFU per gram of stomach. This estimate was arrived at as follows. Using the protocol described above, we routinely plate 1/10 of a half stomach. A typical half stomach weighs 0.08 g. Thus, 250 CFU/gram is 20 CFU/half stomach, or 2 CFU in 1/10 of a half stomach.
To determine the 50% infective dose (ID50), mice were infected with a serial dilution of bacteria grown and prepared as described above. All determinations of CFU in the stomach were carried out as described above.
Statistical analyses.
Statistical analysis of mouse colonization was done by using the Wilcoxon signed rank test in the program Systat 8.0.
RESULTS
Generation of mutants that retain flagella but lack motility.
In order to differentiate whether flagella or the process of motility is required for infection, we eliminated the motB gene, which is predicted to encode a flagellar motor protein, MotB. Because this protein is required for flagellar operation but not formation, these mutants are expected to be flagellated (Fla+) and nonmotile (Mot−). The motB gene was identified during annotation of the H. pylori genome. In the 26695 genome it is number 0816; in the J99 genome it is number 0752 (2, 42). The predicted proteins encoded by the two H. pylori motB genes are 97% identical to each other and to many other proteins in the database. In 1996, Nguyen and Saier defined a consensus MotB sequence based on analysis of MotB proteins from E. coli, Bacillus subtilis, and Rhodobacter sphaeroides as follows: W X [L/I/V/M/A/F] [T/P/A] [F/Y] [A/T] D [L/I/V/M/A/F] X [L/I/V/M/A/F] F [L/I/V/M/A/F], where X is any amino acid and any one of the amino acids in brackets is found (33). The H. pylori MotB proteins match the first nine amino acids of this consensus but differ with respect to the last three (the H. pylori sequence is W/A/V/P/Y/A/D/F/L/S/L/L).
To create a flagellated nonmotile H. pylori, motB was eliminated in two ways. In the first method, a chloramphenicol resistance gene was inserted into the middle of the motB open reading frame to create motB::cat. In the second, an in-frame region of motB was deleted (encompassing amino acids 4 to 254), by using the two-step insertion-deletion methodology described by Copass and colleagues (9), to create Δ_motB_. This deletion removes the coding sequence for all of the MotB protein except for the first three and last three amino acids. The correct nature of these mutants was verified using PCR, Southern blotting, and DNA sequence analysis of a PCR product from the chromosomal locus for the deletions (Fig. 1 and data not shown). Both G27 and SS1 forms of these mutants show growth rates that are somewhat higher than that of the wild-type parent in BB10 (data not shown).
We next evaluated H. pylori G27 and SS1 motB::cat and Δ_motB_ for motility and flagellation to ascertain if elimination of motB yielded the expected phenotype. When these strains were observed using phase-contrast microscopy of wet mounts, both wild-type parents were highly motile, while strains that lacked motB were nonmotile (Table 2). Furthermore, H. pylori bacteria lacking motB were unable to migrate through soft agar, supporting the hypothesis that these strains are nonmotile (Fig. 2 and Table 2). Using transmission electron microscopy, we found that all strains retained flagella (Table 2 and Fig. 3). From these experiments we concluded that H. pylori lacking motB are flagellated but nonmotile.
TABLE 2.
In vitro characteristics of H. pylori motB mutantsa
| Strain | Motile by microscopy | Flagellated | Swarm rate (mm/day) |
|---|---|---|---|
| SS1 | Yes | Yes | 5.6 ± 0.1 |
| SS1 motB::cat | No | Yes | 0.36 ± 0.38 |
| SS1 Δ_motB_ | No | Yes | 0.48 ± 0.08 |
| G27 | Yes | Yes | 7.4 ± 0.9 |
| G27 motB::cat | No | n.d. | 1.24 ± 0.22 |
| G27 Δ_motB_ | No | Yes | 1.26 ± 0.16 |
FIG. 2.
H. pylori strains lacking motB do not spread in soft agar. Photograph of a brucella broth-5% FBS soft agar plate after 4 days of incubation. The strains were stabbed into the middle of each growth area on day 0. The numerals 1, 2, and 3 indicate wild-type SS1, SS1 Δ_motB_, and SS1 motB::cat, respectively. Similar results were obtained with G27.
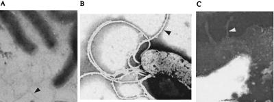
FIG. 3.
