Molecular basis of α1‐antitrypsin deficiency revealed by the structure of a domain‐swapped trimer (original) (raw)
Abstract
α1‐Antitrypsin (α1AT) deficiency is a disease with multiple manifestations, including cirrhosis and emphysema, caused by the accumulation of stable polymers of mutant protein in the endoplasmic reticulum of hepatocytes. However, the molecular basis of misfolding and polymerization remain unknown. We produced and crystallized a trimeric form of α1AT that is recognized by an antibody specific for the pathological polymer. Unexpectedly, this structure reveals a polymeric linkage mediated by domain swapping the carboxy‐terminal 34 residues. Disulphide‐trapping and antibody‐binding studies further demonstrate that runaway C‐terminal domain swapping, rather than the s4A/s5A domain swap previously proposed, underlies polymerization of the common Z‐mutant of α1AT in vivo.
The structure of the toxic oligomeric species of α1‐antitrypsin is unexpectedly different from what had been proposed and enabled by the domain swap of the carboxy‐terminal 34 residues. Such oligomers react with an antibody that recognizes aggregates in patients and are shown to occur in vivo.
Similar content being viewed by others
Introduction
Serine protease inhibitors (serpins), such as α1‐antitrypsin (α1AT), undergo a marked conformational change to inhibit proteases (Huntington et al, 2000). This involves the incorporation of the 20‐residue reactive‐centre loop (RCL) into the middle of the β‐sheet A (as strand 4A; supplementary Fig S1A,B online). The conformational change can also occur spontaneously and is driven by a large free‐energy term (Im et al, 2000). The folding pathway of a native serpin must therefore bypass the global free‐energy minimum in favour of the active metastable state. For this reason, serpins are susceptible to point mutations (positions of mutations shown in supplementary Fig S1A online) that lead to misfolding and the accumulation of stable polymers in the endoplasmic reticulum (ER) of secretory cells (for reviews see Davies & Lomas, 2008; Gooptu & Lomas, 2009; Knaupp & Bottomley, 2009). Polymerization of the serpins antithrombin, C1‐inhibitor and neuroserpin lead to thrombosis, angioedema and dementia, respectively. Mutations in α1AT, including the Z‐mutation (Glu342Lys) carried by 4% of northern Europeans, result in emphysema due to the lack of functional α1AT in the lung, and in liver disease (including cirrhosis) due to the accumulation of polymers in the ER of hepatocytes. Recent structural studies on antithrombin revealed that an unexpected domain swap of more than 50 residues mediated formation of a dimer in vitro (Yamasaki et al, 2008). The intermolecular contact included the insertion of two long β‐strands (s4A and s5A) of one molecule into the β‐sheet A of another (supplementary Fig S1C online). We further demonstrated, using disulphide‐trapping experiments, that α1AT polymers produced by incubation with guanidine hydrochloride (GndHCl) also formed via an analogous s4A/s5A domain‐swapping event. We therefore speculated that a similar s4A/s5A domain swap mediated α1AT polymerization in vivo. Recent work, however, showed that a monoclonal antibody (2C1) specific for hepatocellular inclusions of α1AT (Miranda et al, 2010; that is, the pathological polymer) reacted strongly with heat‐induced polymers but not those induced by GndHCl (Ekeowa et al, 2010). The mechanism of pathological polymer formation of α1AT is therefore likely to be different from the previously described s4A/s5A domain swap.
