Comparative evaluation of real-time PCR and ELISA for the detection of human fascioliasis (original) (raw)
Introduction
Fascioliasis, a zoonoses helminthic infection with a worldwide distribution, causing substantial economic losses in the animal husbandry industry, including anthelmintic treatments, control of intermediate hosts (molluscicides), and the implication of economic losses in dairy and meat livestock production[1](/articles/s41598-024-54602-y#ref-CR1 "Chang, E. C., Choi, H. L., Park, Y. W., Kong, Y. & Cho, S. Y. Subcutaneous fascioliasis: A case report. Korean J. Parasitol. 29, 403–405. https://doi.org/10.3347/kjp.1991.29.4.403
(1991)."). _Fasciola hepatica_ and _Fasciola gigantica_ are trematode parasites responsible for fascioliasis which is also increasingly recognized as a disease in humans and animals[2](/articles/s41598-024-54602-y#ref-CR2 "Shareef, S. H., Hawramy, T. A., Mohammed, D. A. & Hama, R. S. Peri cholecystectomy bile analysis for Fasciola hepatica eggs in Sulaimani Teaching Hospital. Kurd. J. Appl. Res. 4, 199–210 (2019)."). Human infection with _Fasciola_ species has existed from prehistoric times to the present and has a significant impact on global health in specific geographic locations[3](/articles/s41598-024-54602-y#ref-CR3 "Dittmar, K. & Teegen, W. R. The presence of Fasciola hepatica (liver-fluke) in humans and cattle from a 4,500 year old archaeological site in the Saale-Unstrut valley, Germany. Mem. Inst. Oswaldo Cruz 98, 141–143.
https://doi.org/10.1590/s0074-02762003000900021
(2003)."). Fascioliasis, an important helminthic zoonosis, is classified by World Health Organization (WHO) as a neglected tropical disease with an estimated 17 million people infected and about 180 million people living in endemic areas at risk to infection[3](/articles/s41598-024-54602-y#ref-CR3 "Dittmar, K. & Teegen, W. R. The presence of Fasciola hepatica (liver-fluke) in humans and cattle from a 4,500 year old archaeological site in the Saale-Unstrut valley, Germany. Mem. Inst. Oswaldo Cruz 98, 141–143.
https://doi.org/10.1590/s0074-02762003000900021
(2003)."),[4](/articles/s41598-024-54602-y#ref-CR4 "WHO. Neglected Tropical Diseases (World Health Organization, Geneva, 2017). Available online at:
http://www.who.int/neglected_diseases/diseases/en/
(2020)."). The prevalence of fascioliasis infections is related to people’s eating habits. Aquatic plants consumed collected from wetlands are an important factor in transmission to humans[5](/articles/s41598-024-54602-y#ref-CR5 "Çiçek, M., Yalçın, K., Bilden, A., Çakır, F. & Akpolat, N. Evaluation of the seroprevalence and the demographic and clinical findings of fascioliasis patients in the Dicle River Basin in Turkey: A nine-year experience at a university hospital. Eur. Rev. Med. Pharmacol. Sci. 27, 10831–10838.
https://doi.org/10.26355/eurrev_202311_34449
(2023).").Human infection is commonly recognized based on such symptoms as fever, headache, epigastric pain, right upper abdominal pain, malaise, and nausea. Based on clinical manifestation time, fascioliasis is classified as acute (0–4 months) and chronic (more than12 months)[6](/articles/s41598-024-54602-y#ref-CR6 "Caravedo, M. A. & Cabada, M. M. Human fascioliasis: Current epidemiological status and strategies for diagnosis, treatment, and control. Res. Rep. Trop. Med. 11, 149–158. https://doi.org/10.2147/RRTM.S237461
(2020)."). The early diagnosis of _Fasciola_ infection is critical for the prevention of chronic infection with possible mortality[7](/articles/s41598-024-54602-y#ref-CR7 "Guerrero-Espejo, A. & Bernad-Anso, A. Incidence and geographical distribution of patients hospitalised with fascioliasis in Spain. Enferm Infecc Microbiol. Clin. 38, 257–262.
https://doi.org/10.1016/j.eimc.2019.08.004
(2020).").Human fascioliasis is generally detected by conventional parasitological tests to recover eggs in the stool, serological tests for determination of anti-Fasciola antibodies, and molecular approaches to detect Fasciola DNA[8](#ref-CR8 "Gonzales Santana, B., Dalton, J. P., Vasquez Camargo, F., Parkinson, M. & Ndao, M. The diagnosis of human fascioliasis by enzyme-linked immunosorbent assay (ELISA) using recombinant cathepsin L protease. PLoS Negl. Trop. Dis. 7, 2414. https://doi.org/10.1371/journal.pntd.0002414
(2013)."),[9](#ref-CR9 "Sugiyama, T. et al. Enzyme-linked immunosorbent assay (ELISA) using recombinant Fasciola cathepsin L1 for the diagnosis of human fasciolosis caused by Fasciola hepatica/gigantica hybrid type. Parasitol. Int. 82, 102311.
https://doi.org/10.1016/j.parint.2021.102311
(2021)."),[10](/articles/s41598-024-54602-y#ref-CR10 "Wongwairot, S. et al. Monoclonal antibody against recombinant Fasciola gigantica cathepsin L1H could detect juvenile and adult cathepsin Ls of Fasciola gigantica. Parasitol. Res. 114, 133–140.
https://doi.org/10.1007/s00436-014-4170-8
(2015)."). Although faecal examination and microscopic observations of worm eggs is known as the gold standard for the identification of _Fasciola_, it is time-consuming and unsuccessful for acute fascioliasis[11](/articles/s41598-024-54602-y#ref-CR11 "Mas-Coma, S., Bargues, M. & Valero, M. Human fascioliasis infection sources, their diversity, incidence factors, analytical methods and prevention measures. Parasitology 145, 1665–1699.
https://doi.org/10.1017/S0031182018000914
(2018)."). This method has disadvantages, including: infected people do not start ovulating until they have been infected for several months; patients in the acute stage of infection do not excrete eggs. Therefore, in the early stages, the infection should be diagnosed by other methods than examination of feces in the laboratory[12](/articles/s41598-024-54602-y#ref-CR12 "Chen, M. G. & Mott, K. E. Progress in assessment of morbidity due to Fasciola hepatica infection: A review of recent literature. Trop. Dis. Bull. 87, 1–38 (1990)."). The serological tests are cost-effective, rapid, and high sensitive; nonetheless, the detection of antibodies does not always indicate active fascioliasis, and people from endemic areas generally show weak serological responses. Accordingly, in the endemic areas for _Fasciola_ species in human, the diagnostic titer of sera depends on levels of endemicity[13](/articles/s41598-024-54602-y#ref-CR13 "Drescher, G. et al. Serological diagnosis of fasciolosis (Fasciola hepatica) in humans, cattle, and sheep: A meta-analysis. Front Vet. Sci. 10, 1252454.