H. pylori SS1 lacking motB is flagellated. Electron micrographs of SS1, stained with phosphotungstate. (A) Wild-type SS1; (B) SS1 Δ_motB_; (C) SS1 motB::cat. Flagella are visible in all samples; one filament in each panel is marked with an arrowhead.
H. pylori strains that lack motility do not colonize mouse stomachs as well as their wild-type parent.
To determine whether motility is required for mouse stomach infection, we infected 4- to 6-week-old FVB/N mice with 1.9 × 108 H. pylori SS1 Δ_motB_ bacteria. In this same experiment, another set of mice were infected with 9 × 107 wild-type SS1 bacteria. After 2 weeks, we sacrificed the mice and determined the number of H. pylori bacteria in their stomachs by plating the contents on CHBA with nalidixic acid and bacitracin (H. pylori_-selective antibiotics). Infection with the wild-type bacterium resulted in all mice becoming infected and each of these mice carrying about 3 × 106 ± 1.3 × 106 bacteria/gram of stomach (Fig. 4). In contrast, mice infected with SS1 Δ_motB had fewer H. pylori bacteria per gram of stomach and three of six mice had no detectable H. pylori at the 2-week time point. Using the Wilcoxon signed rank test, the colonization abilities of the MotB− bacteria are significantly different than those of wild-type bacteria (P < 0.05). This suggests that flagellar motility aids the infection process.
FIG. 4.
motB mutants do not colonize mouse stomachs as well as the wild-type strain. Symbols representing numbers of CFU per gram of stomach in mice infected for 2 weeks with wild-type SS1 (filled circles) or SS1 Δ_motB_ (filled triangles) are shown. Mice infected by wild-type SS1 were dosed with 9 × 107 CFU, while mice receiving SS1 Δ_motB_ received 1.9 × 108 CFU. Each point represents one mouse. Three of the Δ_motB_ mice had no detectable H. pylori; because the limit of detection is estimated to be 250 CFU/gram of stomach, we placed these mice at this level. This detection limit is marked by a dotted line.
Motility aids initial colonization.
While all mice infected with H. pylori lacking motB did carry fewer bacteria than those infected with the wild type, there was considerable variation in the level of colonization: some mice had no detectable SS1 Δ_motB_, some had about 1,000-fold fewer, and one mouse had only slightly lower levels. One possible explanation for this variability is that motility is used both for initial colonization and for maintenance of high levels of bacteria. In this scenario, nonmotile H. pylori strains are both less likely to establish an infection, and thus fewer mice are infected, and less able to maintain a robust infection, and thus infected mice do not carry as many H. pylori bacteria.
In order to evaluate whether motility aids initial infection, we determined the ID50 for both wild-type and Δ_motB H. pylori_. This was done by infecting the mice with various amounts of H. pylori and evaluating the number remaining in the stomach after only a short infection period. A short infection period was chosen so as to minimize the effect of an inability to persist on the bacterial numbers in the stomach. As seen in Table 3, the ID50 for wild-type H. pylori in FVB/N mice is fewer than 100 bacteria. In order to infect FVB/N mice with Fla+ Mot − H. pylori, a much larger dose must be used. Although an exact figure cannot be calculated from the data, we estimate the ID50 to be at least 5 × 106, which is at least 4 logs greater than that of the wild type. Taken together, these data support the hypothesis that motility aids initial infection.
TABLE 3.
Infectious doses of SS1 Δ_motB_ and SS1 in FVB/N micea
| Strain | Infecting dose | No. of mice infected/ no. inoculated | CFU (106) |
|---|---|---|---|
| SS1 | 1.3 × 106 | 4/4 | 2.7 ± 1.0 |
| 1.3 × 105 | 4/4 | 1.9 ± 0.28 | |
| 1.3 × 104 | 2/2 | 3.1 ± 1.5 | |
| 1.3 × 103 | 4/4 | 1.6 ± 0.67 | |
| 1.3 × 102 | 4/4 | 0.58 ± 0.15 | |
| SS1 Δ_motB_ | 5 × 107 | 2/5 | 0.14 ± 0.07 |
| 5 × 106 | 3/5 | 0.036 ± 0.018 | |
| 5 × 105 | 0/4 | 0 | |
| 5 × 104 | 0/4 | 0 |
Motility is absolutely required in a competitive setting.
