Phlegmonous gastritis diagnosed by endoscopic snare biopsy (original) (raw)
Summary
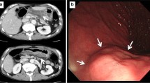
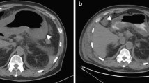
A case of phlegmonous gastritis, diagnosed for the first time without laparotomy and with spontaneous recovery, is described. The only procedure allowing nonsurgical diagnosis of this disease is endoscopic snare (“jumbo”) biopsy of the giant folds in the diseased parts of the stomach. Snare biopsy includes submucosal tissue which is the main site of histological changes in phlegmonous gastritis.
Access this article
Subscribe and save
- Starting from 10 chapters or articles per month
- Access and download chapters and articles from more than 300k books and 2,500 journals
- Cancel anytime View plans
Buy Now
Price excludes VAT (USA)
Tax calculation will be finalised during checkout.
Instant access to the full article PDF.
Similar content being viewed by others


Phlegmonous gastritis: a case series
Article Open access 06 September 2021

References
- Sand G. Stolz GA: Rarus ventriculi abscessus. Disputationes ad morborum abdominis. A. von Haller (ed). Berne, Switzerland, 1701
- Miller A, Smith B, Rogers A: Phlegmonous gastritis. Gastroenterology 68:231–238, 1975
Google Scholar - Doerr W, Seifert G, Uehlinger E: Spezielle pathologische Anatomie. Band 2, Teil I, Springer, Berlin, 1971, pp. 268–273
Google Scholar - Gerster JC: Phlegmonous gastritis. Ann Surg 85:668–682, 1927
Google Scholar - Starr A, Wilson TM: Phlegmonous gastritis. Ann Surg 145:88–93, 1957
Google Scholar - Gonzales-Crassi F, Hackett RL, Gainesuille FLA, et al: Phlegmonous gastritis. Arch Surg 93:992–995, 1966
Google Scholar - Deyhle P, Säuberli H, Nüesch HI, et al: Endoscopic “jumbo” biopsy in the stomach with the diathermy loop. Acta Hepato-Gastroenterol 21:228–232, 1974
Google Scholar - Deyhle P: Endoskopische Schlingenbiopsie im Magen. Dtsch. Med. Wochenschr 99:464–465, 1974
Google Scholar - Henning W, Kolokussis H, Heinkel K, et al: Untersuchungen über die sogenannte Altersgastritis. Schweiz Med. Wochenschr 87:387–390, 1957
Google Scholar
Author information
Authors and Affiliations
- Department of Medicine, Stadtspital Triemli, 8063, Zurich, Switzerland
Blaise A. Bron MD, Peter Deyhle MD, Sandro Pelloni MD, Günter J. Krejs MD, Rudolf E. Siebenmann MD & André L. Blum MD - Departments of Pathology, Stadtspital Triemli, 8063, Zurich, Switzerland
Blaise A. Bron MD, Peter Deyhle MD, Sandro Pelloni MD, Günter J. Krejs MD, Rudolf E. Siebenmann MD & André L. Blum MD - Department of Medicine, Kantonsspital, Zurich, Switzerland
Blaise A. Bron MD, Peter Deyhle MD, Sandro Pelloni MD, Günter J. Krejs MD, Rudolf E. Siebenmann MD & André L. Blum MD
Authors
- Blaise A. Bron MD
- Peter Deyhle MD
- Sandro Pelloni MD
- Günter J. Krejs MD
- Rudolf E. Siebenmann MD
- André L. Blum MD
Rights and permissions
About this article
Cite this article
Bron, B.A., Deyhle, P., Pelloni, S. et al. Phlegmonous gastritis diagnosed by endoscopic snare biopsy.Digest Dis Sci 22, 729–733 (1977). https://doi.org/10.1007/BF01078356
- Issue date: August 1977
- DOI: https://doi.org/10.1007/BF01078356