https://doi.org/10.3389/fvets.2023.1252454
(2023)."). Among the serological tests, the Enzyme-Linked Immunosorbent Assay (ELISA) is the most commonly used method for the detection of fascioliasis[14](/articles/s41598-024-54602-y#ref-CR14 "Tran, N. T. D. et al. Evaluation of a commercial enzyme-linked immunosorbent assay kit and in-house Fasciola gigantica cysteine proteinases-based enzyme-linked immunosorbent assays for diagnosis of human fascioliasis. Am. J. Trop. Med. Hyg. 100, 591–598.
https://doi.org/10.4269/ajtmh.18-0833
(2019)."). ELISA represents a sensitive and pragmatic means of detecting fascioliasis, with positivity typically manifesting two weeks following infection[15](/articles/s41598-024-54602-y#ref-CR15 "Mirzadeh, A. et al. Recent developments in recombinant proteins for diagnosis of human fascioliasis. Acta Parasitol. 66, 13–25.
https://doi.org/10.1007/s11686-020-00280-5
(2021)."). Nonetheless, there has limitations to using the mentioned serological test for the detection of incomplete/blocking antibodies and as well as its long-term positivity for several months after treatment in chronic patients in chronic patients[15](/articles/s41598-024-54602-y#ref-CR15 "Mirzadeh, A. et al. Recent developments in recombinant proteins for diagnosis of human fascioliasis. Acta Parasitol. 66, 13–25.
https://doi.org/10.1007/s11686-020-00280-5
(2021)."),[16](/articles/s41598-024-54602-y#ref-CR16 "Wongkham, C. et al. Evaluation of immunoglobulin G subclass antibodies against recombinant Fasciola gigantica cathepsin L1 in an enzyme-linked immunosorbent assay for serodiagnosis of human fasciolosis. Clin. Diagn. Lab. Immunol. 12, 1152–1156.
https://doi.org/10.1128/CDLI.12.10.1152-1156.2005
(2005)."). In such cases, molecular-based methods are very sensitive techniques that can be used due to the fact that they allow the rapid amplification of a specific part of DNA[17](/articles/s41598-024-54602-y#ref-CR17 "Pryor, R. J. & Wittwer, C. T. Real-time polymerase chain reaction and melting curve analysis. Methods Mol. Biol. 336, 19–32.
https://doi.org/10.1385/1-59745-074-X:19
(2006).").The use of diagnostic methods based on Polymerase Chain Reaction (PCR) has steadily increased in the field of parasitology in recent decades due to low cost, high sensitivity, and specificity. According to previous reports, PCR is reliable for the early diagnosis and detection of acute or chronic fascioliasis[18](/articles/s41598-024-54602-y#ref-CR18 "Baltrušis, P. & Höglund, J. Digital PCR: Modern solution to parasite diagnostics and population trait genetics. Parasit. Vectors 16, 143. https://doi.org/10.1186/s13071-023-05756-7
(2023)."),[19](/articles/s41598-024-54602-y#ref-CR19 "Perez-C, J. E., Giraldo-Pinzon, E. J. & Aguilar-Marín, S. First report of human fascioliasis in an endemic region of bovine fascioliasis in Caldas-Colombia. Vector Borne Zoonotic Dis. 16, 377–381.
https://doi.org/10.1089/vbz.2015.1900
(2016)."). Quantitative PCR (qPCR), also called Real-Time PCR, is a well-established method for the detection, quantification, and typing of different parasitic agents in the areas of clinical and veterinary diagnostics[20](/articles/s41598-024-54602-y#ref-CR20 "Cabada, M. M. et al. Recombinase polymerase amplification compared to real-time polymerase chain reaction test for the detection of Fasciola hepatica in human stool. AM. J. Trop. Med. Hyg. 96, 341–346.
https://doi.org/10.4269/ajtmh.16-0601
(2017).").The purpose of this study was to evaluate the Real-Time PCR method for the detection of Fasciola DNA in serum and to compare their sensitivity and specificity using human samples tested with indirect-ELISA as a comparison.
Materials and methods
Ethics approval and consent to participate
The research ethical approval for the study was granted by the Ethical Committee at the University of Medical Sciences in Alborz, and informed consent obtained from the participants prior to data collection (IR.ABZUMS.REC.1401.032). Written informed consent form was received from each study participant. All methods were carried out in accordance with relevant guidelines and regulations.
Patients and sera
Seventy serum samples were used for this study. Fifty-one out of 70 sera studied were from people with hepatobiliary fascioliasis. All patients were underwent upper abdominal sonography and Computed Tomography (CT) scanning. The human Fasciola samples were reviewed and approved by the “National Reference Laboratory for Diagnosis of Fasciolosis” School of Health, Tehran University of Medical Sciences (TUMS, Tehran, Iran). The human control and other parasitic diseases sera were obtained from the Helminthology Research Laboratory of the Department of Parasitology and Mycology, Alborz University of Medical Sciences, Iran (ABZUMS, Karaj, Iran). All samples used in this study were anonymized. The samples were assigned to five groups as follows:
Group A: 34 positive and suspected fascioliasis serology samples. Group B: 10 samples from patients whose fascioliasis test was positive by ELISA method and Fasciola eggs were observed in their feces (considered definitively positive cases). Group C: 12 control samples were taken from healthy individuals who showed negative serology and did not have detectable anti-Fasciola antibodies. Group D: 7 serum samples were obtained from individuals infected with other parasitic diseases such as toxocariasis, strongyloidiasis, taeniasis, hydatidosis, trichinosis, toxoplasmosis, and leishmaniasis. Group E: 7 ELISA-positive samples that were treated and referred for a second evaluation, so that molecular studies were performed to further investigate the presence of fascioliasis.
Preparation of Fasciola excretory/secretory antigens
Fasciola hepatica Excretory/Secretory Antigens (ESAgs) were prepared from adult worms as previously described with some modifications[21](/articles/s41598-024-54602-y#ref-CR21 "Rehman, Z. U. et al. High-throughput sequencing of Fasciola spp. shows co-infection and intermediate forms in Balochistan, but only Fasciola gigantica in the Punjab province of Pakistan. Infect. Genet. Evol. 94, 105012. https://doi.org/10.1016/j.meegid.2021.105012
(2021)."). In brief, _F. hepatica_ adult worms were collected from the livers of infected cattle and washed 3–4 times at room temperature with Phosphate Buffered Saline (PBS) (0.01 M, pH 7.2) for 1 h at 37 °C. The adult worms were cultivated in RPMI 1640 (Sigma-Aldrich Chemie GmbH, Germany) medium supplemented with sodium bicarbonate (Merck, Darmstadt, Germany; 8.5% μg/mL), L-glutamine (20 mM), 4-(2-hydroxyethyl) piperazine-1-ethanesulfonic acid (HEPES) (Merck), penicillin/streptomycin (100 IU, 100 μg/mL), and 1% glucose (Merck, Darmstadt, Germany). Culture supernatant was exchanged daily and pooled; then dialyzed overnight against 5 mM acetate buffer (pH 5) at 4 °C, protease inhibitors (phenylmethylsulfonyl fluoride) were added, concentrated, and stored at − 70 °C. The protein content was measured by the Bradford protein assay[22](/articles/s41598-024-54602-y#ref-CR22 "Bradford, M. M. A rapid and sensitive method for the quantitation of microgramquantities of protein utilizing the principle of proteindye binding. Anal. Biochem. 72, 248–254.