We probed the role of motility in a competitive setting by coinfecting mice with equal numbers of wild-type SS1 and SS1 motB::cat bacteria. For this experiment, we used 1 × 107 motB::cat and 3 × 107 SS1 bacteria for inoculation. Mice were sacrificed after 2 days of colonization. In all mice there was no detectable motB mutant, and there were normal levels of wild-type SS1. For each mouse, we calculated a ratio of mutant to wild type using 250 bacteria/g (the detection limit) as the level of the motB mutants. This resulted in an average output ratio (mutant to wild type) of <1.7 × 10−4 ± 1.3 × 10−4 (the individual mice gave ratios of <5.5 × 10−5, <1.3 × 10−4, <1.2 × 10−4, and <3.6 × 10−4). Because the input ratio was 0.33, these data show that there is a substantial change in the ratio of mutant to wild type over the 2-day course of the infection. In contrast, when these same two strains were grown together in vitro, the ratio of the two in two separate experiments did not change significantly over 48 h (mutant/wild-type ratio after inoculation at 0 h, 1.65; at 24 h, 1.47; at 48 h, 2.18). This suggests that motility is absolutely necessary for competition with the wild-type parent strain in vivo.
DISCUSSION
This work describes the elimination of the motB gene of H. pylori in the creation of flagellated nonmotile mutants that were used to test how motility aids infection by H. pylori. The motB gene was identified on the basis of homology (42); based on our in vitro phenotypic analysis, this assignment is correct. By using these Fla+ Mot− mutants, we were able to ascertain that motility is required for full infection. Our findings support the hypothesis that motility is specifically used for establishing and also achieving robust levels of infection.
The ID50 of SS1 Δ_motB_ is substantially greater than that of wild-type SS1. This supports the hypothesis that motility is needed by H. pylori to establish infection. Possibly motility allows the bacterium to locate its preferred region of the stomach, for example, the antrum or the mucous layer, in a timely manner, or to avoid a lethal immune response. Because H. pylori does not grow at low pH (8), it is thought that it must move fairly quickly to the more neutral pH of the mucus overlying the epithelium. It is not known whether random motility is sufficient for this localization. Chemotaxis mutants of H. pylori are also less able to infect mice, although it is not known if they have increased ID50s, as the motB mutants do (K. M. Ottemann, unpublished observations, and reference 14).
MotB mutants also were deficient in attaining full robust infections in comparison to those of the wild type. With infection using a high dose of Fla+ Mot− H. pylori, some mice became infected and remained so for at least 14 days. These mice did not carry the same amount of H. pylori bacteria as mice carrying the wild type: motB mutants were found at 10- to 100-fold lower levels. In contrast, other groups who infected mice with Fla− Mot− H. pylori were unable to detect H. pylori after infection for periods of time ranging from 1.5 to 8 weeks (15, 21). These groups used different mouse strains than that used for these studies, and this may contribute to the different results (see below). Alternatively, these results may point to the possibility that there is an advantage to the flagellar structure itself. Following this line of thought, our mutants' retention of wild-type flagella may have enabled them to persist for 14 days.
Mutants that retain one of the two flagellins, and thus partially functional flagella, were found to colonize piglets better than nonflagellated flaA flaB double mutants (13). Of particular interest, mutants that lack flaB (FlaA+ FlaB−) have normal-looking flagella and diminished motility but were able to colonize piglets only for short lengths of time and could only achieve 1/10,000 of the bacterial level that wild type could attain. For comparison, the wild-type parent colonizes for up to 90 days (12), while the totally nonflagellated variant infected for only 2 days (13). These results suggest that either partial motility or the flagellar structure gave the FlaA+ FlaB− mutants an advantage over the mutant that expressed neither. Intriguingly, in this model, bacterial strains that retained only FlaA or only FlaB had similar colonization abilities but very dissimilar motility abilities in vitro. The reason for this discrepancy is not known.
Others have found that nonmotile H. pylori mutants do colonize long enough to result in an immune response. One group reported an anti-H. pylori immune response developed to nonflagellated bacteria even though they were not able to detect any H. pylori, suggesting that either bacterial colonization was below the detection limit or short-term colonization had occurred before they attempted to culture the H. pylori bacteria (15). Similarly, pigs infected with aflagellated mutants yielded culturable H. pylori for the first 2 days of infection (13). After that time, there were no detectable aflagellated mutants, although the pigs did mount an anti-H. pylori immune response. Taken together, these results suggest that nonmotile H. pylori can colonize stomachs of many animals for at least short time periods. Thus, similar to what we found, motility may not be absolutely required for infection.
