High Expression of H3K27me3 in Human Hepatocellular Carcinomas Correlates Closely with Vascular Invasion and Predicts Worse Prognosis in Patients (original) (raw)
Introduction
Hepatocellular carcinoma (HCC), with a high prevalence in Southeast Asia and Africa, is a leading lethal malignancy worldwide, and the incidence of HCC has been steadily increasing in Europe and America (1,2). Unfortunately, the long-term prognosis of patients with HCC remains poor despite recent advances in surgical techniques and medical treatment (3). This poor prognosis is in part related to the high incidence of intrahepatic metastasis and/or vascular invasion after initial treatment (4). Identification of biomarkers that can be used to define the vascular invasion and metastatic potential of HCC may facilitate the development of appropriate therapeutic strategies earlier in the course of this cancer. Thus, a substantial amount of research on HCC has focused on the discovery of specific molecular markers that are responsible for the vascular invasion and/or progression of this malignancy. To date, however, the search and identification of promising molecular and/or genetic alterations in HCC cells that have clinical/prognostic significance has remained substantially limited (5–7).
It was reported that epigenetic changes are involved in silencing of various tumor-suppressor genes, facilitating tumorigenesis and/or progression of human cancers (8–10). Histone methylation has been found to play an important role in regulating gene expression and chromatin function (9). Trimethylation of lysine 27 on histone H3 (H3K27me3), a transcription-suppressive histone mark, is methylated by enhancer of zeste homolog 2 (EZH2) (11). EZH2, the catalytic subunit of Polycomb repressive complex 2 (PRC2), was found to contribute to the maintenance of cell identity, cell cycle regulation and oncogenesis.
In addition, overexpression of EZH2 was positively associated with aggressiveness and poor prognosis in HCC patients (12–14). Recently, some investigators have documented that H3K27me3 plays an important role in tumorigenesis and progression of various types of human cancers, such as prostate, breast, ovarian, pancreatic and esophageal cancers, and has a prognostic impact (15–18). In addition, Yao and colleagues suggested that H3K27 trimethylation is an early epigenetic event of p16INK4a silencing for regaining tumorigenesis of hepatoma cells (19). Until now, however, the protein expression state of H3K27me3 in HCC and the clinicopathological/prognostic significance of this state have not been investigated.
In the present study, we first constructed two independent HCC tissue-sample cohorts consisting of tumorous and corresponding nontumorous liver tissues from different institutes. Next, immunohistochemical analysis (IHC) was performed to examine the expression dynamics of H3K27me3 in the testing cohort. Meanwhile, the X-tile program, a promising software to assess optimal cutpoints for biomarkers (20), was introduced to determine the cutoff value of H3K27me3 expression in our HCC tissues and thus to analyze the clinicopathological/prognostic significance of H3K27me3 expression in HCCs. Finally, the findings were further evaluated and confirmed in our validation cohort. Herein, we report for the first time that high expression of H3K27me3, as detected by IHC, correlates closely with HCC vascular invasion and is an independent molecular marker for shortened survival time of patients with HCC.
Materials and Methods
Patients and Cohorts
Formalin-fixed, paraffin-embedded tissues from 212 patients with HCC, who underwent initial surgical resection between March 2003 and August 2006, were randomly selected from the archives of the Department of Pathology of the First Affiliated Hospital, Sun Yat-Sen University (Guangzhou, China). The patients from whom these tissues were obtained were assigned to a testing cohort of 174 (82%) men and 38 (18%) women, with a median age of 48 years. Average follow-up time was 28.79 months (median, 22.5 months; range, 1.0–81.0 months).
In parallel, we assessed another randomly collected, independent validation cohort of 126 HCC patients, whose disease was diagnosed between July 2005 and May 2008. Samples from this patient cohort were obtained from the Department of Pathology of Sun Yat-Sen University Cancer Center (Guangzhou, China). This cohort included 95 (75.4%) men and 31 (24.6%) women, with median age of 49.5 years. Average duration of follow-up in this cohort was 23.69 months (median, 23.5 months; range, 1.0 to 53.0 months).
