Differential binding of chemokines to macrophages and neutrophils in the human inflamed synovium (original) (raw)
Abstract
In chronic inflammatory foci, such as the rheumatoid joint, there is enhanced recruitment of phagocytes from the blood into the tissues. Chemokines are strongly implicated in directing the migration of these cells, although little is known regarding the chemokine receptors that could mediate their chemotaxis into the joint tissue. Therefore the objective of the study was to identify chemokine binding sites on macrophages and neutrophils within the rheumatoid synovium using radiolabeled ligand binding and in situ autoradiography. Specific binding sites for CCL3 (macrophage inflammatory protein-1α), CCL5 (RANTES), CCL2 (monocyte chemoattractant protein-1) and CXCL8 (IL-8) were demonstrated on CD68+ macrophages in the subintimal and intimal layers. The number and percentage of intimal cells that bound chemokines were greater in inflamed regions compared to noninflamed regions. The intensity of intimal binding varied between chemokines with the rank order, CCL3 > CCL5 > CCL2 > CXCL8. Neutrophils throughout the synovium bound CXCL8 but did not show any signal for binding CCL2, CCL3 or CCL5.
Immunohistochemistry showed that both CXCR1 and CXCR2 are expressed by macrophages and neutrophils in the rheumatoid and nonrheumatoid synovia, suggesting that both of these receptors are responsible for the CXCL8 binding. The chemokine binding sites described on phagocytes may be involved in the migration of these cells into the inflamed joint.
Similar content being viewed by others
Introduction
Rheumatoid arthritis (RA) is a chronic inflammatory disease of the synovial joints, which can result in articular cartilage and bone destruction, leading to significant disability. Central pathophysiological features of the disease occur in the synovium, with thickening of the lining layer (or intima) and infiltration of the sublining layer, mainly by macrophages and lymphocytes [1]. In addition, the fluid-filled joint cavity contains numerous neutrophils, particularly during acute flares of RA [2].
The normal intima of the synovium is one to two cells thick and consists mainly of macrophage-like and fibroblast-like cells [3]. In inflammation, macrophages make a large contribution to intimal thickening, where these cells increase in number and proportion [3]. Evidence indicates that intimal macrophages arrive via the circulation as monocytes [4], and it is proposed that increased numbers of intimal macrophages in RA are largely attributed to enhanced monocyte recruitment from blood vessels in the synovium [1, 5]. Neutrophils are also recruited in RA and can be found in abundance in synovial fluid, yet they occur in relatively low numbers in the synovium [5]. In synovial fluid their number can reach 106 per joint, particularly during an active phase of the disease [6]. Neutrophils occur at the pannus-cartilage junction [7] and it is presumed that these cells reach the joint cavity by migrating from the blood vessels in the synovium, following a chemotactic gradient.
Chemokines are a family of proinflammatory cytokines, which are strongly implicated in inducing migration of leukocytes from the blood into inflammatory lesions. Evidence has accumulated to suggest that chemokines, such as CXCL8 (IL-8), CXCL5 (epithelial cell-derived neutrophil-activating protein), CCL2 (monocyte chemoattractant protein-1), CCL3 (macrophage inflammatory protein-1α) and CCL5 (RANTES), direct the migration of leukocytes into the RA synovium and joint fluid [8]. Chemokines occur in significantly elevated levels in human RA synovial fluid, where they are biologically active, and are expressed by cells of the synovium and cartilage. Tumour necrosis factor-α blockade reduces synovial expression of CCL2 and CXCL8 and reduces inflammatory cell migration into RA joints [9]. In addition, these chemokines, produced by RA synovial stromal cells, have been shown to stimulate monocyte migration [10]. The functional importance of chemokines in joint inflammation has also been established in animal models of RA where antibodies to these mediators significantly reduce both the number of leukocytes recruited and the severity of disease. In addition, administration of chemokines to the joints of animal models results in inflammation and leukocyte recruitment.