Although we find that _motB_-mutant H. pylori can persist for at least 2 weeks, this ability is completely abrogated if this mutant is coinfected with wild-type bacteria. In this situation, we were unable to detect any motB mutant even at very early time points of 2 days. This out-competition might be due to loss of access to a limiting niche or nutrient or to a preferential clearing of the nonmotile mutants by the immune system. Several studies have found that much of the bacterial inoculum is killed in the first 24 h of infection and thus that the H. pylori must multiply significantly to achieve 106 bacteria/gram of stomach by day 2 (7, 39). This period of multiplication likely requires high levels of nutrients, and thus one possibility is that motility mutants are less able to access these required, and possibly limiting, nutrients during this regrowth phase.
The mouse strain used in these studies, FVB/N, is very sensitive to infection by H. pylori strain SS1. We obtained an ID50 of fewer than 100 bacteria, which is about 10- to 1,000-fold lower than that reported for the C57BL/6 mouse (i.e., 103 to 105 bacteria) (reference 39 and F. J. Radcliff, A. Labigne, and R. L. Ferrero, abstract from the 10th International Congress of Mucosal Immunology, Immunol. Lett. **69:**48, 1999). It is not known what differences exist between these two mouse strains that account for this. The permissive nature of this mouse strain appears to allow some mutant H. pylori bacteria to colonize that did not colonize other mouse strains. For example, we find that mutants lacking cheY can infect a portion of the challenged FVB/N mice to levels that are about 100 times lower than those achieved by the wild type (K. M. Ottemann, unpublished observations). In contrast, Foynes and coworkers found that similar doses of cheY mutants were unable to colonize HSD/ICR mice (14). One explanation for this discrepancy is that a property of the mouse makes it easier for H. pylori to survive. As suggested above, this difference may account for our finding that Fla+ Mot− mutants are able to colonize while others find that Fla− mutants are not.
How animal pathogens use motility during infection has remained somewhat elusive (36). Some pathogens, such as Bordetella bronchiseptica, likely use motility outside of the animals they infect. In these microbes, ectopic expression of flagella inside the host results in decreased levels of infection (1). In contrast, other pathogens are rendered less virulent by mutations that eliminate flagella or motility. These include H. pylori, C. coli, C. jejuni, Vibrio anguillarum, and likely Vibrio cholerae. V. anguillarum uses motility to gain access to its animal host, the rainbow trout, but it doesn't need this process once inside the host (31, 35). This was shown by analyzing nonmotile mutants introduced either outside or inside the fish; a defect was only detected when these mutants were introduced outside. With V. cholerae, some researchers have found that motility aids infection, while others have found that it is dispensable (16, 17, 38). Recent evidence supports the hypothesis that motility is used during infection, because Fla+ Mot− bacteria were 10-fold out-competed by their wild-type parents (16, 25). In this pathogen, there is a relationship between the expression of virulence factors and motility. For example, some nonmotile mutants exhibit altered expression of two key virulence factors, cholera toxin and the toxin-coregulate pilus (16, 38), and Camilli and coworkers found that proper virulence factor expression in the mouse requires correct motility and chemotaxis (25). These findings highlight the difficulty of separating motility from other functions of flagella. Although we have constructed mutants that retain normal-appearing flagella and supposed that these only lack motility, this may not be the case. motB mutants of V. cholerae are flagellated and not motile, but they also have altered expression of virulence factors such as cholera toxin and the toxin-coregulated pilus (16). These findings suggest that it may not be possible, at least in V. cholerae, to make bacteria that have normal-appearing nonrotating flagella, because loss of rotation itself may trigger changes in physiology and/or gene expression, as is seen in Vibrio parahaemolyticus (29, 30). Interestingly, although motility mutants of V. cholerae display altered expression of virulence factors in vitro, recent work has found that the major flagellin, fliG, is not needed for this pattern of gene expression, and so the mechanism by which motility and virulence factor regulation are linked in V. cholerae remains elusive (19).