Results
In vitro polymerization
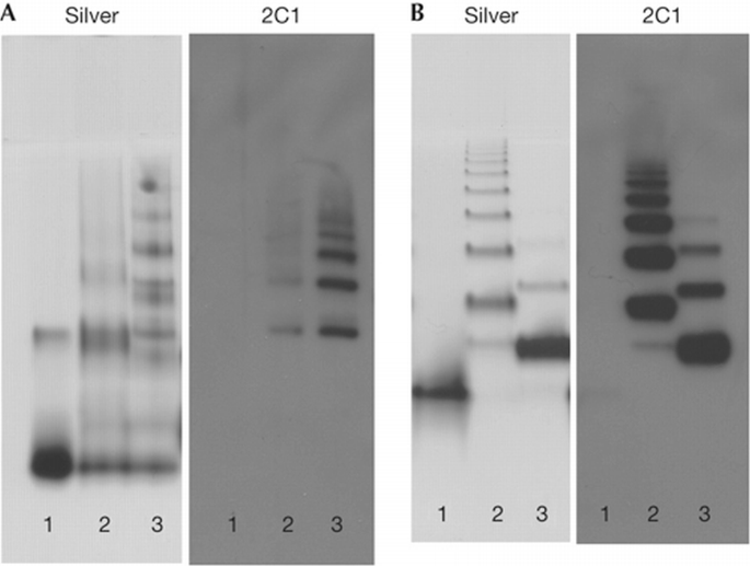
Incubation of native α1AT either with GndHCl or at elevated temperature resulted in the appearance of smeared bands or interlaced ladders by non‐denaturing polyacrylamide gel electrophoresis (PAGE; Fig 1A, left panel), suggesting multiple types of polymers. In accordance with previous studies (Ekeowa et al, 2010), western blotting the same gel with the 2C1 antibody revealed poor reactivity with GndHCl‐induced polymers (Fig 1A, right panel), and strong reactivity for heat‐induced polymers (Fig 1A, right panel). These results suggest that α1AT can polymerize by at least two different mechanisms in vitro, with the s4A/s5A domain swap predominating in GndHCl, and an alternative mechanism favoured by heat treatment. On the basis of the strong reactivity with the 2C1 antibody, we conclude that the heat‐induced polymers share important structural features with pathological polymers of α1AT formed in vivo.
Figure 1
Native polyacrylamide gel electrophoresis of polymeric α1‐antitrypsin species visualized by silver staining and western blotting with 2C1 antibody. (A) Polymerization of native plasma‐derived α1‐antitrypsin (α1AT; lane 1) was induced by 1 M GndHCl and incubation at 37°C (lane 2) or by heat (60°C, lane 3), and samples were run on a non‐denaturing gel. Silver staining (left panel) reveals diffuse laddering with GndHCl and discrete interlaced ladders with heat. The right panel is a western blot of the same gel using 2C1 as the primary antibody. As previously reported (Miranda et al, 2010), the 2C1 antibody does not react with monomeric α1AT, appears to react with only a small fraction of the polymers induced by GndHCl and reacts strongly with a subset of the heat‐induced polymer bands. (B) Silver staining (left) and 2C1 western blot (right) of a native gel of the s5A–s6A disulphide variant in the native state (lane 1), after polymerization at 60°C (lane 2), and the purified trimer (after removal of the N terminus by treatment with the protease Asp‐N; lane 3).
Formation of α1AT trimer
To preclude formation of the s4A/s5A polymer, we engineered a disulphide bond (Cys 292–Cys 339) in α1AT to link strand 5A to strand 6A (supplementary Fig S1D, left panel online). The s5A–s6A disulphide variant was resistant to polymerization by GndHCl (supplementary Fig S2 online), but polymers could be formed by incubation at 60°C (supplementary Fig S2 online, and Fig 1B), and the resulting ladder on native PAGE reacted strongly with the 2C1 antibody (Fig 1B, right panel). By incubating the s5A–s6A disulphide variant of α1AT at 60°C for 18 h, we obtained short polymers that were resistant to further elongation, consistent with the formation of self‐terminating ‘necklace’‐type polymers previously seen by electron microscopy (Lomas et al, 1993b). The most abundant species was purified to homogeneity by multiple passes over a size‐exclusion column (Fig 1B, lane 3).