We collected clinicopathological data including patient age; sex; disease etiology; serum α-fetoprotein (AFP); liver cirrhosis; tumor number, size and differentiation; disease stage; vascular invasion; and relapse. These data are detailed in Table 1. Tumor differentiation was determined on the basis of criteria proposed by Edmonson and Steiner (21). Tumor stage was defined according to the American Joint Committee on Cancer/International Union Against Cancer TNM (tumor-node-metastasis) classification system (22). The institututional research medical ethics committee of Sun Yat-Sen University granted approval for this study.
Table 1 Association of H3K27me3 expression with patient’s clinicopathological features in primary hepatocellular carcinomas.
Tissue Microarrays
Tissue microarrays (TMAs) were constructed as a previously described method (23). In brief, the paraffin-embedded tissue blocks and the corresponding histological hematoxylin and eosin-stained slides were overlaid for TMA sampling. Triplicate cylindrical tissue samples of 0.6-mm diameter were punched from representative tumor areas and from adjacent liver tissue from blocks of individual donor tissue (duplicate cylinders from carcinoma tissue and one cylinder from adjacent normal liver tissue). The cylindrical samples were then reembedded into a recipient paraffin block at defined positions by use of a tissue-arraying instrument (Beecher Instruments, Silver Spring, MD, USA).
Immunohistochemical Analysis
The TMA slides were deparaffinized in xylene, rehydrated through graded alcohol, immersed in 3% hydrogen peroxide for 10 min to block endogenous peroxidase activity, and antigen-retrieved by pressure cooking for 3 min in citrate buffer (pH = 6). To block nonspecific binding, the slides were preincubated with 10% normal goat serum at room temperature for 30 min. Subsequently, the slides were incubated overnight at 4°C in a moist chamber with rabbit monoclonal antibody anti-H3K27me3 (Cell Signaling Technology, Beverly, MA, USA; 1:100 dilution) and mouse monoclonal antibody anti-EZH2 (BD Transduction Laboratories, Franklin Lakes, NJ, USA; 1:100 dilution). The slides were sequentially incubated with a secondary antibody (Envision; Dako, Glostrup, Denmark) for 1 h at room temperature, and stained with DAB (3,3-diaminobenzidine). Finally, the sections were counterstained with Mayer’s hematoxylin, dehydrated and mounted. A negative control was obtained by replacing the primary antibody with a normal murine or rabbit IgG. Known immunostaining-positive slides were used as positive controls.
Immunohistochemical Analysis Evaluation
Nuclear immunoreactivity for H3K27me3 protein was scored in a semiquantitative method by evaluation of the number of positive tumor cells over the total number of tumor cells. Scores were assigned by using 5% increments (0%, 5%, 10% … 100%) (24).
Expression for H3K27me3 was assessed by three independent pathologists (M-Y Cai, H-L Rao and D Xie) who were blinded to the clinicopathological data. The conclusions of the pathologists were in complete agreement in approximately 82% of the cases, which confirmed that this scoring method was highly reproducible. If the results reported by two or all three of the pathologists were consistent, the value was selected. In cases in which the three results of the three pathologists completely differed, all three worked together to confirm the score.
Selection of Cutpoint Score
X-tile plots were created for assessment of H3K27me3 expression and optimization of cutpoints based on outcome (20). The X-tile program divided the cohorts randomly into a matched training and validation set as a method for selecting optimal cutpoints, respectively. Statistical significance was assessed by using the cutoff score derived from a training set to parse a separate validation set, using a standard log-rank method, with P values obtained from a lookup table. The X-tile plots allowed determination of an optimal cutoff value while correcting for the use of minimum P statistics by Miller-Siegmund _P_-value correction (25).