https://doi.org/10.1006/abio.1976.9999
(1976).").Enzyme-linked immunosorbent assay
ELISA microplates (Nunc, Roskilde, Denmark) were coated with 1 mg/mL of F. hepatica ESAgs (100 μL/well) in coating buffer (0.05 M carbonate–bicarbonate buffer, pH 9.6) and incubated overnight at 37 °C. Plates were washed five times in phosphate-buffered saline containing 0.05% Tween 20 (PBST). After removing unbound coating antigen, the excess binding sites were blocked with 3% skimmed milk in PBST and plates incubated for 2 h at 37 °C. The wells were washed in PBST and 100 μL of diluted (1:500) serum samples were added to the plates and incubated at 37 °C for 30 min. The plates were washed again and 100 μL of diluted anti-human IgG horseradish-peroxidase conjugated (Sigma-Poole, UK) at a 12,000-fold dilution in PBST (1:12,000) was added to each well and incubated for 30 min at 37 °C. After washing three times, the plates were incubated with chromogen/substrate [100 μg/well of o-phenylenediamine dihydrochloride (OPD)], 0.025% H2O2 in 0.1 M citrate buffer pH 5) and were stopped by addition of 50 μL of 1 M sulfuric acid after 30 min. The optical density (OD) of samples was monitored at a wave length of 492 nm using a microplate reader. The cut-off point was set as the mean optical density of the negative controls plus two standard deviations.
Serum DNA extraction
DNA extraction was performed for all reference and samples using the genomic DNA kit (DNG™-PLUS), according to the manufacturer’s instructions with some modifications23.
Primers
The primers used in PCR and Real-Time PCR techniques targeting ribosomal Internal Transcribed Spacer 1 (ITS1) and Glyceraldehyde-3-phosphate dehydrogenase (GAPDH) region of F. hepatica genome were adapted from a previous study23. The primers were synthesized by Sinaclon Company (Tehran, Iran) and deposited in the GenBank. The sequences of the primers used in this study are listed in Table 1.
Table 1 Primers used for PCR and Real-Time PCR and sequencing.
PCR and real-time PCR
PCR was conducted in a final volume of 25 μL containing 12.5 μL of master mix (Ampliqon), 1 μL of the primers, 2 μL of extracted DNA and 9.5 μL of distilled water. The detailed PCR temperature cycling conditions as follows: one cycle of primary initial denaturation at 95 °C for 5 min, followed by 35 cycles of denaturation at 95 °C for 30 s, annealing at 55 °C for 30 s, and elongation at 72 °C for 1 min. The final cycle was followed by extension at 72 °C for 5 min. The PCR products were separated by electrophoresis on a 1.5% agarose gel and visualized with a UV transilluminator (UV Transilluminator, QUANTUM SD4-1000, VILBER, France) after staining with 3 μg/mL GelRed. Real-time PCR was performed using species-specific primers and probes for detecting F. hepatica23. Ready-to-use Real-Time PCR master mix (6.5 μL) (QuantiTect Probe PCR master mix; Qiagen, Hilden, Germany) was used with 2 μL of each primer, 3.5 μL of distilled water, and 3 μL of DNA. The thermal cycling conditions in Real-Time PCR system were 95 °C for 5 min (Initial denaturation), 40 cycles of 95 °C for 30 s (Denaturation), 55 °C for 30 s (Annealing), and 72 °C for 1 min (Extension), and by a melting curve stage of 95 °C for 10 s and 65 °C for 60 s.
Statistical analysis
The Kappa agreement test was used to determine the agreement between the methods. Statistical analysis was done using SPSS software version 26 (IBM Corp., Armonk, NY, USA). Chi-square (χ2) and Fisher’s exact tests were used to evaluate associations of the variables. _P_-value less than 0.05 was considered statistically significant.
Result
Optimization of ELISA using ESAgs for diagnosis of fascioliasis
Out of 70 serum samples collected from the study subjects, 44 samples (62.86%) were found to be infected with fascioliasis using ESAgs of F. hepatica and ELISA that including 34 patients who were previously diagnosed as seropositive for fascioliasis (Group A) and 10 people who were seropositive and Fasciola eggs recovered from fecal samples using parasitology assay and stool examination (Group B).
PCR assay
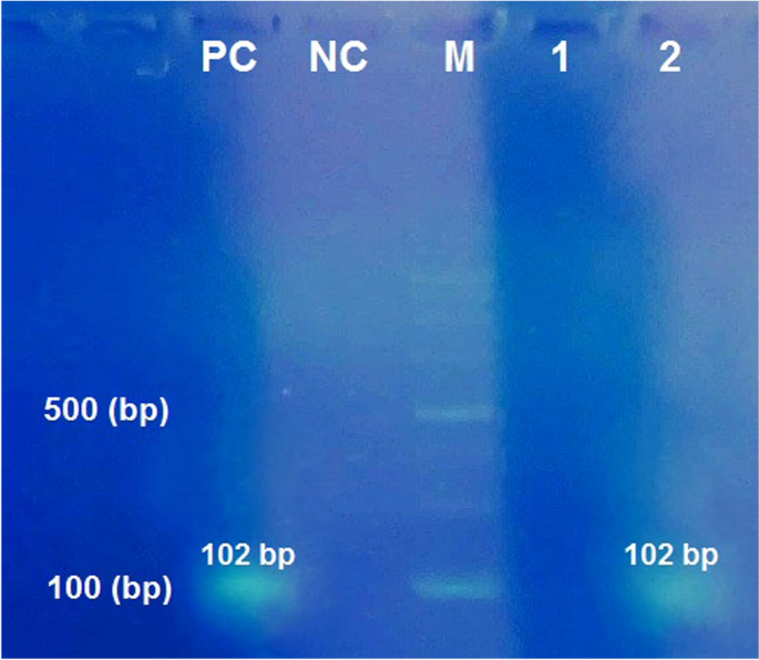
Electrophoresis of PCR products on 1.5% agarose gel stained with DNA safe stain showed that among 70 DNA samples extracted from serum samples, 44 specimens were diagnosed positive with F. hepatica and analysis of PCR products revealed positive band (102-bp) in fascioliasis patients (Fig. 1).
Figure 1
Analysis of PCR products amplified of Fasciola species from serum samples by 1.5% agarose gel electrophoresis. PC Positive control with genomic DNA, NC Negative control without DNA, M Molecular size marker 100-bp, Lane 1: negative sample, Lane 2: Fasciola hepatica with ITS1/GAPH primers (a band of 102-bp was observed). Full-length gel image is presented in Supplementary Fig. 1.
Agreement between real-time PCR and indirect ELISA
In the current study, the housekeeping gene (HKG) was detected in the samples, which increases the accuracy of the positive or negative results obtained. There was a high similarity in the results of the patients (more than 99%) and only about 5% difference in the results with the two methods (Cohen’s kappa coefficient: 0.71; P = 0.02). Accordingly, the similarity of patients’ results and agreement (based on Kappa statistics) were found to be 99.2% and 94.4%, respectively (Table 2).