The biological effects of chemokines are mediated by binding to G-protein-coupled, seven transmembrane domain, chemokine receptors [11]. CC receptors (CCR) bind members of the class of chemokines with two adjacent cysteine (C) residues near the NH2-terminus (CC; e.g. CCL2, CCL3 and CCL5) and CXC receptors (CXCR) bind members of the class of chemokines with C separated by an amino acid defined as X (CXC; e.g. CXCL5 and CXCL8). There have been some reports on the expression of such receptors on T cells in synovial tissue and fluid [12–16]. Little is known about the expression of chemokine receptors on phagocytes in the human RA synovium. One recent study has shown the protein expression of several chemokine receptors on monocytes/macrophages in RA blood, synovium and synovial fluid [17]. The aim of the present study, therefore, was to examine the expression of in situ chemokine binding sites on macrophages and neutrophils that could mediate the migration of these cells into the inflamed synovium.
Materials and methods
Tissue source
Tissue samples were obtained from patients with RA (n = 6) who fulfilled the American Rheumatism Association criteria for RA (Supplementary Table 1). Synovia were taken from these subjects at total knee replacement (patients 1, 3–5) or knee synovectomy operations (patients 2 and 6). Non-RA patients (n = 6) had knee joint symptoms for suspected articular cartilage, meniscal or anterior cruciate ligament damage (patients 7–12). Knee joint synovial biopsies were obtained from these non-RA individuals, with informed consent, at arthroscopy. For RA and non-RA patients, samples were taken from the suprapatel-lar pouch and medial gutter, which is reported to provide representative sampling of synovial membrane pathology [18].
Supplementary Table 1 Details of RA and non-RA patients
In situ binding autoradiography
The method of Hub and Rot [19] was followed, with minor modifications (see Supplementary Material).
Identification of macrophages and neutrophils
Representative sections of synovia that had been incubated with 125I-labeled chemokines were immunostained for CD68 as a marker for macrophages. Slides were deparafinized, rehydrated and treated with 1% pronase for seven minutes at room temperature. Following blocking of endogenous peroxidase, sections were treated with normal horse serum and incubated with 2.5 μg/ml anti-CD68 monoclonal antibody (PG-M1, Dako A/S, Glostrup, Denmark) in PBS/normal horse serum. The bound antibody was detected using biotinylated second antibody, avidin-peroxidase conjugate and diaminobenzidine substrate (Vectastain ABC Elite Kit; Vector Labs, Burlingame, USA). Slides were then coated with emulsion, exposed, developed and stained in haematoxylin, as for in situ binding autoradiography.
Neutrophils were identified by their characteristic multi-lobed nuclei in haematoxylin and eosin stained sections.
Immunohistochemistry of CXCR1 and CXCR2
Synovial samples that had been examined for chemokine binding were also sectioned and incubated with rabbit polyclonal antibodies to the carboxy termini of CXCR1 and CXCR2 (both from Santa Cruz Biotechnology, Santa Cruz, USA) [20]. Antibody binding was detected using an immunoperoxidase method (Vectastain ABC Elite Kit; Vector Labs, Burlingame, USA). See Supplementary Material for more detailed methods.
Quantitation of synovial sections
See Supplementary Material.
Results
Tissue sampling
In all six RA subjects the histological appearance of synovia showed classic inflammatory pathology with mononuclear cell infiltrates and a thickened intimal layer. In two of these individuals a minority of synovial samples also showed microscopically normal regions with minimal infiltration of inflammatory cells and an intimal layer of normal thickness (one to two cells thick). The synovia of the six non-RA patients showed inflamed and noninflamed regions. These inflamed regions displayed intimal layer thickening and some infiltration of mononuclear cells, although not as severe as in RA samples, and noninflamed sites showed a normal intimal layer and no leukocyte infiltrates.
