Chronic microaspiration of bile acids induces lung fibrosis through multiple mechanisms in rats (original) (raw)
Article navigation
Cover Image

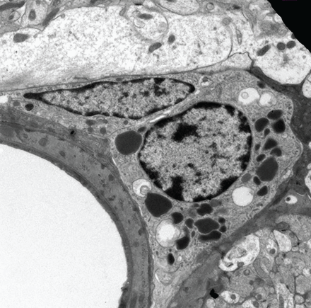
Image demonstrates the ultrastructural cortical basement membrane changes in SHRSP brain: accumulation of lipofuscin in pericytes. For further details, see article by Screiber et al in this issue (pages 1001–1013). Image kindly provided by Stefanie Schreiber.
Research Article| May 04 2017
1Department of Respiratory Medicine, Renji Hospital, School of Medicine, Shanghai Jiao Tong University, Shanghai 200127, China
2Department of Respiratory Medicine, Affiliated Hospital of Xuzhou Medical University, Xuzhou 221000, China
Search for other works by this author on:
1Department of Respiratory Medicine, Renji Hospital, School of Medicine, Shanghai Jiao Tong University, Shanghai 200127, China
Search for other works by this author on:
1Department of Respiratory Medicine, Renji Hospital, School of Medicine, Shanghai Jiao Tong University, Shanghai 200127, China
Search for other works by this author on:
1Department of Respiratory Medicine, Renji Hospital, School of Medicine, Shanghai Jiao Tong University, Shanghai 200127, China
Search for other works by this author on:
1Department of Respiratory Medicine, Renji Hospital, School of Medicine, Shanghai Jiao Tong University, Shanghai 200127, China
Search for other works by this author on:
1Department of Respiratory Medicine, Renji Hospital, School of Medicine, Shanghai Jiao Tong University, Shanghai 200127, China
Search for other works by this author on:
Publisher: Portland Press Ltd
Received: November 30 2016
Revision Received: March 19 2017
Accepted: March 23 2017
Accepted Manuscript online: March 24 2017
Online ISSN: 1470-8736
Print ISSN: 0143-5221
© 2017 The Author(s). published by Portland Press Limited on behalf of the Biochemical Society
2017
Clin Sci (Lond) (2017) 131 (10): 951–963.
Received:
November 30 2016
Revision Received:
March 19 2017
Accepted Manuscript online:
March 24 2017
Gastroesophageal reflux (GER) and microaspiration of duodenogastric refluxate have been recognized as a risk factor for pulmonary fibrosis. Recent evidence suggests that bile acid microaspiration may contribute to the development of lung fibrosis. However, the molecular evidence is scarce and the underlying mechanisms remain to be elucidated. We have recently demonstrated that bile acids induce activation of alveolar epithelial cells (AECs) and lung fibroblasts in vitro. In the present study, a rat model of bile acid microaspiration was established by weekly intratracheal instillation of three major bile acids including chenodeoxycholic acid (CDCA), deoxycholic acid (DCA), and lithocholic acid (LCA). Repeated microaspiration of CDCA, DCA, and LCA caused fibrotic changes, including alveolar wall thickening and extensive collagen deposition, in rat lungs. Bile acid microaspiration also induced alveolar epithelial–mesenchymal transition (EMT), as indicated by up-regulation of mesenchymal markers α-smooth muscle actin (α-SMA) and vimentin, as well as down-regulaton of epithelial markers E-cadherin and cytokeratin in alveolar epithelium of rat lungs. The expression of fibrogenic mediators, including transforming growth factor-β1 (TGF-β1), connective tissue growth factor (CTGF), basic fibroblast growth factor (bFGF), vascular endothelial growth factor (VEGF), and periostin, was significantly elevated in rat lungs exposed to microaspiration of bile acids. Furthermore, microaspiration of bile acids also induced p-Smad3 and farnesoid X receptor (FXR) expression in rat lungs. Our findings suggest that microaspiration of bile acids could promote the development of pulmonary fibrosis in vivo, possibly via stimulating fibrogenic mediator expression and activating TGF-β1/Smad3 signaling and FXR.
© 2017 The Author(s). published by Portland Press Limited on behalf of the Biochemical Society
2017
You do not currently have access to this content.
Sign in
Sign in to your personal account
You could not be signed in. Please check your email address / username and password and try again.
Email address / Username ?
Password
Could not validate captcha. Please try again.