Both H. pylori and the Campylobacter spp. use motility inside their hosts. In an infection, both H. pylori and Campylobacter spp. reside mainly in the mucous layer. With Campylobacter, Lee and coworkers observed the microbes swimming in the mucous layer and hypothesized that these bacteria used motility to keep themselves localized in the intestine, as an alternative to attachment (24). This is intriguing, given that increased cell attachment of H. pylori leads to an increased immune response (18). Too much attachment may thus be detrimental to the bacterium. This finding suggests a role for motility in the proper balance of bacterial levels during infection. We find that nonmotile mutants never attain the bacterial numbers that wild-type H. pylori bacteria do. In addition to this hypothesized role of motility for balancing bacterial populations, we find that motility plays a role in establishing infection. Thus, motility may fulfill two roles in the infection cycle of H. pylori.
Acknowledgments
Funding for this work was provided by a Burroughs Wellcome Career Award to K.M.O.
We gratefully acknowledge Nina Salama for advice and support with mutant construction, mouse infection, and expert technical advice throughout this project. In addition, we thank Glen Otto and Stanley Falkow for advice, Jon Krupp for electron microscopy, Janie O’Rourke and Michael Copass for materials, and members of the Ottemann lab for comments on the manuscript.
REFERENCES
- 1.Akerley, B. J., P. A. Cotter, and J. F. Miller. 1995. Ectopic expression of the flagellar regulon alters development of the _Bordetella_-host interaction. Cell 80**:**611-620. [DOI] [PubMed] [Google Scholar]
- 2.Alm, R. A., L.-S. L. Ling, D. T. Moir, B. L. King, E. D. Brown, P. C. Doig, D. R. Smith, B. Noonan, B. C. Guild, B. L. Dejonge, G. Carmel, P. J. Tummino, A. Caruso, M. Uria-Nickelsen, D. M. Mills, C. Ives, R. Gibson, D. Merber, S. D. Mills, Q. Jiang, D. E. Taylor, G. F. Vovis, and T. J. Trast. 1999. Genomic-sequence comparison of two unrelated isolates of the human gastric pathogen Helicobacter pylori. Nature (London) 397**:**176-180. [DOI] [PubMed] [Google Scholar]
- 3.Anderson, T. R., T. C. Montie, M. D. Murphy, and V. P. McCarthy. 1989. Pseudomonas aeruginosa flagellar antibodies in patients with cystic fibrosis. J. Clin. Microbiol. 27**:**2789-2793. [DOI] [PMC free article] [PubMed] [Google Scholar]
- 4.Ausubel, F. M., R. Brent, R. E. Kingston, D. D. Moore, J. G. Seidman, J. A. Smith, and K. Struhl (ed.). 1995. Current protocols in molecular biology. John Wiley and Sons, New York, N.Y.
- 5.Blair, D. F., D. Y. Kim, and H. C. Berg. 1991. Mutant MotB proteins in Escherichia coli. J. Bacteriol. 173**:**4049-4055. [DOI] [PMC free article] [PubMed] [Google Scholar]
- 6.Censini, S., C. Lange, Z. Xiang, J. E. Crabtree, P. Ghiara, M. Borodovsky, R. Rappuoli, and A. Covacci. 1996. cag, a pathogenicity island of Helicobacter pylori, encodes type I-specific and disease-associated virulence factors. Proc. Natl. Acad. Sci. USA 93**:**14648-14653. [DOI] [PMC free article] [PubMed] [Google Scholar]
- 7.Chevalier, C., J.-M. Thiberge, R. L. Ferrero, and A. Labigne. 1999. Essential role of Helicobacter pylori gamma-glutamyltranspeptidase for the colonization of the gastric mucosa of mice. Mol. Microbiol. 31**:**1359-1372. [DOI] [PubMed] [Google Scholar]
- 8.Clyne, M., A. Labigne, and B. Drumm. 1995. Helicobacter pylori requires an acidic environment to survive in the presence of urea. Infect. Immun. 63**:**1669-1673. [DOI] [PMC free article] [PubMed] [Google Scholar]