Chemokine binding to macrophages
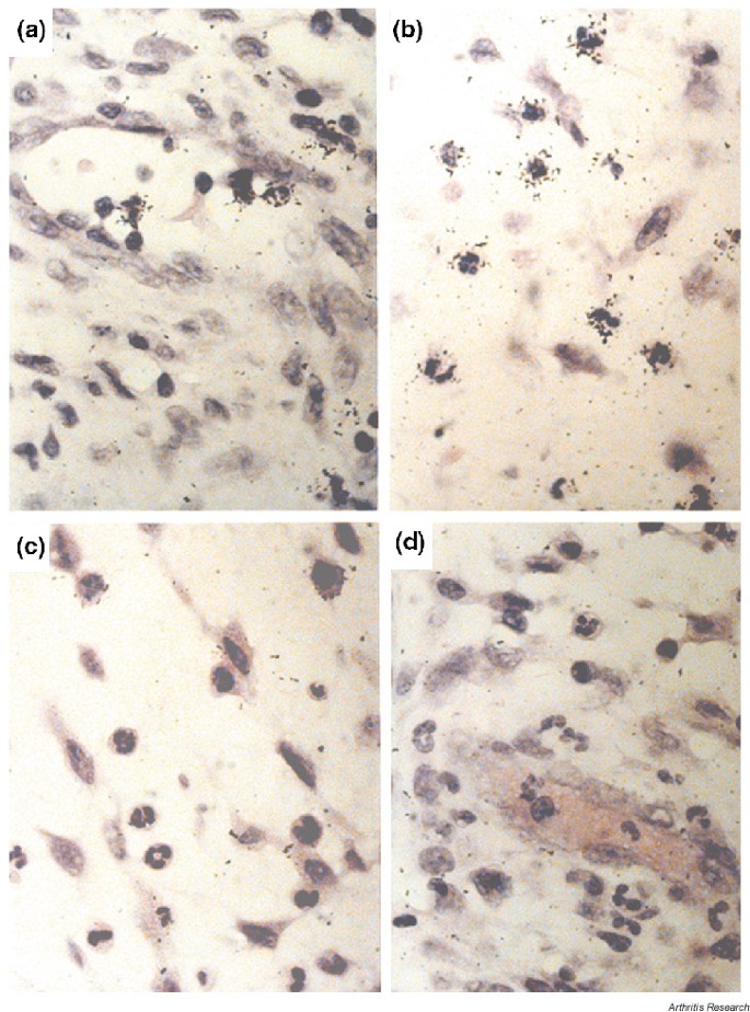
To examine in situ binding of chemokines, synovia were treated with 125I-CXCL8, 125I-CCL2, 125I-CCL3 and 125I-CCL5 followed by autoradiogaphy. For direct comparison, each chemokine was added at the same specific radioactivity and concentration, and autoradiography was performed for an identical exposure time. All four chemokines bound to synovial tissue cells in the subintima and the intima in every RA and non-RA individual (Supplementary Fig. 1a for CCL5). Radiolabelled chemokine binding was absent in synovia treated with 1000-fold excess homologous non-radiolabelled chemokine, indicating that the binding sites were specific (Supplementary Fig. 1b). Histological examination indicated that macrophages accounted for a high proportion of the chemokine binding, so to confirm this observation, representative sections were immunostained with CD68 as a marker of monocytes/macrophages, then processed for autoradiogaphy. All four chemokines bound to CD68+ cells in the subintima in every RA and non-RA synovial sample. No major differences in chemokine binding were apparent between the six RA patients, despite variation in disease duration and drug treatment (Supplementary Table 1). The positive cells were located close to blood vessels in leukocyte infiltrates and non infiltrated sites, and in more remote sites within the subintimal stroma (Fig. 1). In addition CD68+ macrophages bound all four chemokines in the intimal layer of inflamed (Fig. 1) and noninflamed samples. In control experiments there was no immunostaining when isotype-matched control mouse IgG was used instead of the anti-CD68 antibody.
Figure 1
Chemokine binding to CD68+ monocyte/macrophages (red) in the synovium. (a) CCL5 binding to CD68+ cells around a venule in the subintima of inflamed, nonrheumatoid synovium. (b) CXCL8 (IL-8) binding to macrophages in a macrophage-rich infiltrate in rheumatoid tissue. (c) CXCL8 binding to macrophages in a lymphocyte-rich infiltrate in rheumatoid synovium. (d) CCL3 (macrophage inflammatory protein-1α) binding to macrophages in the inflamed intimal layer of rheumatoid synovium. Magnification × 470 (a)–(d).
Supplementary Figure 1
In situ receptor autoradiography showing chemokine binding to the inflamed nonrheumatoid synovium. (a) Samples of tissue were incubated with 125I-CCL5 and subjected to autoradiography. The chemokine binds to cells in the intima (I) and the subintima (S). (b) Samples incubated with radiolabelled chemokine in the presence of 1000-fold excess homologous unlabelled chemokine show an absence of chemokine binding. Magnification × 470 (a) and (b).