Statistical Analysis
For survival analysis, optimal cut-point for H3K27me3 expression was obtained by using X-tile software version 3.6.1 (Yale University School of Medicine, New Haven, CT, USA), as described previously (20). Statistical significance of the correlation between H3K27me3 expression and patient survival was estimated by the Mantel-Cox log-rank test. Monte Carlo simulations were used to adjust for multiple observations in optimal cutpoint selection (25). Receiver operating characteristic (ROC) curve analysis was carried out to evaluate the predictive value of the parameters. Correlations between variables, ROC curve analysis, stage-match univariate survival analysis and multiple Cox proportional hazards regression were performed by using SPSS statistical software package (SPSS Standard version 13.0; SPSS, Chicago, IL, USA). A significant difference was considered if the P value from a two-tailed test was less than 0.05.
Results
IHC Analysis of H3K27me3 Expression Patterns in Two Independent Cohorts of Liver Tissues
For H3K27me3, immunoreactivity was observed primarily in the cell nuclei, though occasionally yellowish brown granules could also be seen in the cytoplasm (Figure 1). Immunoreactivity of H3K27me3 protein ranged from 0% to 100%. For the 28 noninformative TMA samples, which included samples with too few tumor cells (<300 cells per case) and lost samples, IHC staining were replaced and performed by using whole tissue slides.
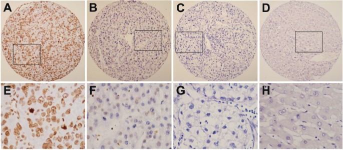
Figure 1
The expression of H3K27me3 in HCC and adjacent nonneoplastic liver tissues by IHC. (A) High expression of H3K27me3 was shown in an HCC patient sample (case 68 in the testing cohort), in which more than 95% carcinoma cells revealed positive staining of H3K27me3 in nuclei (100×). (B) Another HCC case in the testing cohort (case 36) demonstrated low expression of H3K27me3, in which less than 30% of tumor cells showed immunoreactivity of H3K27me3 in nuclei (100x). (C) Negative expression of H3K27me3 was detected in an HCC case (case 70) in the testing cohort (100x). (D) Adjacent non-neoplastic liver tissues of the same HCC case 36 showed nearly negative expression of H3K27me3 protein, in which less than 2% of normal hepatic cells showed positive staining of H3K27me3 in nuclei (100×). (E), (F), (G) and (H) demonstrate the higher magnification (400×) from the area of the box in (A), (B), (C) and (D), respectively.
To assess statistical significance and avoid the problems of multiple cutpoint selection, the X-tile program was employed to determine cutoff scores for H3K27me3 expression. According to the X-tile plots, we divided the testing cohort into low and high populations based on a cutpoint of more than 70% of cells positively stained for H3K27me3 (P < 0.0001, Figure 2A). This optimal cut-point determined by the testing cohort was applied to the validation cohort, which identified the cutoff score reached to highly statistical significance again (P < 0.0001, Figure 2B).
Figure 2
X-tile plots of the prognostic marker H3K27me3 on HCC cohorts. X-tile analysis was carried out on patient data from the testing cohort, equally divided into training and validation subsets. X-tile plots of training sets are displayed in the left panels, with matched validation sets in the smaller inset. The plot showed the χ2 log-rank values created when the cohort was divided into two populations. The cutpoint highlighted by the black/white circle in the left panels was demonstrated on a histogram of the entire cohort (middle panels) and a Kaplan-Meier plot (right panels). P values were defined by using the cutpoint derived from a training subset to parse a separate validation subset. (A) H3K27me3 expression was divided at the optimal cutpoint, as defined by the most significant on the plot (≤70% and >70% of tumor cells with positive staining of H3K27me3; P < 0.0001). (B) The optimal cutpoints for H3K27me3 expression determined by X-tile plot of the testing cohort were applied to the validation cohort and reached high statistical significance (P < 0.0001).
In the testing cohort, high expression of H3K27me3 was examined in 134 of 212 (63.2%) of HCCs and in 25 of 212 (11.8%) of adjacent liver tissues (P < 0.0001, Fisher exact test). Further correlation analysis demonstrated that H3K27me3 expression was significantly associated with tumor size, multiplicity, differentiation, clinical stage, vascular invasion (Figure 3) and relapse in HCC (P < 0.05, Table 1).