Crystal structure of α1AT trimer
We obtained crystals of the purified short polymer that diffracted to 3.9 Å (supplementary Fig S3 online), and determined the structure by molecular replacement (Table 1). A single molecule of α1AT was found in the asymmetric unit in a conformation resembling RCL‐cleaved α1AT (Fig 2A). Close examination revealed clear electron density linking the monomer of the asymmetric unit to a crystallographically related monomer at the C terminus of the RCL (Fig 2B). Three molecules of α1AT were thus linked to form a crystallographic trimer through a 34‐residue C‐terminal domain swap (residues 361–394), including strand 1 from β‐sheet C and strands 4 and 5 from β‐sheet B (Fig 2C). The domain swap we observed could similarly link protomers into linear polymers with no unfolded regions and significant subunit flexibility (Fig 2D), consistent with the ‘beads‐on‐a‐string’ morphology observed on electron micrographs (Lomas et al, 1993b).
Figure 2
Crystal structure of the α1‐antitrypsin trimer. (A) A ribbon diagram of the monomer comprising the asymmetric unit is shown coloured from N to C terminus (blue to red). The reactive centre loop is fully inserted as the fourth strand of β‐sheet A (strands are numbered), and elements comprising the very C terminus, strands 1C and 4 and 5B, are indicated. (B) Clear electron density (blue wire for 2_F_o−F_c, contoured at 1_σ, surrounding residues 357–393, depicted as sticks) links three crystallographically related monomers into the trimer shown in (C), with each monomer in a different colour. (D) A model of an open trimer, coloured as in (C), was created by breaking one intermolecular contact and orienting the protomers in a head‐to‐tail manner. The red monomer is able to donate the C terminus (donor) and the blue monomer can accept a C terminus (acceptor) to elongate or self‐terminate. The lightning bolt indicates a site of likely proteolytic susceptibility.
Table 1 Data processing, refinement and model (3T1P)
Domain swapping in vitro
To determine whether C‐terminal domain swapping is the principal mechanism of α1AT polymerization, we engineered a disulphide bond between the C terminus (residue 392) and an adjacent residue on β‐sheet C (residue 216; supplementary Fig S1D online, centre panel). The C‐terminally constrained variant was able to form polymers when heated, but, similarly to polymers of α1AT formed using GndHCl, they did not react with the 2C1 antibody (supplementary Fig S4 online). The C‐terminal disulphide thus prevents the formation of the pathological polymer, and might exclusively allow the s4A/s5A mechanism. However, when reduced with dithiothreitol (DTT) before heating, the variant polymerized in a manner indistinguishable from control (supplementary Fig S5A online). Furthermore, after reoxidation, the polymers were stable on SDS–PAGE (Fig 3A), indicative of intermolecular disulphide bond formation (Fig 3D). Similar experiments with the s5A–s6A disulphide variant produced a lower proportion of SDS‐stable polymers (Fig 3A, supplementary Fig S5A online and Fig 3E), indicating that the s4A–s5A swap is a minor mode of polymerization of α1AT in vitro, particularly when induced by heat.
Figure 3
Disulphide‐trapping experiments in vitro and in vivo. (A) A non‐reducing SDS gel of α1‐antitrypsin (α1AT) variants before and after polymerization reports the formation of intermolecular disulphide bonds as ladders. Control (Cys‐free background C232S), strand 5A–6A disulphide (s5A–s6A) and C‐terminal disulphide (C‐term) variants are indicated. In each case, the first lane is of unincubated variant (lanes 1, 5 and 9) and the other lanes are incubations in the presence of dithiothreitol at 4°C (lanes 2, 6 and 10), 37°C with 0.75 M GndHCl (lanes 3, 7 and 11) and without GndHCl at 53°C (lanes 4, 8 and 12). After incubation, samples were dialysed and oxidized to covalently link adjacent Cys residues. Lane 13 comprises molecular mass standards (55.4, 66.3, 97.4, 116.3 and 200 kDa). (B) Non‐reducing SDS gel of purified Z–α1AT polymers from P. pastoris (molecular mass standards in kDa are indicated). Lane 1 is the Cys‐free background used for all variants (C232A); lane 2 is the s5A–s6A disulphide; lane 3 is the C‐terminal disulphide; and lane 4 is a control with two distant Cys residues. (C) Western blot of non‐reducing SDS gel of lysate from COS‐7 cells transfected with Z–α1AT with and without the double Cys mutations (molecular mass standards in kDa are indicated). Lane 1 is the control with two distant Cys residues; lane 2 is untransfected control; lane 3 is the Cys‐free control (C232A, background for all variants); lane 4 is s5A–s6A disulphide variant; and lane 5 is the C‐terminal disulphide variant. An illustration of the mechanism‐dependent capture of disulphide‐linked C terminal (D) and s4A/s5A (E) polymers (each monomer in a different colour). The C‐terminal domain‐swap polymers are trapped by forming an intermolecular disulphide bond between a C‐terminal Cys residue (position 392) and a Cys on strand 3 of sheet C (position 216). The s4A/s5A polymers are selectively trapped by the s5A–s6A disulphide (residues 292 and 339). Close‐ups of the boxed regions are shown in the right panels.