Quantitation of intimal binding
The number of intimal cells that bound chemokines were counted and the results for RA and non-RA patients were expressed as means (Table 1). There was a significant increase of chemokine-positive cells in inflamed intima compared to noninflamed intima, for both RA and non-RA synovia. The number of positive cells varied between chemokines and in RA tissue the rank order was, CCL3 > CCL5 > CCL2 > CXCL8. In non-RA tissue the order was, CCL3 > CCL5 > CXCL8 > CCL2. The number of CCL3 and CCL5 positive intimal cells did not differ between RA and non-RA tissue. However, the number of intimal cells binding CCL2 in RA was greater than non-RA synovium. In addition, there were more cells binding CXCL8 in inflamed, non-RA intima compared to inflamed RA tissue.
Table 1 The number of cells binding chemokines per 500 μm of intima
Data were also expressed as the percentage of intimal cells binding chemokines (Supplementary Table 2). Similar results to data expressed as the number of cells binding chemokines were obtained (Table 1 and Supplementary Table 2). In both RA and non-RA synovia there was a significantly higher percentage of positive cells in inflamed compared to noninflamed intima. The rank order of chemokine binding was almost identical whether the data were expressed as percentage or number of cells binding chemokines. In the cases of CCL2, CCL3 and CCL5 there were no differences in the percentages of positive cells between RA and non-RA tissue. A higher percentage of cells, however, bound CXCL8 in non-RA inflamed intima compared to RA inflamed intima.
Supplementary Table 2 Percentage of intimal cells binding chemokines per 500 μm of intima
Chemokine binding to neutrophils
Neutrophils were present in the synovia of four out of the six RA patients, but they were less abundant than mononuclear cells. Neutrophils were absent in non-rheumatoid synovia. Neutrophils were positive for 125I-CXCL8 binding (Fig. 2) which was displaced in the presence of 1000-fold excess non-radiolabelled chemokine. These cells bound IL-8 in all locations within the synovium: within blood vessels; close to blood vessels in the extravascular tissue; and close to (or at) the intimal surface. Neutrophils did not show any signal for binding CCL2, CCL3 and CCL5 (Fig. 2). No major differences in neutrophil chemokine binding were apparent between the four patients who had these cells in their synovia.
Figure 2
Chemokine binding to neutrophils in rheumatoid synovia. (a) CXCL8 binds to marginated neutrophils within a blood vessel. (b) CXCL8 binds to neutrophils in the subintimal tissue. There was a lack of binding of CCL5 (c) and CCL3 (d) to neutrophils in the subintima. Magnification × 470 (a)–(d).
Immunolocalisation of CXCR1 and CXCR2
To define the molecular identity of the 125I-CXCL8 binding sites on synovial macrophages and neutrophils, immunohistochemistry was performed to examine expression of CXCR1 and CXCR2 by these cells. Sections from the same blocks of synovia used for radiolabelled chemokine binding were treated with antibodies to CXCR1, CXCR2 and CD68. Samples from every RA and non-RA patient showed expression of both CXCR1 and CXCR2 by macrophages in the subintima and intima (Supplementary Fig. 2 and Fig. 3). Similarly, in RA samples that possessed neutrophils, immunoreative CXCR1 and CXCR2 was displayed by these cells throughout the subintimal and intimal layers; the staining intensity for CXCR2 was more strong than for CXCR1 (Fig. 3c). Sections treated with rabbit IgG instead of CXCR1 or CXCR2 were negative for macrophage and neutrophil staining (Fig. 3d).
Figure 3
Immunohistochemistry of CXCR2 in the synovium using immunoperoxidase and diaminobenzidine (brown) staining. (a) Section of rheumatoid synovium treated with a CXCR2 antibody. CXCR2 is expressed on macrophages in the intima. (b) Adjacent section to (a) treated with an anti-CD68 antibody. (c) CXCR2 is present in neutrophils in the rheumatoid synovium. (d) There was a lack of staining when sections were incubated with rabbit IgG instead of CXCR1 or CXCR2. Magnification × 380 (a), (b) and (d); magnification × 470 (c).