Figure 3
High expression of H3K27me3 was associated with HCC vascular invasion. (A) Higher expression of H3K27me3 was observed in carcinoma cells located at blood vessels in a patient with HCC (case 89 in testing cohort, arrow, 200×). (B) The endothelial cells of blood vessels (arrow) were stained for IHC, with an anti-CD34 antibody on the serial section of the same case 89 (200×).
In the validation cohort, high H3K27me3 expression was observed in 78 of 126 (60.4%) of HCC cases and in 16 of 126 (12.7%) of adjacent liver tissues (P < 0.0001, Fisher exact test). Similar to the observations in the testing cohort, high expression of H3K27me3 was linked closely to certain clinicopathological features, including tumor size, multiplicity, differentiation, clinical stage and vascular invasion (P < 0.05, Table 1).
Association between Clinicopathological Characteristics, H3K27me3 Expression and HCC Patient Survival: Univariate Survival Analysis
To confirm the representativeness of the HCCs in the testing cohort, we first tested well-established prognostic factors of patient survival. Kaplan-Meier analysis evaluated a significant impact of well-known clinical pathological prognostic parameters on patients’ survival, such as serum AFP levels (P < 0.0001), tumor size (P < 0.0001), multiplicity (P < 0.0001), differentiation (P = 0.021), clinical stage (P < 0.0001), vascular invasion (P < 0.0001) and relapse (P < 0.0001) (Table 2). Assessment of survival in this cohort of patients revealed that high expression of H3K27me3 was correlated with adverse disease-specific survival (P < 0.0001, Figure 2A and Table 2). Further analysis was performed with regard to H3K27me3 expression in subsets of HCC patients in different clinical stages. The results demonstrated that high expression of H3K27me3 was also a prognostic factor in HCC patients in stage II (P < 0.0001) and stage III (P = 0.025, Figure 4A).
Table 2 Univariate analysis of H3K27m3 expression and various clinicopathological parameters in 338 patients with primary hepatocellular carcinoma.
Figure 4
Kaplan-Meier survival analysis of H3K27me3 expression in subsets of HCC patients in different stages (log-rank test). (A) Stage II, probability of survival of stage II patients with HCC in the testing cohort: low expression, n = 33; high expression, n = 27. Stage III, probability of survival of patients with stage III HCC in the testing cohort: low expression, n = 24; high expression, n = 73. Stage IV, probability of survival of stage IV patients with HCC in the testing cohort: low expression, n = 8; high expression, n = 19. (B) Stage II, probability of survival of stage II patients with HCC in the validation cohort: low expression, n = 29; high expression, n = 21. Stage III, probability of survival of stage III patients with HCC in the validation cohort: low expression, n = 9; high expression, n = 41. Stage IV, probability of survival of stage IV patients with HCC in the validation cohort: low expression, n = 6; high expression, n = 8.
Results in the validation cohort were similar to those in the testing cohort. Patients with high H3K27me3 expression also showed a significant trend toward worse survival compared with patients with low expression of H3K27me3 (logrank, P < 0.0001; Figure 2B and Table 2). Of the other prognostic factors, univariate analysis demonstrated that serum AFP levels (P < 0.0001), tumor size (P < 0.0001), multiplicity (P < 0.0001), clinical stage (P < 0.0001), vascular invasion (P < 0.0001), and relapse (P < 0.0001) adversely affected patient disease-specific survival (Table 2). In addition, stage-match survival analysis showed that H3K27me3 expression was a prognostic predictor for patients with HCC either in stage II (P = 0.013) or in stage IV _(_P = 0.044, Figure 4B).
To evaluate prognostic values of H3K27me3 expression and clinicopatho-logic features, ROC curves were plotted to test patient survival status. ROC curve analysis confirmed the encouraging predictive value of H3K27me3 regarding HCC-specific survival in the testing cohort (area under the curve [AUC] = 0.733, Figure 5A). When the finding was further analyzed in another independent (validation) cohort, H3K27me3 was evaluated as well and found to be a promising predictor for HCC patient survival status (AUC = 0.719, Figure 5B).