Domain swapping in vivo
Polymerization in vivo was tested by expressing the disulphide variants described above coupled to the polymerigenic Z–α1AT mutation in two well‐characterized model cell types, Pichia pastoris (Levina et al, 2009) and COS‐7 (Miranda et al, 2010). Using a His tag, we were able to purify polymers from the cytosol of P. pastoris that reacted strongly with the 2C1 antibody (supplementary Fig S4 online). Furthermore, purified polymers of Z–α1AT with the C‐terminal disulphide (Cys216–Cys392) were SDS stable (Fig 3B, lane 3), indicating the formation of intermolecular disulphide bonds after polymerization (Fig 3D). However, when the Z‐mutation was coupled with the s5A–s6A disulphide variant (Cys 292–Cys 339) or a control (with Cys residues at remote positions 232 and 292; supplementary Fig S1D online, right panel), SDS‐stable polymers were not observed (Fig 3B, lanes 2 and 4). Similar data were obtained when these variants were expressed in mammalian (COS‐7) cells (Fig 3C).
Discussion
Taken together, these results demonstrate that α1AT is capable of at least two different types of domain swap in vitro. Using a protein engineering approach, we were able to purify and crystallize a single polymer species that reacted strongly with the 2C1 antibody. The resulting structure of a closed α1AT trimer revealed an unexpected C‐terminal domain swap. This linkage satisfyingly explains several known properties of serpin polymers, including a high degree of flexibility between protomers (Lomas et al, 1993b), polymer hyperstability due to full insertion of the RCL (Mast et al, 1992), and persistent donor and acceptor ends that allow facile elongation (‘infectivity’; Zhou & Carrell, 2008) and circularization (Lomas et al, 1993b). In addition, it has been repeatedly demonstrated that accumulation of α1AT polymers in cells does not invoke the unfolded protein response (Graham et al, 1990; Hidvegi et al, 2005). This is consistent with the crystal structure of the trimer, in which there is no exposure of unfolded or improperly folded regions. Linear polymers, on the other hand, would have an exposed hydrophobic C terminus at the donor end (Fig 2D), which might mediate interaction with the ER quality control machinery, as previously observed (Schmidt & Perlmutter, 2005). In addition, the C‐terminal tail of linear polymers would be predicted to be susceptible to proteolysis (cleavage site indicated in Fig 2D). This might explain the previously perplexing observation that polymers of the Mmalton variant purified from blood contained a fraction of RCL‐cleaved α1AT (Lomas et al, 1995).