- 9.Copass, M., G. Grandi, and R. Rappuoli. 1997. Introduction of unmarked mutations in the Helicobacter pylori vacA gene with a sucrose sensitivity marker. Infect. Immun. 65**:**1949-1952. [DOI] [PMC free article] [PubMed] [Google Scholar]
- 10.Covacci, A., J. L. Telford, G. Del Giudice, J. Parsonnet, and R. Rappuoli. 1999. Helicobacter pylori virulence and genetic geography. Science (Washington, D.C.) 284**:**1328-1333. [DOI] [PubMed] [Google Scholar]
- 11.Donahue, J. P., D. A. Israel, R. M. J. Peek, M. J. Blaser, and G. G. Miller. 2000. Overcoming the restriction barrier to plasmid transformation of Helicobacter pylori. Mol. Microbiol. 37**:**1066-1074. [DOI] [PubMed] [Google Scholar]
- 12.Eaton, K. A., D. R. Morgan, and S. Krakowka. 1990. Persistence of Helicobacter pylori in conventionalized piglets. J. Infect. Dis. 161**:**1299-1301. [DOI] [PubMed] [Google Scholar]
- 13.Eaton, K. A., S. Suerbaum, C. Josenhans, and S. Krakowka. 1996. Colonization of gnotobiotic piglets by Helicobacter pylori deficient in two flagellin genes. Infect. Immun. 64**:**2445-2448. [DOI] [PMC free article] [PubMed] [Google Scholar]
- 14.Foynes, S., N. Dorrell, S. J. Ward, R. A. Stabler, A. A. McColm, A. N. Rycroft, and B. W. Wren. 2000. Helicobacter pylori possesses two CheY response regulators and a histidine kinase sensor, CheA, which are essential for chemotaxis and colonization of the gastric mucosa. Infect. Immun. 68**:**2016-2023. [DOI] [PMC free article] [PubMed] [Google Scholar]
- 15.Foynes, S., N. Dorrell, S. J. Ward, Z. W. Zhang, A. A. McColm, M. J. G. Farthing, and B. W. Wren. 1999. Functional analysis of the roles of FliQ and FlhB in flagellar expression in Helicobacter pylori. FEMS Microbiol. Lett. 174**:**33-39. [DOI] [PubMed] [Google Scholar]
- 16.Gardel, C. L., and J. J. Mekalanos. 1996. Alterations in Vibrio cholerae motility phenotypes correlate with changes in virulence factor expression. Infect. Immun. 64**:**2246-2255. [DOI] [PMC free article] [PubMed] [Google Scholar]
- 17.Guentzel, M. N., and L. J. Berry. 1975. Motility as a virulence factor for Vibrio cholerae. Infect. Immun. 11**:**890-897. [DOI] [PMC free article] [PubMed] [Google Scholar]
- 18.Guruge, J. L., P. G. Falk, R. G. Lorenz, M. Dans, H.-P. Wirth, M. J. Blaser, D. E. Berg, and J. I. Gordon. 1998. Epithelial attachment alters the outcome of Helicobacter pylori infection. Proc. Natl. Acad. Sci. USA 95**:**3925-3930. [DOI] [PMC free article] [PubMed] [Google Scholar]
- 19.Häse, C. C. 2001. Analysis of the role of flagellar activity in virulence gene expression in Vibrio cholerae. Microbiology 147**:**831-837. [DOI] [PubMed] [Google Scholar]
- 20.Josenhans, C., A. Labigne, and S. Suerbaum. 1995. Comparative ultrastructural and functional studies of Helicobacter pylori and Helicobacter mustelae flagellin mutants: both flagellin subunits, FlaA and FlaB, are necessary for full motility in Helicobacter species. J. Bacteriol. 177**:**3010-3020. [DOI] [PMC free article] [PubMed] [Google Scholar]
- 21.Kim, J. S., J. H. Chang, S. I. Chung, and J. S. Yum. 1999. Molecular cloning and characterization of the Helicobacter pylori fliD gene, an essential factor in flagellar structure and motility. J. Bacteriol. 181**:**6969-6976. [DOI] [PMC free article] [PubMed] [Google Scholar]