Figure 5
ROC curve analysis for different clinicopathological features and H3K27me3 expression was performed to evaluate the survival status. (A) Sex (AUC = 0.539; P = 0.339), age (AUC = 0.504; P = 0.923), serum AFP (AUC = 0.678; P < 0.0001), hepatitis history (AUC = 0.510; P = 0.812), cirrhosis (AUC = 0.503; P = 0.942), tumor multiplicity (AUC = 0.687; P < 0.0001), tumor size (AUC = 0.699; P < 0.0001), differentiation (AUC = 0.597; P = 0.017) stage (AUC = 0.746; P < 0.0001), H3K27me3 expression (AUC = 0.733; P < 0.0001), vascular invasion (AUC = 0.764; P < 0.0001), and relapse (AUC = 0.664; P < 0.0001) implied statistical associations with survival in the testing cohort. (B) Sex (AUC = 0.508; P = 0.880), age (AUC = 0.521; P = 0.695), serum AFP (AUC = 0.702; P < 0.0001), hepatitis history (AUC = 0.504; P = 0.940), cirrhosis (AUC = 0.491; _P_= 0.868), tumor multiplicity (AUC = 0.710; P < 0.0001), tumor size (AUC = 0.715; P = 0.002), differentiation (AUC = 0.612; P = 0.036) stage (AUC = 0.761; P < 0.0001), H3K27me3 expression (AUC = 0.719; P < 0.0001), vascular invasion (AUC = 0.757; P < 0.0001) and relapse (AUC = 0.712; P < 0.0001) were used to test the survival status in validation cohort.
Multivariate Cox Regression Analysis on the Two Independent Cohorts
Because variables observed to have prognostic influence by univariate analysis may covariate, the expression of H3K27me3 as well as other clinicopatho-logical parameters that were significant in both cohorts in univariate analysis (serum AFP levels, tumor size, multiplicity, clinical stage, vascular invasion and relapse) were examined in multivariate analysis (Table 3). In the testing cohort, the expression of H3K27me3 was found to be a significant independent prognostic factor for poor cancer-specific survival (hazard ratio, 1.904; 95% confidence interval [CI], 1.183–3.064, P = 0.008; Table 3). Similar results were also observed in our validation cohort (hazard ratio, 3.588; 95% CI, 1.135–11.350; P = 0.021; Table 3). Of other parameters, serum AFP and vascular invasion were evaluated as positive independent prognostic factors for patient survival in both cohorts.
Table 3 Cox Multivariate analyses of prognostic factors on overall survival.
Correlation between the Expression of H3K27me3 and EZH2 in HCC
In this study, of the 338 HCC cases in both cohorts, 296 (87.6%) of the cases had examined positive expression (>30% HCC cells with EZH2 positivity) of EZH2 (unpublished data). Further correlation analysis demonstrated a significant positive correlation between expression of H3K27me3 and EZH2 in HCCs, in which the frequency of cases with positive expression of EZH2 was significantly greater in carcinomas with a high expression of H3K27me3 (120 of 296 cases, 40.5%) than in those cases with a negative expression of EZH2 (8 of 42 cases, 19.0%; Fisher exact test, P = 0.005).