Serpin folding is thought to proceed via a critical intermediate that has the capacity to form the native state or to polymerize. Our data suggest that the fate of this intermediate is governed by two competing events—the incorporation of the C terminus into the folded serpin core versus the completion of β‐sheet A (Fig 4). We hypothesize that in wild‐type serpins the intermediate is short‐lived, and that the native fold is achieved because the rapid folding of the C‐terminal 34 residues effectively tethers the RCL and prevents it from inserting into β‐sheet A. The mutations that cause polymerization, including the Z‐variant, have been shown to influence the folding pathway by increasing the lifetime of the polymerigenic intermediate (Yu et al, 1995). This would predictably increase the fraction of the molecules that insert the RCL before the C terminus can be incorporated into the serpin body. The result of such a misfolding event would be the formation of the monomer observed in our crystal structure—a molecule with the RCL inserted, a gap in β‐sheet B and the C terminus exposed. The only way for this kinetically trapped monomer to reach its global free‐energy minimum is to polymerize by inserting its C‐terminal tail into another molecule (monomer or polymer; Fig 4). Such a mechanism might also explain why mutations that slow RCL incorporation (such as replacing the hydrophobic P8–P6 region with aspartic acids) result in a significant rescue of the secretion defect of Z–α1AT (Yamasaki et al, 2010). Indeed, this observation provides a proof of principle that interventions that alter the folding pathway of α1AT might be of therapeutic value in treating the loss‐of‐function and gain‐of‐function manifestations of α1AT deficiency.
Figure 4
Schematic of possible folding and misfolding mechanisms of α1‐antitrypsin. The unfolded state (U) is rapidly converted to an intermediate (I) that can fold either into the native conformation (N) or into a polymerigenic conformation (L*, to denote a latent‐like state). L* is predictably a folding dead end in the monomeric state, but can attain the global free‐energy minimum by forming polymers (P) via the C‐terminal domain‐swap mechanism.
Methods
α1AT variants. Wild‐type α1AT was purified from plasma as described previously (Lomas et al, 1993a). Recombinant variants of α1AT were all based on a template with a reactive‐centre mutation M → R (M358R) and the only Cys residue (232) mutated to Ser or Ala. The s5A–s6A disulphide variant was created by substituting Cys residues at adjacent positions on s5A and s6A (T339C and S292C). The C‐terminal disulphide variant was constructed by introducing Cys residues on s3C and on the C‐terminal loop (V216C and T392C). Mutagenesis was performed using the QuikChange kit and associated protocol (Stratagene). The α1AT variants for crystallographic and biochemical studies were produced recombinantly in Escherichia coli, as described previously (Zhou et al, 2001).
Native PAGE and 2C1 western blots. Different monomer and polymer forms of α1AT were assessed by 8% non‐denaturing PAGE and visualized by Coomassie or silver staining, or by western blotting using the mouse monoclonal antibody specific for α1AT polymers (2C1) as the primary antibody, as described previously (Miranda et al, 2010). All polymers were prepared at a concentration of 0.2 mg/ml in PBS using the following conditions: GndHCl polymer by incubation of plasma α1AT with 1 M GndHCl at 37°C for 16 h; heat polymer by incubation of plasma α1AT at 60°C for 2 h; yeast control monomer and Z‐polymers purified as described below; s5A–s6A disulphide (S292C/T339C) polymer by incubation at 60°C for 8 h; s5A–s6A disulphide trimer purified as described below; C‐terminal disulphide V216C/T392C polymer by incubation at 60°C for 8 h. The disulphide mutants were treated with DTT and iodoacetamide before running on the native gel to block the Cys residues before western blotting.