- 22.Kostrzynska, M., J. D. Betts, J. W. Austin, and T. J. Trust. 1991. Identification, characterization, and spatial localization of two flagellin species in Helicobacter pylori flagella. J. Bacteriol. 173**:**937-946. [DOI] [PMC free article] [PubMed] [Google Scholar]
- 23.Lee, A., J. O'Rourke, M. C. De Ungria, B. Robertson, G. Daskalopoulos, and M. F. Dixon. 1997. A standardized mouse model of Helicobacter pylori infection: introducing the Sydney strain. Gastroenterology 112**:**1386-1397. [DOI] [PubMed] [Google Scholar]
- 24.Lee, A., J. L. O'Rourke, P. J. Barrington, and T. Trust. 1986. Mucus colonization as a determinant of pathogenicity in intestinal infection by Campylobacter jejuni: a mouse cecal model. Infect. Immun. 51**:**536-546. [DOI] [PMC free article] [PubMed] [Google Scholar]
- 25.Lee, S. H., S. M. Butler, and A. Camilli. 2001. Selection for in vivo regulators of bacterial virulence. Proc. Natl. Acad. Sci. USA 98**:**6889-6894. [DOI] [PMC free article] [PubMed] [Google Scholar]
- 26.Logan, S. M., J. W. Conlan, M. A. Monteiro, W. W. Wakarchuk, and E. Altman. 2000. Functional genomics of Helicobacter pylori: identification of a beta-1,4 galactosyltransferase and generation of mutants with altered lipopolysaccharide. Mol. Microbiol. 35**:**1156-1167. [DOI] [PubMed] [Google Scholar]
- 27.Martin, P. M., J. Mathiot, J. Ipero, A. J. Georges, and M. C. Georges-Courbot. 1988. Antibody response to Campylobacter coli in children during intestinal infection and carriage. J. Clin. Microbiol. 26**:**1421-1424. [DOI] [PMC free article] [PubMed] [Google Scholar]
- 28.Mattsson, A., A. Tinnert, A. Hamlet, H. Lonroth, I. Bolin, and A. M. Svennerholm. 1998. Specific antibodies in sera and gastric aspirates of symptomatic and asymptomatic _Helicobacter pylori_-infected subjects. Clin. Diagn. Lab. Immunol. 5**:**288-293. [DOI] [PMC free article] [PubMed] [Google Scholar]
- 29.McCarter, L., and M. Silverman. 1990. Surface-induced swarmer cell differentiation of Vibrio parahaemolyticus. Mol. Microbiol. 4**:**1057-1062. [DOI] [PubMed] [Google Scholar]
- 30.McCarter, L. L. 2001. Polar flagellar motility of the Vibrionaceae. Microbiol. Mol. Biol. Rev. 65**:**445-462. [DOI] [PMC free article] [PubMed] [Google Scholar]
- 31.Milton, D. L., R. O'Toole, P. Horstedt, and H. Wolf-Watz. 1996. Flagellin A is essential for the virulence of Vibrio anguillarum. J. Bacteriol. 178**:**1310-1319. [DOI] [PMC free article] [PubMed] [Google Scholar]
- 32.Nachamkin, I., X.-H. Yang, and N. J. Stern. 1993. Role of Campylobacter jejuni flagella as colonization factors for three-day-old chicks: analysis with flagellar mutants. Appl. Environ. Microbiol. 59**:**1269-1273. [DOI] [PMC free article] [PubMed] [Google Scholar]
- 33.Nguyen, C. C., and M. H. Saier, Jr. 1996. Structural and phylogenetic analysis of the MotA and MotB families of bacterial flagellar motor proteins. Res. Microbiol. 147**:**317-332. [DOI] [PubMed] [Google Scholar]
- 34.NIH Consensus Development Panel on Helicobacter pylori in Peptic Ulcer Disease. 1994. Helicobacter pylori in peptic ulcer disease. NIH Consensus Conference. JAMA 272**:**65-69. [PubMed] [Google Scholar]
- 35.O'Toole, R., D. L. Milton, and H. Wolf-Watz. 1996. Chemotactic motility is required for invasion of the host by the fish pathogen Vibrio anguillarum. Mol. Microbiol. 19**:**625-637. [DOI] [PubMed] [Google Scholar]
- 36.Ottemann, K. M., and J. F. Miller. 1997. Roles for motility in bacterial-host interactions. Mol. Microbiol. 24**:**1109-1117. [DOI] [PubMed] [Google Scholar]