Table 2 Agreement and similarity of indirect ELISA and real-time PCR results.
Of the 34 ELISA positive samples suspected of fascioliasis (Group A), after molecular analysis, all positive serum samples using FES-ELISA were also Real-Time PCR positive, which showed that there is a significant level of agreement between the two diagnostic methods (P = 0.01) (Fig. 2). In the group that included 10 positive cases of fascioliasis and Fasciola eggs were observed in direct stool examination (Group B), people obtained positive results with both serological and Real-Time PCR methods, and a significant difference was observed between them. Eleven of 12 samples (Group C), the findings were negative for both molecular and serological methods. Group D included seven samples from patients with other parasitic diseases such as toxocariasis, strongyloidiasis, taeniasis, hydatidosis, and trichinosis, as well as toxoplasmosis and leishmaniasis. All these patients were negative for Fasciola infection by serological and molecular-based method, indicating the absence of cross-reactivity. Both the ELISA and Real-Time PCR yielded consistent results which indicates a high level of agreement between the two methods (P = 0.01). Finally, a group included seven samples that were referred for investigate after treatment (Group E). The ELISA findings were positive and the Real-Time PCR assay results were negative for fascioliasis. The results demonstrate a mismatch between these two approaches.
Figure 2
A melting curve analysis of ITS-1 real-time PCR showing species-specific melting peaks for Fasciola hepatica.
Discussion
Although the clinical and economic importance of fascioliasis has been known for centuries, the available diagnostic tests are not well suited to detect infection in humans[24](/articles/s41598-024-54602-y#ref-CR24 "Nyindo, M. & Lukambagire, A. H. Fascioliasis: An ongoing zoonotic trematode infection. Biomed. Res. Int. 2015, 786195. https://doi.org/10.1155/2015/786195
(2015).").In the current study, conventional serological test (indirect-ELISA), PCR and Real-Time PCR techniques were compared together for the diagnosis of F. hepatica in serum samples of human. Based on the acquired results, the most positive cases for F. hepatica were diagnosed by Real-Time PCR assays.
The intricate pathophysiology of Fasciola infection in humans may pose challenges for disease diagnosis and management, and gold standard approaches and/or experimental settings have mainly been used to evaluate diagnostic testing and their limitations[6](/articles/s41598-024-54602-y#ref-CR6 "Caravedo, M. A. & Cabada, M. M. Human fascioliasis: Current epidemiological status and strategies for diagnosis, treatment, and control. Res. Rep. Trop. Med. 11, 149–158. https://doi.org/10.2147/RRTM.S237461
(2020)."),[24](#ref-CR24 "Nyindo, M. & Lukambagire, A. H. Fascioliasis: An ongoing zoonotic trematode infection. Biomed. Res. Int. 2015, 786195.
https://doi.org/10.1155/2015/786195
(2015)."),[25](#ref-CR25 "Arias-Pacheco, C., Lucas, J. R., Rodríguez, A., Córdoba, D. & Lux-Hoppe, E. G. Economic impact of the liver condemnation of cattle infected with Fasciola hepatica in the Peruvian Andes. Trop. Anim. Health Prod. 52, 1927–1932.
https://doi.org/10.1007/s11250-020-02211-y
(2020)."),[26](#ref-CR26 "Zerna, G., Spithill, T. W. & Beddoe, T. Current status for controlling the overlooked caprine fasciolosis. Animals 11, 1819.
https://doi.org/10.3390/ani11061819
(2021)."),[27](#ref-CR27 "Akıl, M., Aykur, M., Karakavuk, M., Can, H. & Döşkaya, M. Construction of a multiepitope vaccine candidate against Fasciola hepatica: An in silico design using various immunogenic excretory/secretory antigens. Expert Rev. Vaccines 21, 993–1006.
https://doi.org/10.1080/14760584.2022.1996233
(2022)."),[28](/articles/s41598-024-54602-y#ref-CR28 "Rajanna, R., Thimmareddy, P. M., Sengupta, P. P., Siju, S. J. & Mamatha, G. S. Epidemiological and genetic characterization of larval stages of Fasciola gigantica in snail intermediate hosts in Karnataka State, India. Acta Parasitol. 63, 609–616.
https://doi.org/10.1515/ap-2018-0070
(2018)."). While various diagnostic techniques are employed to diagnose human fascioliasis, each has its limitations and drawbacks. For instance, serological diagnosis may yield false-positive results due to cross-reactivity, also one of the disadvantages of serological methods is that positive tests remain more than six months after the treatment of the disease. Moreover, immune-deficient patients may not be accurately diagnosed using serological methods[8](/articles/s41598-024-54602-y#ref-CR8 "Gonzales Santana, B., Dalton, J. P., Vasquez Camargo, F., Parkinson, M. & Ndao, M. The diagnosis of human fascioliasis by enzyme-linked immunosorbent assay (ELISA) using recombinant cathepsin L protease. PLoS Negl. Trop. Dis. 7, 2414.
https://doi.org/10.1371/journal.pntd.0002414
(2013)."),[29](/articles/s41598-024-54602-y#ref-CR29 "Cabada, M. M. & White, A. C. Jr. New developments in epidemiology, diagnosis, and treatment of fascioliasis. Curr. Opin. Infect. Dis. 25, 518–522.
https://doi.org/10.1097/QCO.0b013e3283567b7e
(2012)."), [30](/articles/s41598-024-54602-y#ref-CR30 "Sarkari, B. & Khabisi, S. A. Immunodiagnosis of human fascioliasis: An update of concepts and performances of the serological assays. J. Clin. Diagn. Res. 11, OE05-OE10.
https://doi.org/10.7860/JCDR/2017/26066.10086
(2017)."). In past studies, ELISA has been shown to be the most common method for diagnosing helminth infections, but serodiagnostic tests for parasitic diseases still pose problems, including cross-reactivity between them. Previous studies demonstrated that the sensitivity of ELISA for toxocariasis is 80% and its specificity is 90–95%. On the other hand, the findings shows that there may be common antigens and cross-reactivity between _Toxocara canis_ and _Fasciola_, _Trichinella_, _Strongyloides_ and _Schistosoma_ species[31](/articles/s41598-024-54602-y#ref-CR31 "Magnaval, J. F., Glickman, L. T., Dorchies, P. & Morassin, B. Highlights of human toxocariasis. Korean J. Parasitol. 39, 1–11.
https://doi.org/10.3347/kjp.2001.39.1.1
(2001)."),[32](/articles/s41598-024-54602-y#ref-CR32 "Jacquier, P., Gottstein, B., Stingelin, Y. & Eckert, J. Immunodiagnosis of toxocarosis in humans: Evaluation of a new enzyme-linked immunosorbent assay kit. J. Clin. Microbiol. 29, 1831–1835.
https://doi.org/10.1128/jcm.29.9.1831-1835.1991
(1991)."). In a study by Cicek et al., cross-reactivity between whole worm extracts of _Fasciola_ and _Toxocara_ species was demonstrated, which it may be due to the effectiveness of the home-made ELISA method[33](/articles/s41598-024-54602-y#ref-CR33 "Çiçek, M. & Yılmaz, H. Prevalence of toxocariasis in human and dogs in Van Province, Turkey. Kafkas Univ. Vet. Fak. Derg. 18, 531–536.