Trimer preparation, crystallization and structure determination. The s5A–s6A disulphide variant was polymerized by incubation at 0.1 mg/ml in PBS at 60°C for 16 h. The most abundant polymer species was purified using a Hiload 16/60 Superdex 200 prep‐grade size‐exclusion column. The material was subjected to Asp‐N (Sigma‐Aldrich) digestion (1:750 ratio by weight) to remove the 25 N‐terminal residues that precede the serpin core. This material was subsequently concentrated to 10 mg/ml in 5 mM Tris–HCl (pH 7.4) and 50 mM NaCl for crystallization. Crystals were grown in 18% (w/w) ethanol and 0.1 M Tris–HCl (pH 8.5) in 96‐well sitting‐drop vapour diffusion plates using our robotic crystallization facility. Crystals were transferred into 42% (w/w) 2‐methyl‐2,4‐pentanediol and 0.1 M Tris‐HCl (pH 8.5), and flash‐cooled in liquid N2. Diffraction data were collected on Diamond Light Source beamline I04 (wavelength 0.9763 Å) and processed using Mosflm, Scala and Truncate (Leslie, 1992). Data were of sufficient quality from 20 to 3.9 Å for molecular replacement and refinement (Table 1 and supplementary Fig S3 online). The best molecular replacement solution was a single copy of RCL‐cleaved α1AT (PDB: 3NDD), found using the program Phaser (McCoy et al, 2005). The structure was refined using jelly‐body restrains with the program Refmac (Murshudov et al, 1997; version 5.6) and rebuilt using sharpened maps (produced by Refmac) with the program COOT (Emsley & Cowtan, 2004). Data processing and refinement statistics are given in Table 1. A total of 89.2% of the residues in the final model were in the favoured regions and 99.2% were in the allowed regions when Ramachandran analysis was carried out using the MolProbity server (Lovell et al, 2003). Structural figures were made using the program PyMOL (DeLano, [2002](/article/10.1038/embor.2011.171#ref-CR2 "DeLano WL (2002) The PyMOL Molecular Graphics System (on World Wide Web) http://www.pymol.org
")).Disulphide‐trapping studies. The disulphide variants and control Cys variant (0.2 mg/ml) were subjected to 2 mM DTT at room temperature for 30 min and incubated for 8 h at 4°C or 53°C, or at 37°C in the presence of 0.75 M GndHCl. After incubation, the samples were dialysed into PBS for 3 h to remove DTT and GndHCl. The disulphide bond was reformed by incubation with 0.5 mM tetramethylazodicarboxamide (Fuluka) for 1 h at room temperature in the dark. Formation of intermolecular disulphide bonds was assessed by non‐reducing 10% SDS–PAGE (NuPAGE Bis‐Tris Gel, Invitrogen).
α1AT expression in P. pastoris . α1AT variants were expressed in the cytosol of the methylotrophic yeast species P. pastoris, as previously described (Levina et al, 2009). The Z‐mutation (E342K) and Cys variants (S292C/T339C, V216C/T392C and A232C/S292C) were introduced by site‐directed mutagenesis using the QuikChange kit. The template was C232A. After cell disruption, protein was purified by His‐tag affinity chromatography using a HiTrap IMAC HP column (GE Healthcare). Monomer and polymer fractions were separated by salt gradient using a HiTrap Q HP column (GE Healthcare), essentially as described before (Levina et al, 2009).
α1AT expression in COS‐7 cells. The α1AT DNA was cloned from pQE30 into the pCEP4 vector (Invitrogen) using _Not_I and _Kpn_I sites and extended to add the signal sequence derived from α1AT. Mutations were introduced by site‐directed mutagenesis, as described before. Cells were maintained, transfected and lysed as described previously (Miranda et al, 2010). A measure of 30 μg of protein (as determined by Bradford assay) was loaded onto an SDS gel (NuPAGE 10% Bis‐Tris Gel, Invitrogen) or an 8% non‐denaturing gel and visualized by western blotting using an anti‐α1AT rabbit polyclonal primary antibody (AbD Serotec) and an anti‐rabbit horseradish peroxidase‐conjugated secondary antibody (Sigma) and exposed to film.
Accession codes. Protein Data Bank: coordinates and structure factors have been deposited with accession code 3T1P.
Supplementary information is available at EMBO reports online (http://www.emboreports.org).