Discussion
Hepatocellular carcinoma is a common cancer worldwide and a major public health problem. Intrahepatic tumors spread through the portal vein system are the most crucial histological characteristics related to poor outcome in late-stage HCC (26). Although previous studies have unraveled many aberrantly expressed genes in HCC (27–29), the novel molecular markers that can identify tumor spread and aid risk assessment are urgently needed. In recent years, epigenetic modification has been identified as a crucial phenomenon in tumorigenesis (8). One such modification, the trimethylation of H3K27, is required for PRC2-mediated repression of various genes essential for cell proliferation, cell differentiation and tumor development (30,31). It has been suggested that maintenance of the H3K27me3 mark during cell division is pivotal for normal embryogenesis and cell identity (32). H3K27 methylation is a key epigenetic event that is involved in a diverse array of cellular processes and has been found to be correlated with the development and/or progression of human cancers (9). To the best of our knowledge, to date, no study has been performed to investigate the status of H3K27 trimethylation and its potential impact in HCC tumorigenesis. Here we present the results of the first large-scale study using high-throughput TMA and IHC to investigate the expression dynamics of H3K27me3 and its clinicopathological/prognostic significances in two large independent populations of HCC patients.
In this study, to assess the prognostic significance of H3K27me3 and avoid predetermined arbitrary cutpoints, we constructed X-tile plots for assessments of scores to divide H3K27me3 expression into two populations (that is, low-expression and high-expression groups), in which we corrected for the use of minimum P statistics by Miller-Siegmund _P_-value correction (20). Our results demonstrated that in the testing cohort, the frequency of high expression of H3K27me3 was significantly greater in HCC tissues than that in adjacent nontumorous liver tissues. Further correlation analysis in the testing cohort revealed that high expression of H3K27me3 in HCCs was associated closely with large tumor size, multiplicity, poor differentiation, late clinical stage and vascular invasion. A similar result was confirmed in our validation cohort. In addition, multivariate analyses in both cohorts revealed that H3K27me3 expression was a prognostic parameter independent of certain well-established clinical factors, including serum AFP levels, tumor size, multiplicity, clinical stage, vascular invasion and relapse. Taken together, our findings in this study provided evidence that upregulated expression of H3K27me3 in HCC may facilitate an increased malignant and/or worse prognostic phenotype of this tumor.
An interesting finding in our study was that HCC tissues with vascular invasion had more frequently overexpressed H3K27me3 compared with that in HCC tissues without vascular invasion. It is known that intrahepatic vascular invasion is the crucial pathological finding for late-stage HCC and is also a significant predictor for patient outcome. These data suggested that increased expression of H3K27me3 is an important factor related to the vascular invasive potential of HCC and thus contributes to a poor prognostic phenotype of the patient. It has been recently reported that methylation of H3K27 mediated by EZH2 was implicated in the aggressive phenotype of cancer cells through repression of a panel of tumor suppression genes (33,34), and the loss of function of these genes, in turn, may lock stem/precursor cells into abnormal clonal expansion, which begins a process of neoplastic initiation (35). We know that EZH2 may serve as a histone methyl transferase, and it mediates trimethylation of H3K27 (33). In our HCC cohorts in this study, we did observe a significant positive correlation between expression of H3K27me3 and EZH2, in which positive expression of EZH2 was significantly more frequently examined in HCCs with a high expression of H3K27 than in HCCs with a negative expression of EZH2. These data suggest that EZH2 might mediate trimethylation of H3K27 in HCCs. In addition, an imbalance of H3K27 methylation attributable to overexpression of EZH2 has been implicated in HCCs, and EZH2 has been found to play an important role in vascular invasion (12,13). These data, taken together, provide a possible explanation of why in the present study we frequently observed high H3K27me3 in HCC tissues with intrahepatic vascular invasion and synergized with overexpression of EZH2.
With regard to the prognostic impact of H3K27me3 in different human cancers, some of the reported data are totally contradictory. It was documented that loss expression of H3K27me3 was linked to poor prognosis of patients with breast, ovarian and pancreatic cancers (16). In esophageal carcinomas, however, we and other groups found that high expression of H3K27me3 was positively associated with high invasiveness and/or poor survival (18). Considering that the mechanism by which EZH2-mediated H3K27 methylation leads to gene silencing may vary among gene targets and among organisms (36), it is not very hard for us to understand that the function of H3K27me3 and its underlying mechanism(s) to impact cancer progression may be tumor-type specific. In the present study of two large cohorts of HCC patients, we did observe that high expression of H3K27me3 was a strong and independent predictor of short cancer-specific survival, as evidenced by Kaplan-Meier curves and multivariate Cox proportional hazards regression analysis. In addition, stage-matched survival analysis also demonstrated a worse prognostic impact of high expression of H3K27me3 in stage II HCC patients in both cohorts. Thus, the examination of H3K27me3 expression, by IHC, could be used as an additional effective tool in identifying those HCC patients at increased risk of tumor invasion and/or progression. This tool might also help the clinician to select a suitable therapy for the individual patient, for example, favoring a more aggressive treatment regimen in patients with tumors with a high expression of H3K27me3.