https://doi.org/10.9775/kvfd.2011.5211
(2012)."). Parasitic helminths express various antigenic carbohydrates, which often account for serological cross-reactions. In previous investigate, it was found that there are common antigens between hydatidosis and fascioliasis and there is cross-positivity in the serological methods[34](/articles/s41598-024-54602-y#ref-CR34 "Kaya, M., Beştaş, R., Gırgın, S., Çıçek, M. & Kaplan, M. A. Increased anti-Echinococcus granulosus antibody positivity in Fasciola hepatica infection. Turk. J. Gastroenterol. 23, 339–343.
https://doi.org/10.4318/tjg.2012.0354
(2012)."). Although parasitological examinations are considered as the gold standard and the way of differential diagnosis in some cases, they are not useful for the acute diagnostic stages of human fascioliasis[29](/articles/s41598-024-54602-y#ref-CR29 "Cabada, M. M. & White, A. C. Jr. New developments in epidemiology, diagnosis, and treatment of fascioliasis. Curr. Opin. Infect. Dis. 25, 518–522.
https://doi.org/10.1097/QCO.0b013e3283567b7e
(2012)."). The majority of microscopy techniques exhibit low sensitivity and necessitate repeated testing and egg concentration. Furthermore, the sensitivity is even further diminished when egg counts are low, which can be observed in cases of long-term infections, treatment failure, or infections caused by hybrid parasites (_Fasciola_ species)[10](/articles/s41598-024-54602-y#ref-CR10 "Wongwairot, S. et al. Monoclonal antibody against recombinant Fasciola gigantica cathepsin L1H could detect juvenile and adult cathepsin Ls of Fasciola gigantica. Parasitol. Res. 114, 133–140.
https://doi.org/10.1007/s00436-014-4170-8
(2015).") Therefore, the molecular methods are more specific than the mentioned methods, their susceptibility to rapid contamination constitutes a limitation factor[35](/articles/s41598-024-54602-y#ref-CR35 "Abdolahi Khabisi, S., Sarkari, B., Moshfe, A. & Jalali, S. Production of monoclonal antibody against excretory–secretory antigen of Fasciola hepatica and evaluation of its efficacy in the diagnosis of fascioliasis. Monoclon. Antib. Immunodiagn. Immunother. 36, 8–14.
https://doi.org/10.1089/mab.2016.0034
(2017)."),[36](/articles/s41598-024-54602-y#ref-CR36 "Mirahmadi, H. et al. Detection of malaria using blood smear by light microscopy, RDT and nested-PCR for suspected patients in south-eastern Iran. Gene Rep. 25, 101339.
https://doi.org/10.1016/j.genrep.2021.101339
(2021)."). In modern parasitology, molecular methods based on DNA analysis have significant effects in many fields, including systematic determination of parasites, diagnosis of infections, analysis of parasite epidemics, investigation of genetic structures within parasite populations (such as genetic differences between genera), and research on gene expression, vaccine development, and drug resistance[37](#ref-CR37 "Gasser, R. B. Molecular tools—advances, opportunities and prospects. Vet. Parasitol. 136, 69–89.
https://doi.org/10.1016/j.vetpar.2005.12.002
(2006)."),[38](#ref-CR38 "Gasser, R. B. PCR-based technology in veterinary parasitology. Vet. Parasitol. 84, 229–258.
https://doi.org/10.1016/s0304-4017(99)00036-9
(1999)."),[39](/articles/s41598-024-54602-y#ref-CR39 "Mejia, R. et al. A novel, multi-parallel, real-time polymerase chain reaction approach for eight gastrointestinal parasites provides improved diagnostic capabilities to resource-limited at-risk populations. Am. J. Trop. Med. Hyg. 88, 1041–1047.
https://doi.org/10.4269/ajtmh.12-0726
(2013).").Comparing diagnostic methods, including molecular, serological, and microscopic, has always been a subject of investigation in parasitic diseases to establish an initial and reference method. Since most studies on human fascioliasis have only focused on limited outlooks, evaluating the correlation between diagnostic and clinical aspects and response to treatment is essential.
The present study, which was designed to detect the agreement between indirect-ELISA and Real-Time PCR methods in the diagnosis of fasciolosis in endemic areas, the findings showed more than 94.4% agreement and 99.2% similarity. According to the results of Kappa statistics, our findings show that molecular methods can complement conventional direct stool examination, antigen and antibody-based methods for the detection, identification and epidemiologic analysis of Fasciola infection. This study was able to demonstrate significant differences between the agreement and similarity of results of indirect-ELISA and Real-Time PCR by Kappa index. In addition, all patients who were treated or seropositive were diagnosed as negative using Real-Time PCR method. Alizadeh et al., compared the Semi-Nested-PCR and ELISA for the diagnosis of F. hepatica in human serum[40](/articles/s41598-024-54602-y#ref-CR40 "Alizadeh, G. et al. Evaluation of semi-nested PCR compared with indirect-ELISA to diagnose human fasciolosis. Iran J. Public Health 51, 686–694. https://doi.org/10.18502/ijph.v51i3.8947
(2022)."). Their results showed that Nested-PCR was a more sensitive method to detect _Fasciola_ than serological assay. In another study, the performance of single-step duplex PCR was evaluated with stool samples[41](/articles/s41598-024-54602-y#ref-CR41 "Le, T. H. et al. Development and evaluation of a single-step duplex PCR for simultaneous detection of Fasciola hepatica and Fasciola gigantica (family Fasciolidae, class Trematoda, phylum Platyhelminthes). J. Clin. Microbiol. 50, 2720–2726.
https://doi.org/10.1128/JCM.00662-12
(2012)."). Their results provide evidence to suggest that novel mitochondrial DNA (mtDNA) duplex PCR is a sensitive and fast tool for accurate identification of _Fasciola_ species in areas of distributional and zonal overlap. One study reported 100% similarity between ELISA and Nested-PCR in the diagnosis of chronic toxoplasmosis[42](/articles/s41598-024-54602-y#ref-CR42 "Saki, J., Mowla, K., Arjmand, R., Kazemi, F. & Fallahizadeh, S. Prevalence of Toxoplasma gondii and Toxocara canis among myositis patients in the Southwest of Iran. Infect. Disord. Drug Targets 21, 43–48.
https://doi.org/10.2174/1871526520666191231123159
(2021)."). Our study confirms these findings and demonstrates the sensitivity and value of molecular methods. In the study by Olaogun and colleagues, they compared three diagnostic methods—sedimentation technique, Copro-ELISA, and qPCR—for detecting _Fasciola_ in cattle, with the molecular approach demonstrating the best sensitivity[43](/articles/s41598-024-54602-y#ref-CR43 "Olaogun, S. C., Byaruhanga, C., Ochai, S. O., Fosgate, G. T. & Marufu, M. C. Comparison of three diagnostic methods to detect the occurrence of Fasciola species in communally grazed cattle in the North West Province, South Africa. Pathogens 11, 1398.
