Improvement of the solubilization of proteins in two-dimensional electrophoresis with immobilized pH gradients - PubMed (original) (raw)

Improvement of the solubilization of proteins in two-dimensional electrophoresis with immobilized pH gradients

T Rabilloud et al. Electrophoresis. 1997 Mar-Apr.

Abstract

Membrane and nuclear proteins of poor solubility have been separated by high resolution two-dimensional (2-D) gel electrophoresis. Isoelectric focusing with immobilized pH gradients leads to severe quantitative losses of proteins in the resulting 2-D map, although the resolution is usually high. Protein solubility could be improved by using denaturing solutions containing various detergents and chaotropes. Best results were obtained with a denaturing solution containing urea, thiourea, and detergents (both nonionic and zwitterionic). The usefulness of thiourea-containing denaturing mixtures is shown for microsomal and nuclear proteins as well as for tubulin, a protein highly prone to aggregation.

PubMed Disclaimer

Figures

Figure 1

Figure 1. 2-D electrophoresis of chloroplast enveloppe proteins (200μg). Detection with silver staining

A: IEF with carrier ampholytes (pH gradient 4 to 8). B: IEF with IPG (linear 4–8 pH gradient). The arrow points to RUBISCO (large subunit). Although the pH gradient in the case of CA-IEF is severely drifted, many proteins are present at higher final quantities in the gel with CA-IEF than in the gel with IPG. Some of these IEF mode-sensitive proteins are indicated with arrowheads.

Figure 2

Figure 2. 2-D electrophoresis of total cell extract proteins from P3-X63-Ag8 cells (100μg). IEF with IPG (linear 4–8 pH gradient). Detection with silver staining. In addition to the chaotrope and detergent, the IPG solution also contained the following secondary additives: 0.5% Triton X100, 0.4% carrier ampholytes (Pharmalytes 3–10) and 10mM DTT

A: IPG in 8M urea, 4% CHAPS; B: IPG in 50% (v/v) formamide, 2% SB 3–10; C: IPG in 8M methylurea, 2% SB 3–10; D: IPG in 2M thiourea, 5M urea, 2% SB 3–10.

Figure 3

Figure 3. 2-D electrophoresis of nuclear proteins from C2C12 cells (500μg). IEF with IPG (linear 4–8 pH gradient). Detection with low-sensitivity silver staining. Secondary additives as in Figure 2

A: IPG in 8M urea, 4% CHAPS; B: IPG in 4M urea, 2% SB 3–12; C: IPG in 4M urea, 2M thiourea, 2% SB 3–12; D: IPG in 5M urea, 2% SB 3–10; E: IPG in 2M thiourea, 5M urea, 2% SB 3–10; F: IPG in 2M thiourea, 7M urea, 4% CHAPS.

Figure 4

Figure 4. 2-D electrophoresis of microsomal proteins from P3-X63-Ag8 cells (100μg). IEF with IPG (linear 4–8 pH gradient). Detection with silver staining. Secondary additives as in Figure 2

A: IPG in 8M urea, 4% CHAPS, equilibration in standard solution; B: IPG in 8M urea, 4% CHAPS, equilibration in standard solution + 2M thiourea; C: IPG in 5M urea, 2M thiourea, 2% SB 3–10, equilibration in standard solution; D: IPG in 5M urea, 2M thiourea, 2% SB 3–10, equilibration in standard solution + 2M thiourea.

Figure 5

Figure 5. 2-D electrophoresis of integral membrane proteins from D. discoideum (100μg). IEF with IPG (linear 4–8 pH gradient). Detection with silver staining. Secondary additives as in Figure 2

A: IPG in 8M urea, 4% CHAPS; B: IPG in 2M thiourea, 5M urea, 2% SB 3–10; C: IPG in 2M thiourea, 7M urea, 4% CHAPS.

Figure 6

Figure 6. 2-D electrophoresis of microsomal proteins from C2C12 cells (200μg). IEF with IPG (linear 4–8 pH gradient). Detection with silver staining. Secondary additives as in Figure 2

A: IEF with carrier ampholytes; B: IPG in 8M urea, 4% CHAPS; C: IPG in 5M urea, 2% SB 3–10; D: IPG in 5M urea, 2% SB 3–10, 2% CHAPS; E: IPG in 2M thiourea, 7M urea, 4% CHAPS; F: IPG in 2M thiourea, 7M urea, 4% CHAPS; 5% NDSB 256. The bracket and arrowhead indicate high molecular weight proteins prominent when CA-IEF is used, and under-represented in IPG.

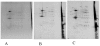
Figure 7

Figure 7. 2-D electrophoresis of purified bovine brain tubulin. IEF with IPG (linear 4–6 pH gradient). Detection with Coomassie Blue staining. Secondary additives as in Figure 2

A: IPG in 8M urea, 4% CHAPS; B: IPG in 2M thiourea, 5M urea, 2% SB 3–10; C: IPG in 2M thiourea, 7M urea, 4% CHAPS. arrow: α tubulin, arrowhead: β tubulin

References

    1. Ames GFL, Nikaido K. Biochemistry. 1976;15:616–623. - PubMed
    1. Mills ENC, Freedman RB. Biochim Biophys Acta. 1983;734:160–167. - PubMed
    1. Remy R, Ambard-Bretteville F. Methods Enzymol. 1987;148:623–632.
    1. Horst MN, Basha MM, Baumbach GA, Mansfield EH, Roberts RM. Anal Biochem. 1980;102:399–408. - PubMed
    1. Rubin RW, Leonardi CL. Methods Enzymol. 1983;96:184–192. - PubMed

MeSH terms

Substances

LinkOut - more resources