Disclosure
The authors declare that they have no competing interests as defined by Molecular Medicine, or other interests that might be perceived to influence the results and discussion reported in this paper.
References
- Ince N, Wands JR. (1999) The increasing incidence of hepatocellular carcinoma. N. Engl. J. Med. 340:798–9.
Article CAS Google Scholar - El-Serag HB, Mason AC. (1999) Rising incidence of hepatocellular carcinoma in the United States. N. Engl. J. Med. 340:745–50.
Article CAS Google Scholar - Hsu YC, Fu HH, Jeng YM, Lee PH, Yang SD. (2006) Proline-directed protein kinase FA is a powerful and independent prognostic predictor for progression and patient survival of hepatocellular carcinoma. J. Clin. Oncol. 24:3780–8.
Article CAS Google Scholar - Nagao T, et al. (1990) Postoperative recurrence of hepatocellular carcinoma. Ann. Surg. 211:28–33.
Article CAS Google Scholar - Mann CD, et al. (2007) Prognostic molecular markers in hepatocellular carcinoma: a systematic review. Eur. J. Cancer. 43:979–92.
CAS Google Scholar - Llovet JM, Bruix J. (2008) Novel advancements in the management of hepatocellular carcinoma in 2008. J. Hepatol. 48 Suppl 1:S20–37.
Article CAS Google Scholar - Llovet JM, et al. (2008) Design and endpoints of clinical trials in hepatocellular carcinoma. J. Natl. Cancer Inst. 100:698–711.
Article Google Scholar - Esteller M. (2008) Epigenetics in cancer. N. Engl. J. Med. 358:1148–59.
Article CAS Google Scholar - Strahl BD, Allis CD. (2000) The language of covalent histone modifications. Nature. 403:41–5.
Article CAS Google Scholar - Lund AH, van Lohuizen M. (2004) Epigenetics and cancer. Genes Dev. 18:2315–35.
Article CAS Google Scholar - Cao R, et al. (2002) Role of histone H3 lysine 27 methylation in Polycomb-group silencing. Science. 298:1039–43.
Article CAS Google Scholar - Sudo T, et al. (2005) Clinicopathological significance of EZH2 mRNA expression in patients with hepatocellular carcinoma. Br. J. Cancer. 92:1754–8.
Article CAS Google Scholar - Yonemitsu Y, et al. (2009) Distinct expression of polycomb group proteins EZH2 and BMI1 in hepatocellular carcinoma. Hum. Pathol. 40:1304–11.
Article CAS Google Scholar - Sasaki M, et al. (2008) The overexpression of polycomb group proteins Bmi1 and EZH2 is associated with the progression and aggressive biological behavior of hepatocellular carcinoma. Lab. Invest. 88:873–82.
Article CAS Google Scholar - Yu J, et al. (2007) A polycomb repression signature in metastatic prostate cancer predicts cancer outcome. Cancer Res. 67:10657–63.
Article CAS Google Scholar - Wei Y, et al. (2008) Loss of trimethylation at lysine 27 of histone H3 is a predictor of poor outcome in breast, ovarian, and pancreatic cancers. Mol. Carcinog. 47:701–6.
Article CAS Google Scholar - Tzao C, et al. (2009) Prognostic significance of global histone modifications in resected squamous cell carcinoma of the esophagus. Mod. Pathol. 22:252–60.