https://doi.org/10.3390/pathogens11121398
(2022)."). In a study conducted to identify strongyloidiasis in serum samples obtained from immunocompromised patients, it was demonstrated that the molecular method utilizing cell-free DNA present in human serum samples is indeed feasible[44](/articles/s41598-024-54602-y#ref-CR44 "Gorgani-Firouzjaee, T., Kalantari, N., Javanian, M. & Ghaffari, S. Strongyloides stercoralis: Detection of parasite-derived DNA in serum samples obtained from immunosuppressed patients. Parasitol. Res. 117, 2927–2932.
https://doi.org/10.1007/s00436-018-5985-5
(2018)."). In the present study, we detected fascioliasis in serum samples using a molecular technique targeting cell-free DNA. This approach effectively addressed the issue of false negative results associated with the serology method, which can arise due to the absence of antibodies in some patients. In other studies, researchers have proven that molecular-based methods for distinguishing between _Fasciola hepatica_ and _Fasciola gigantica_ are particularly useful for epidemiological research[45](/articles/s41598-024-54602-y#ref-CR45 "Marcilla, A., Bargues, M. & Mas-Coma, S. A PCR-RFLP assay for the distinction between Fasciola hepatica and Fasciola gigantica. Mol. Cell. Probes 16, 327–333.
https://doi.org/10.1006/mcpr.2002.0429
(2002)."),[46](/articles/s41598-024-54602-y#ref-CR46 "Rokni, M. B. et al. Identification and differentiation of Fasciola hepatica and Fasciola gigantica using a simple PCR-restriction enzyme method. Exp. Parasitol. 124, 209–213.
https://doi.org/10.1016/j.exppara.2009.09.015
(2010)."). The present study confirms previous results and provides further evidence that molecular techniques such as Real-Time PCR can effectively affirm or deny reference methods.Conclusion
Overall, early diagnosis of Fasciola species infection is provided by serological methods, but circulating antibodies may remain in the blood for several months after successful treatment. Therefore, serology does not always measure the current infection but only the exposure to the parasite. Our findings provides new insight into the performance of some existing diagnostic tests for the diagnosis of F. hepatica infections in the human population. Real-time PCR technique can be a valuable assay in monitoring and understanding the changing epidemiology of F. hepatica as well as evaluating population health programs knowing its disadvantages and being able to regulate it. The PCR assay is a comparable test that could be used throughout the year with acceptable sensitivity and specificity. The control of fascioliasis is a global challenge, hence qualitative and quantitative evaluation of existing diagnostic tests as well as development of better field tests are needed.
Data availability
All data generated or analyzed during this study are included in this published article.
References
- Chang, E. C., Choi, H. L., Park, Y. W., Kong, Y. & Cho, S. Y. Subcutaneous fascioliasis: A case report. Korean J. Parasitol. 29, 403–405. https://doi.org/10.3347/kjp.1991.29.4.403 (1991).
Article CAS Google Scholar - Shareef, S. H., Hawramy, T. A., Mohammed, D. A. & Hama, R. S. Peri cholecystectomy bile analysis for Fasciola hepatica eggs in Sulaimani Teaching Hospital. Kurd. J. Appl. Res. 4, 199–210 (2019).
Article Google Scholar - Dittmar, K. & Teegen, W. R. The presence of Fasciola hepatica (liver-fluke) in humans and cattle from a 4,500 year old archaeological site in the Saale-Unstrut valley, Germany. Mem. Inst. Oswaldo Cruz 98, 141–143. https://doi.org/10.1590/s0074-02762003000900021 (2003).
Article PubMed Google Scholar - WHO. Neglected Tropical Diseases (World Health Organization, Geneva, 2017). Available online at: http://www.who.int/neglected_diseases/diseases/en/ (2020).
- Çiçek, M., Yalçın, K., Bilden, A., Çakır, F. & Akpolat, N. Evaluation of the seroprevalence and the demographic and clinical findings of fascioliasis patients in the Dicle River Basin in Turkey: A nine-year experience at a university hospital. Eur. Rev. Med. Pharmacol. Sci. 27, 10831–10838. https://doi.org/10.26355/eurrev_202311_34449 (2023).
Article PubMed Google Scholar - Caravedo, M. A. & Cabada, M. M. Human fascioliasis: Current epidemiological status and strategies for diagnosis, treatment, and control. Res. Rep. Trop. Med. 11, 149–158. https://doi.org/10.2147/RRTM.S237461 (2020).
Article PubMed PubMed Central Google Scholar - Guerrero-Espejo, A. & Bernad-Anso, A. Incidence and geographical distribution of patients hospitalised with fascioliasis in Spain. Enferm Infecc Microbiol. Clin. 38, 257–262. https://doi.org/10.1016/j.eimc.2019.08.004 (2020).
Article Google Scholar - Gonzales Santana, B., Dalton, J. P., Vasquez Camargo, F., Parkinson, M. & Ndao, M. The diagnosis of human fascioliasis by enzyme-linked immunosorbent assay (ELISA) using recombinant cathepsin L protease. PLoS Negl. Trop. Dis. 7, 2414. https://doi.org/10.1371/journal.pntd.0002414 (2013).
Article Google Scholar - Sugiyama, T. et al. Enzyme-linked immunosorbent assay (ELISA) using recombinant Fasciola cathepsin L1 for the diagnosis of human fasciolosis caused by Fasciola hepatica/gigantica hybrid type. Parasitol. Int. 82, 102311. https://doi.org/10.1016/j.parint.2021.102311 (2021).
Article CAS PubMed Google Scholar - Wongwairot, S. et al. Monoclonal antibody against recombinant Fasciola gigantica cathepsin L1H could detect juvenile and adult cathepsin Ls of Fasciola gigantica. Parasitol. Res. 114, 133–140. https://doi.org/10.1007/s00436-014-4170-8 (2015).
Article PubMed Google Scholar - Mas-Coma, S., Bargues, M. & Valero, M. Human fascioliasis infection sources, their diversity, incidence factors, analytical methods and prevention measures. Parasitology 145, 1665–1699. https://doi.org/10.1017/S0031182018000914 (2018).
Article CAS PubMed Google Scholar - Chen, M. G. & Mott, K. E. Progress in assessment of morbidity due to Fasciola hepatica infection: A review of recent literature. Trop. Dis. Bull. 87, 1–38 (1990).
Google Scholar - Drescher, G. et al. Serological diagnosis of fasciolosis (Fasciola hepatica) in humans, cattle, and sheep: A meta-analysis. Front Vet. Sci. 10, 1252454. https://doi.org/10.3389/fvets.2023.1252454 (2023).
Article PubMed PubMed Central Google Scholar - Tran, N. T. D. et al. Evaluation of a commercial enzyme-linked immunosorbent assay kit and in-house Fasciola gigantica cysteine proteinases-based enzyme-linked immunosorbent assays for diagnosis of human fascioliasis. Am. J. Trop. Med. Hyg. 100, 591–598. https://doi.org/10.4269/ajtmh.18-0833 (2019).