- 37.Pavlovskis, O. R., D. M. Rollins, R. L. Haberberger, Jr., A. E. Green, L. Habash, S. Strocko, and R. I. Walker. 1991. Significance of flagella in colonization resistance of rabbits immunized with Campylobacter spp. Infect. Immun. 59**:**2259-2264. [DOI] [PMC free article] [PubMed] [Google Scholar]
- 38.Richardson, K. 1991. Roles of motility and flagellar structure in pathogenicity of Vibrio cholerae: analysis of motility mutants in three animal models. Infect. Immun. 59**:**2727-2736. [DOI] [PMC free article] [PubMed] [Google Scholar]
- 39.Salama, N. R., G. Otto, L. Tompkins, and S. Falkow. 2001. The vacuolating cytotoxin of Helicobacter pylori plays a role during colonization of a mouse model of infection. Infect. Immun. 69**:**730-736. [DOI] [PMC free article] [PubMed] [Google Scholar]
- 40.Satin, B., G. Del Giudice, V. Della Bianca, S. Dusi, C. Laudanna, F. Tonello, D. Kelleher, R. Rappuoli, C. Montecucco, and F. Rossi. 2000. The neutrophil-activating protein (HP-NAP) of Helicobacter pylori is a protective antigen and a major virulence factor. J. Exp. Med. 191**:**1467-1476. [DOI] [PMC free article] [PubMed] [Google Scholar]
- 41.Suerbaum, S., C. Josenhans, and A. Labigne. 1993. Cloning and genetic characterization of the Helicobacter pylori and Helicobacter mustelae flaB flagellin genes and construction of _H. pylori flaA_- and _flaB_-negative mutants by electroporation-mediated allelic exchange. J. Bacteriol. 175**:**3278-3288. [DOI] [PMC free article] [PubMed] [Google Scholar]
- 42.Tomb, J.-F., O. White, A. R. Kerlavage, R. A. Clayton, G. G. Sutton, R. D. Fleischmann, K. A. Ketchum, H. P. Klenk, S. Gill, B. A. Dougherty, K. Nelson, J. Quackenbush, L. Zhou, E. F. Kirkness, S. Peterson, B. Loftus, D. Richardson, R. Dodson, H. G. Khalak, A. Glodek, K. McKenney, L. M. Fitzegerald, N. Lee, M. D. Adams, E. K. Kichey, D. E. Berg, J. D. Gocayne, T. R. Utterback, J. D. Person, J. Kelley, M. D. Cotton, J. M. Weidman, C. Fujii, C. Bowman, L. Wathey, E. Wallin, W. S. Hayes, M. Borodovsky, P. D. Karp, H. O. Smith, C. M. Fraser, and J. C. Venter. 1997. The complete genome sequence of the gastric pathogen Helicobacter pylori. Nature 338**:**539-547. [DOI] [PubMed] [Google Scholar]
- 43.Uemura, N., S. Okamoto, S. Yamamoto, N. Matsumura, S. Yamaguchi, M. Yamakido, K. Taniyama, N. Sasaki, and R. J. Schlemper. 2001. Helicobacter pylori infection and the development of gastric cancer. N. Engl. J. Med. 345**:**784-789. [DOI] [PubMed] [Google Scholar]
- 44.Ward, K. H., H. Anwar, R. W. Brown, J. Wale, and J. Gowar. 1988. Antibody response to outer-membrane antigens of Pseudomonas aeruginosa in human burn wound infection. J. Med. Microbiol. 27**:**179-190. [DOI] [PubMed] [Google Scholar]
- 45.Wassenaar, T. M., B. A. M. Van Der Zeijst, R. Ayling, and D. G. Newell. 1993. Colonization of chicks by motility mutants of Campylobacter jejuni demonstrates the importance of flagellin A expression. J. Gen. Microbiol. 139**:**1171-1175. [DOI] [PubMed] [Google Scholar]
- 46.Wenman, W. M., J. Chai, T. J. Louie, C. Goudreau, H. Lior, D. G. Newell, A. D. Pearson, and D. E. Taylor. 1985. Antigenic analysis of Campylobacter flagellar protein and other proteins. J. Clin. Microbiol. 21**:**108-112. [DOI] [PMC free article] [PubMed] [Google Scholar]
- 47.Young, G. M., D. H. Schmiel, and V. L. Miller. 1999. A new pathway for the secretion of virulence factors by bacteria: the flagellar export apparatus functions as a protein-secretion system. Proc. Natl. Acad. Sci. USA 96**:**6456-6461. [DOI] [PMC free article] [PubMed] [Google Scholar]