Article CAS Google Scholar - He LR, et al. (2009) Prognostic impact of H3K27me3 expression on locoregional progression after chemoradiotherapy in esophageal squamous cell carcinoma. BMC Cancer. 9:461.
Article Google Scholar - Yao JY, et al. H3K27 trimethylation is an early epigenetic event of p16INK4a silencing for regaining tumorigenesis in fusion reprogrammed hepatoma cells. _J. Biol. Chem._285:18828–37.
- Camp RL, Dolled-Filhart M, Rimm DL. (2004) X-tile: a new bio-informatics tool for biomarker assessment and outcome-based cut-point optimization. Clin. Cancer Res. 10:7252–9.
Article CAS Google Scholar - Gao Q, et al. (2007) Intratumoral balance of regulatory and cytotoxic T cells is associated with prognosis of hepatocellular carcinoma after resection. J. Clin. Oncol. 25:2586–93.
Article Google Scholar - Sobin LH, Fleming ID. (1997) TNM Classification of Malignant Tumors, fifth edition (1997). Union Internationale Contre le Cancer and the American Joint Committee on Cancer. Cancer. 80:1803–4.
Article CAS Google Scholar - Xie D, et al. (2003) Heterogeneous expression and association of beta-catenin, p16 and c-myc in multistage colorectal tumorigenesis and progression detected by tissue microarray. Int. J. Cancer. 107:896–02.
Article CAS Google Scholar - Cai MY, et al. (2010) Decreased expression of PinX1 protein is correlated with tumor development and is a new independent poor prognostic factor in ovarian carcinoma. Cancer Sci. 101:1543–9.
Article CAS Google Scholar - Raeside DE. (1976) Monte Carlo principles and applications. Phys. Med. Biol. 21:181–97.
Article CAS Google Scholar - Pan HW, et al. (2003) Overexpression of osteopontin is associated with intrahepatic metastasis, early recurrence, and poorer prognosis of surgically resected hepatocellular carcinoma. Cancer. 98:119–27.
Article CAS Google Scholar - Moradpour D, Wands JR. (1994) The molecular pathogenesis of hepatocellular carcinoma. J. Viral Hepat. 1:17–31.
Article CAS Google Scholar - Tabor E. (1994) Tumor suppressor genes, growth factor genes, and oncogenes in hepatitis B virus-associated hepatocellular carcinoma. J. Med. Virol. 42:357–65.
Article CAS Google Scholar - Hui AM, Makuuchi M, Li X. (1998) Cell cycle regulators and human hepatocarcinogenesis. Hepatogastroenterology. 45:1635–42.
CAS PubMed Google Scholar - Lee TI, et al. (2006) Control of developmental regulators by Polycomb in human embryonic stem cells. Cell. 125:301–13.
Article CAS Google Scholar - Margueron R, Trojer P, Reinberg D. (2005) The key to development:interpreting the histone code? Curr. Opin. Genet. Dev. 15:163–76.
Article CAS Google Scholar - Hansen KH, et al. (2008) A model for transmission of the H3K27me3 epigenetic mark. Nat. Cell Biol. 10:1291–300.
Article CAS Google Scholar - Tonini T, D’Andrilli G, Fucito A, Gaspa L, Bagella L. (2008) Importance of Ezh2 polycomb protein in tumorigenesis process interfering with the pathway of growth suppressive key elements. J. Cell. Physiol. 214:295–300.
Article CAS Google Scholar - Schlesinger Y, et al. (2007) Polycomb-mediated methylation on Lys27 of histone H3 pre-marks genes for de novo methylation in cancer. Nat. Genet. 39:232–6.
Article CAS Google Scholar - Widschwendter M, et al. (2007) Epigenetic stem cell signature in cancer. Nat. Genet. 39:157–8.
Article CAS Google Scholar - Cao R, Zhang Y. (2004) The functions of E(Z)/EZH2-mediated methylation of lysine 27 in histone H3. Curr. Opin. Genet. Dev. 14:155–64.
Article CAS Google Scholar