Article CAS PubMed PubMed Central Google Scholar - Mirzadeh, A. et al. Recent developments in recombinant proteins for diagnosis of human fascioliasis. Acta Parasitol. 66, 13–25. https://doi.org/10.1007/s11686-020-00280-5 (2021).
Article PubMed Google Scholar - Wongkham, C. et al. Evaluation of immunoglobulin G subclass antibodies against recombinant Fasciola gigantica cathepsin L1 in an enzyme-linked immunosorbent assay for serodiagnosis of human fasciolosis. Clin. Diagn. Lab. Immunol. 12, 1152–1156. https://doi.org/10.1128/CDLI.12.10.1152-1156.2005 (2005).
Article CAS PubMed PubMed Central Google Scholar - Pryor, R. J. & Wittwer, C. T. Real-time polymerase chain reaction and melting curve analysis. Methods Mol. Biol. 336, 19–32. https://doi.org/10.1385/1-59745-074-X:19 (2006).
Article CAS PubMed Google Scholar - Baltrušis, P. & Höglund, J. Digital PCR: Modern solution to parasite diagnostics and population trait genetics. Parasit. Vectors 16, 143. https://doi.org/10.1186/s13071-023-05756-7 (2023).
Article PubMed PubMed Central Google Scholar - Perez-C, J. E., Giraldo-Pinzon, E. J. & Aguilar-Marín, S. First report of human fascioliasis in an endemic region of bovine fascioliasis in Caldas-Colombia. Vector Borne Zoonotic Dis. 16, 377–381. https://doi.org/10.1089/vbz.2015.1900 (2016).
Article PubMed PubMed Central Google Scholar - Cabada, M. M. et al. Recombinase polymerase amplification compared to real-time polymerase chain reaction test for the detection of Fasciola hepatica in human stool. AM. J. Trop. Med. Hyg. 96, 341–346. https://doi.org/10.4269/ajtmh.16-0601 (2017).
Article CAS PubMed PubMed Central Google Scholar - Rehman, Z. U. et al. High-throughput sequencing of Fasciola spp. shows co-infection and intermediate forms in Balochistan, but only Fasciola gigantica in the Punjab province of Pakistan. Infect. Genet. Evol. 94, 105012. https://doi.org/10.1016/j.meegid.2021.105012 (2021).
Article CAS PubMed Google Scholar - Bradford, M. M. A rapid and sensitive method for the quantitation of microgramquantities of protein utilizing the principle of proteindye binding. Anal. Biochem. 72, 248–254. https://doi.org/10.1006/abio.1976.9999 (1976).
Article CAS PubMed Google Scholar - Aryaeipour, M. et al. Genotyping and phylogenetic analysis of Fasciola spp. isolated from sheep and cattle using PCR-RFLP in Ardabil province, northwestern Iran. Iran J. Public Health. 43, 1364–1371 (2014).
PubMed PubMed Central Google Scholar - Nyindo, M. & Lukambagire, A. H. Fascioliasis: An ongoing zoonotic trematode infection. Biomed. Res. Int. 2015, 786195. https://doi.org/10.1155/2015/786195 (2015).
Article PubMed PubMed Central Google Scholar - Arias-Pacheco, C., Lucas, J. R., Rodríguez, A., Córdoba, D. & Lux-Hoppe, E. G. Economic impact of the liver condemnation of cattle infected with Fasciola hepatica in the Peruvian Andes. Trop. Anim. Health Prod. 52, 1927–1932. https://doi.org/10.1007/s11250-020-02211-y (2020).
Article PubMed Google Scholar - Zerna, G., Spithill, T. W. & Beddoe, T. Current status for controlling the overlooked caprine fasciolosis. Animals 11, 1819. https://doi.org/10.3390/ani11061819 (2021).
Article PubMed PubMed Central Google Scholar - Akıl, M., Aykur, M., Karakavuk, M., Can, H. & Döşkaya, M. Construction of a multiepitope vaccine candidate against Fasciola hepatica: An in silico design using various immunogenic excretory/secretory antigens. Expert Rev. Vaccines 21, 993–1006. https://doi.org/10.1080/14760584.2022.1996233 (2022).
Article CAS PubMed Google Scholar - Rajanna, R., Thimmareddy, P. M., Sengupta, P. P., Siju, S. J. & Mamatha, G. S. Epidemiological and genetic characterization of larval stages of Fasciola gigantica in snail intermediate hosts in Karnataka State, India. Acta Parasitol. 63, 609–616. https://doi.org/10.1515/ap-2018-0070 (2018).
Article PubMed Google Scholar - Cabada, M. M. & White, A. C. Jr. New developments in epidemiology, diagnosis, and treatment of fascioliasis. Curr. Opin. Infect. Dis. 25, 518–522. https://doi.org/10.1097/QCO.0b013e3283567b7e (2012).
Article CAS PubMed Google Scholar - Sarkari, B. & Khabisi, S. A. Immunodiagnosis of human fascioliasis: An update of concepts and performances of the serological assays. J. Clin. Diagn. Res. 11, OE05-OE10. https://doi.org/10.7860/JCDR/2017/26066.10086 (2017).
Article CAS PubMed PubMed Central Google Scholar - Magnaval, J. F., Glickman, L. T., Dorchies, P. & Morassin, B. Highlights of human toxocariasis. Korean J. Parasitol. 39, 1–11. https://doi.org/10.3347/kjp.2001.39.1.1 (2001).
Article CAS PubMed PubMed Central Google Scholar - Jacquier, P., Gottstein, B., Stingelin, Y. & Eckert, J. Immunodiagnosis of toxocarosis in humans: Evaluation of a new enzyme-linked immunosorbent assay kit. J. Clin. Microbiol. 29, 1831–1835. https://doi.org/10.1128/jcm.29.9.1831-1835.1991 (1991).
Article CAS PubMed PubMed Central Google Scholar - Çiçek, M. & Yılmaz, H. Prevalence of toxocariasis in human and dogs in Van Province, Turkey. Kafkas Univ. Vet. Fak. Derg. 18, 531–536. https://doi.org/10.9775/kvfd.2011.5211 (2012).
Article Google Scholar - Kaya, M., Beştaş, R., Gırgın, S., Çıçek, M. & Kaplan, M. A. Increased anti-Echinococcus granulosus antibody positivity in Fasciola hepatica infection. Turk. J. Gastroenterol. 23, 339–343. https://doi.org/10.4318/tjg.2012.0354 (2012).
Article PubMed Google Scholar - Abdolahi Khabisi, S., Sarkari, B., Moshfe, A. & Jalali, S. Production of monoclonal antibody against excretory–secretory antigen of Fasciola hepatica and evaluation of its efficacy in the diagnosis of fascioliasis. Monoclon. Antib. Immunodiagn. Immunother. 36, 8–14. https://doi.org/10.1089/mab.2016.0034 (2017).
Article CAS PubMed Google Scholar - Mirahmadi, H. et al. Detection of malaria using blood smear by light microscopy, RDT and nested-PCR for suspected patients in south-eastern Iran. Gene Rep. 25, 101339. https://doi.org/10.1016/j.genrep.2021.101339 (2021).