References
- Davies MJ, Lomas DA (2008) The molecular aetiology of the serpinopathies. Int J Biochem Cell Biol 40: 1273–1286
Google Scholar - DeLano WL (2002) The PyMOL Molecular Graphics System (on World Wide Web) http://www.pymol.org
- Ekeowa UI, Freeke J, Miranda E, Gooptu B, Bush MF, Perez J, Teckman J, Robinson CV, Lomas DA (2010) Defining the mechanism of polymerization in the serpinopathies. Proc Natl Acad Sci USA 107: 17146–17151
Google Scholar - Emsley P, Cowtan K (2004) Coot: model‐building tools for molecular graphics. Acta Crystallogr D Biol Crystallogr 60: 2126–2132
Google Scholar - Gooptu B, Lomas DA (2009) Conformational pathology of the serpins: themes, variations, and therapeutic strategies. Annu Rev Biochem 78: 147–176
Google Scholar - Graham KS, Le A, Sifers RN (1990) Accumulation of the insoluble PiZ variant of human alpha 1‐antitrypsin within the hepatic endoplasmic reticulum does not elevate the steady‐state level of grp78/BiP. J Biol Chem 265: 20463–20468
Google Scholar - Hidvegi T, Schmidt BZ, Hale P, Perlmutter DH (2005) Accumulation of mutant α1‐antitrypsin Z in the endoplasmic reticulum activates caspases‐4 and ‐12, NFκB, and BAP31 but not the unfolded protein response. J Biol Chem 280: 39002–39015
Google Scholar - Huntington JA, Read RJ, Carrell RW (2000) Structure of a serpin‐protease complex shows inhibition by deformation. Nature 407: 923–926
Google Scholar - Im H, Ahn HY, Yu MH (2000) Bypassing the kinetic trap of serpin protein folding by loop extension. Protein Sci 9: 1497–1502
Google Scholar - Knaupp AS, Bottomley SP (2009) Serpin polymerization and its role in disease—the molecular basis of α1‐antitrypsin deficiency. IUBMB Life 61: 1–5
Google Scholar - Leslie AGW (1992) Joint CCP4 + ESF‐EAMCB Newsletter on Protein Crystallography: 26
- Levina V, Dai W, Knaupp AS, Kaiserman D, Pearce MC, Cabrita LD, Bird PI, Bottomley SP (2009) Expression, purification and characterization of recombinant Z α1‐antitrypsin—the most common cause of α1‐antitrypsin deficiency. Protein Expr Purif 68: 226–232
Google Scholar - Lomas DA, Evans DL, Stone SR, Chang WS, Carrell RW (1993a) Effect of the Z mutation on the physical and inhibitory properties of alpha 1‐antitrypsin. Biochemistry 32: 500–508
Google Scholar - Lomas DA, Finch JT, Seyama K, Nukiwa T, Carrell RW (1993b) α1‐antitrypsin Siiyama (Ser53 → Phe). Further evidence for intracellular loop‐sheet polymerization. J Biol Chem 268: 15333–15335
Google Scholar - Lomas DA, Elliott PR, Sidhar SK, Foreman RC, Finch JT, Cox DW, Whisstock JC, Carrell RW (1995) α1‐Antitrypsin Mmalton (Phe52‐deleted) forms loop‐sheet polymers in vivo. Evidence for the C sheet mechanism of polymerization. J Biol Chem 270: 16864–16870
Google Scholar - Lovell SC, Davis IW, Arendall WB III, de Bakker PI, Word JM, Prisant MG, Richardson JS, Richardson DC (2003) Structure validation by Cα geometry: ϕ,ψ and Cβ deviation. Proteins 50: 437–450
Google Scholar - Mast AE, Enghild JJ, Salvesen G (1992) Conformation of the reactive site loop of alpha 1‐proteinase inhibitor probed by limited proteolysis. Biochemistry 31: 2720–2728
Google Scholar - McCoy AJ, Grosse‐Kunstleve RW, Storoni LC, Read RJ (2005) Likelihood‐enhanced fast translation functions. Acta Crystallogr D Biol Crystallogr 61: 458–464
Google Scholar - Miranda E et al (2010) A novel monoclonal antibody to characterize pathogenic polymers in liver disease associated with alpha‐1‐antitrypsin deficiency. Hepatology 52: 1078–1088
Google Scholar - Murshudov GN, Vagin AA, Dodson EJ (1997) Refinement of macromolecular structures by the maximum‐likelihood method. Acta Crystallogr D Biol Crystallogr 53: 240–255