Article CAS Google Scholar - Gasser, R. B. Molecular tools—advances, opportunities and prospects. Vet. Parasitol. 136, 69–89. https://doi.org/10.1016/j.vetpar.2005.12.002 (2006).
Article CAS PubMed Google Scholar - Gasser, R. B. PCR-based technology in veterinary parasitology. Vet. Parasitol. 84, 229–258. https://doi.org/10.1016/s0304-4017(99)00036-9 (1999).
Article CAS PubMed Google Scholar - Mejia, R. et al. A novel, multi-parallel, real-time polymerase chain reaction approach for eight gastrointestinal parasites provides improved diagnostic capabilities to resource-limited at-risk populations. Am. J. Trop. Med. Hyg. 88, 1041–1047. https://doi.org/10.4269/ajtmh.12-0726 (2013).
Article CAS PubMed PubMed Central Google Scholar - Alizadeh, G. et al. Evaluation of semi-nested PCR compared with indirect-ELISA to diagnose human fasciolosis. Iran J. Public Health 51, 686–694. https://doi.org/10.18502/ijph.v51i3.8947 (2022).
Article PubMed PubMed Central Google Scholar - Le, T. H. et al. Development and evaluation of a single-step duplex PCR for simultaneous detection of Fasciola hepatica and Fasciola gigantica (family Fasciolidae, class Trematoda, phylum Platyhelminthes). J. Clin. Microbiol. 50, 2720–2726. https://doi.org/10.1128/JCM.00662-12 (2012).
Article PubMed PubMed Central Google Scholar - Saki, J., Mowla, K., Arjmand, R., Kazemi, F. & Fallahizadeh, S. Prevalence of Toxoplasma gondii and Toxocara canis among myositis patients in the Southwest of Iran. Infect. Disord. Drug Targets 21, 43–48. https://doi.org/10.2174/1871526520666191231123159 (2021).
Article CAS PubMed Google Scholar - Olaogun, S. C., Byaruhanga, C., Ochai, S. O., Fosgate, G. T. & Marufu, M. C. Comparison of three diagnostic methods to detect the occurrence of Fasciola species in communally grazed cattle in the North West Province, South Africa. Pathogens 11, 1398. https://doi.org/10.3390/pathogens11121398 (2022).
Article PubMed PubMed Central Google Scholar - Gorgani-Firouzjaee, T., Kalantari, N., Javanian, M. & Ghaffari, S. Strongyloides stercoralis: Detection of parasite-derived DNA in serum samples obtained from immunosuppressed patients. Parasitol. Res. 117, 2927–2932. https://doi.org/10.1007/s00436-018-5985-5 (2018).
Article PubMed Google Scholar - Marcilla, A., Bargues, M. & Mas-Coma, S. A PCR-RFLP assay for the distinction between Fasciola hepatica and Fasciola gigantica. Mol. Cell. Probes 16, 327–333. https://doi.org/10.1006/mcpr.2002.0429 (2002).
Article CAS PubMed Google Scholar - Rokni, M. B. et al. Identification and differentiation of Fasciola hepatica and Fasciola gigantica using a simple PCR-restriction enzyme method. Exp. Parasitol. 124, 209–213. https://doi.org/10.1016/j.exppara.2009.09.015 (2010).
Article CAS PubMed Google Scholar
Acknowledgements
The technical assistance of the parasitology laboratory staff, Department of Parasitology and Mycology, Faculty of Medicine, Alborz University of Medical Sciences is appreciated.
Funding
The results described in this article are part of a master’s thesis (Ms. Fatemeh Bakshipour) supported by a financial grant from the Faculty of Medicine of Alborz University of Medical Sciences, Karaj, Iran (Grant No. 1401-D-60-417).
Author information
Authors and Affiliations
- Department of Parasitology and Mycology, School of Medicine, Alborz University of Medical Sciences, P.O. Box: 3149779453, Karaj, Iran
Fatemeh Bakhshipour, Mohammad Zibaei & Abolfazl Miahipour - Department of Parasitology and Mycology, School of Public Health, Tehran University of Medical Sciences, Tehran, Iran
Mohammad Bagher Rokni, Mojgan Aryaeipour & Vahid Raissi - Center for Research of Endemic Parasites of Iran, Tehran University of Medical Sciences, Tehran, Iran
Mohammad Bagher Rokni - Department of Microbiology, School of Medicine, Alborz University of Medical Sciences, Karaj, Iran
Farzaneh Firoozeh - Department of Virology, School of Medicine, Ahvaz Jundishapur University of Medical Sciences, Ahvaz, Iran
Masoud Beheshti - Department of Medical Laboratory Sciences, Faculty of Para-Medicine, Alborz University of Medical Sciences, Karaj, Iran
Leila Beikzadeh - Department of Parasitology and Mycology, School of Medicine, Iran University of Medical Sciences, Tehran, Iran
Gita Alizadeh
Authors
- Fatemeh Bakhshipour
- Mohammad Zibaei
- Mohammad Bagher Rokni
- Abolfazl Miahipour
- Farzaneh Firoozeh
- Masoud Beheshti
- Leila Beikzadeh
- Gita Alizadeh
- Mojgan Aryaeipour
- Vahid Raissi
Contributions
F.B., M.Z., M.B.R. and V.R. conceived the study. M.Z., F.B. and M.B.R. designed the study. F.B., M.Z., A.M., F.F., L.B., G.A., M.A. and V.R. performed the molecular detection of the target genes and ELISA. M.Z. and M.B.R. were the project coordinator and participated in all parts of the work. F.B., M.B. and M.Z. wrote the manuscript following discussions with M.B.R. and F.F. M.Z. and F.B. revised the paper and improved the technical quality of the manuscript. All authors approved the final version of the paper.
Corresponding author
Correspondence toMohammad Zibaei.
Ethics declarations
Competing interests
The authors declare no competing interests.
Additional information
Publisher's note
Springer Nature remains neutral with regard to jurisdictional claims in published maps and institutional affiliations.
Supplementary Information
Rights and permissions
Open Access This article is licensed under a Creative Commons Attribution 4.0 International License, which permits use, sharing, adaptation, distribution and reproduction in any medium or format, as long as you give appropriate credit to the original author(s) and the source, provide a link to the Creative Commons licence, and indicate if changes were made. The images or other third party material in this article are included in the article's Creative Commons licence, unless indicated otherwise in a credit line to the material. If material is not included in the article's Creative Commons licence and your intended use is not permitted by statutory regulation or exceeds the permitted use, you will need to obtain permission directly from the copyright holder. To view a copy of this licence, visit http://creativecommons.org/licenses/by/4.0/.
About this article
Cite this article
Bakhshipour, F., Zibaei, M., Rokni, M.B. et al. Comparative evaluation of real-time PCR and ELISA for the detection of human fascioliasis.Sci Rep 14, 3865 (2024). https://doi.org/10.1038/s41598-024-54602-y
- Received: 11 November 2023
- Accepted: 14 February 2024
- Published: 16 February 2024
- Version of record: 16 February 2024
- DOI: https://doi.org/10.1038/s41598-024-54602-y