Google Scholar - Schmidt BZ, Perlmutter DH (2005) Grp78, Grp94, and Grp170 interact with alpha1‐antitrypsin mutants that are retained in the endoplasmic reticulum. Am J Physiol Gastrointest Liver Physiol 289: G444–G455
Google Scholar - Yamasaki M, Li W, Johnson DJ, Huntington JA (2008) Crystal structure of a stable dimer reveals the molecular basis of serpin polymerization. Nature 455: 1255–1258
Google Scholar - Yamasaki M, Sendall TJ, Harris LE, Lewis GM, Huntington JA (2010) Loop‐sheet mechanism of serpin polymerization tested by reactive center loop mutations. J Biol Chem 285: 30752–30758
Google Scholar - Yu MH, Lee KN, Kim J (1995) The Z type variation of human alpha 1‐antitrypsin causes a protein folding defect. Nat Struct Biol 2: 363–367
Google Scholar - Zhou A, Carrell RW (2008) Dimers initiate and propagate serine protease inhibitor polymerisation. J Mol Biol 375: 36–42
Google Scholar - Zhou A, Carrell RW, Huntington JA (2001) The serpin inhibitory mechanism is critically dependent on the length of the reactive center loop. J Biol Chem 276: 27541–27547
Google Scholar
Acknowledgements
We thank E. Miranda and D. Lomas for providing the 2C1 antibody, and S. Bottomley and R. Carrell for comments on the manuscript. This work was supported by the Medical Research Council (MRC, J.A.H.), and J.A.H. is a Senior MRC Non‐clinical Fellow. J.C.W. is an Australian Research Council Federation Fellow and honorary National Health and Medical Research Council of Australia Principal Research Fellow. This work was carried out with the support of the Diamond Light Source.
Author Contributions: M.Y. produced and crystallized the α1AT trimer, and collected the diffraction data. M.Y. and J.A.H. processed the data, and solved and refined the structure. M.Y. and T.J.S. conducted biochemical analysis of in vitro polymerization. T.J.S. and M.C.P. conducted the studies on polymers formed in cells. J.A.H., M.Y. and J.C.W. analysed the structure. J.A.H. and J.C.W. wrote the paper. J.A.H. directed the project.
Author information
Author notes
- Masayuki Yamasaki
Present address: Department of Molecular and Cellular Biology, Kyoto University, Institute for Frontier Medical Sciences, Sakyo‐ku, Kyoto, 606‐8397, Japan - These authors contributed equally to this work
Authors and Affiliations
- Department of Haematology, Cambridge Institute for Medical Research, University of Cambridge, Wellcome Trust/MRC Building, Hills Road, Cambridge, CB2 0XY, UK
Masayuki Yamasaki, Timothy J Sendall & James A Huntington - Department of Biochemistry, and ARC Centre of Excellence in Structural and Functional Microbial Genomics, Monash University, Clayton, Victoria, 3800, Australia
Mary C Pearce & James C Whisstock - ARC Centre of Excellence in Structural and Functional Microbial Genomics, Monash University, Clayton, Victoria, 3800, Australia
James C Whisstock
Authors
- Masayuki Yamasaki
- Timothy J Sendall
- Mary C Pearce
- James C Whisstock
- James A Huntington
Corresponding author
Correspondence toJames A Huntington.
Ethics declarations
The authors declare that they have no conflict of interest.
Additional information
There is a Hot off the Press (October 2011) associated with this Scientific Report.
Supplementary Information
Rights and permissions
Copyright: European Molecular Biology Organization
About this article
Cite this article
Yamasaki, M., Sendall, T.J., Pearce, M.C. et al. Molecular basis of α1‐antitrypsin deficiency revealed by the structure of a domain‐swapped trimer.EMBO Rep 12, 1011–1017 (2011). https://doi.org/10.1038/embor.2011.171
- Received: 27 June 2011
- Revised: 20 July 2011
- Accepted: 22 July 2011
- Published: 01 October 2011
- Issue date: 01 October 2011
- DOI: https://doi.org/10.1038/embor.2011.171