Supplementary Figure 2
CXCR1 immunohistochemistry of the synovium using immunoperoxidase and diaminobenzidine (brown) staining. (a) Section of a macrophage-rich infiltrate in a rheumatoid synovium treated with a CXCR1 antibody. (b) Adjacent section to (a) treated with an anti-CD68 antibody as a macrophage marker. Note the presence of CXCR1 on macrophages. Magnification × 380 (a) and (b).
Discussion
The results of the present study show the presence of chemokine binding sites on macrophages and neutrophils in the RA synovium. These sites were evident around blood vessels of the subintima, throughout the subintimal stroma and in the intima. In RA there is increased recruitment of monocytes, which migrate into the synovial subintima and to the intima, presumably following a chemotactic gradient [3]. The increase in synovial macrophage numbers is mainly due to enhanced recruitment since there appears to be little contribution from in situ proliferation of these cells [21], although deficient apoptosis may have an effect on increasing cell number [1]. There is also increased recruitment of neutrophils in RA, migrating from subintimal venules, across the synovium and into the synovial fluid where they can occur in large numbers. The binding of CCL2, CCL3, CCL5 and CXCL8 to macrophages and CXCL8 binding to neutrophils suggests that these receptors may be involved in signaling the migration of the phagocytes through the RA synovium into tissue microcompartments and fluid.
The finding that the proportion and percentage of chemokine binding sites on macrophages increases in the inflamed intima of RA and non-RA synovia suggests that these receptors may function in chronic severe synovitis in RA and more mild synovitis associated with joint damage/ degeneration in non-RA pathology. In the cases of CCL2, CCL3 and CCL5 there were no differences in the percentage of chemokine-positive cells in inflamed regions of the RA and non-RA intima. However, there were fewer CXCL8 positive cells in the inflamed RA intima than in the inflamed non-RA intima. The RA synovia were obtained from patients with long-standing disease whereas the non-RA samples were essentially from patients with joint symptoms of shorter duration (Supplementary Table 1). One explanation is that there may be temporal changes in chemokine receptor expression, which could explain this difference between RA and non-RA CXCL8 binding. In this respect, temporal changes in chemokine expression have been reported in human RA and an animal model of RA [22, 23]. Alternatively the difference in CXCL8 binding could relate to variation in inflammatory mechanisms or a response to drug treatment in the RA group.
The present experimental approach was taken with the aim of finding out if receptors on phagocytes bind chemokines in situ, and showed that the receptors are available and functional in terms of binding chemokines. Our results agree with in situ studies in human skin, where macrophages also express binding sites for radiolabelled CCL3, CCL5 and CXCL8 [24, 25]. The disadvantage with the radioligand technique is the lack of definition regarding the molecular nature of the receptors. In contrast, immunohistochemistry or flow cytometry have the advantage of molecular identification, but can not show definitively if the receptors bind ligands. Immunohistochemistry showed that both CXCR1 and CXCR2 were expressed by synovial macrophages and neutrophils, suggesting that the CXCL8 binding sites on these cells were CXCR1 and CXCR2.
A recent immunohistochemical study has shown the presence of CCR1, CCR2 and CCR5 on CD68+ macrophages in the RA synovium, but not CCR4 [17]. Since CCL2 is a ligand for CCR2, and both CCL3 and CCL5 are ligands for both CCR1 and CCR5 [11], these receptors are probably the CC chemokine binding sites on the macrophages in the present study. The lack of CCL2, CCL3 and CCL5 binding to synovial neutrophils suggests little or no expression of the corresponding CC chemokine receptors on these cells. This is in agreement with other studies showing lack of CCL2 binding to blood neutrophils and general lack of chemotactic response of these cells to CC chemokines [26], although recent reports indicate that neutrophils, in response to certain cytokines, are capable of expressing CC chemokine receptors [27, 28].
Conclusion
This study demonstrates the expression of available chemokine binding sites for CCL2, CCL3, CCL5 and CXCL8 on CD68+ macrophages in the subintimal and intimal layers of rheumatoid and nonrheumatoid synovia. Chemokine binding sites for CXCL8, but not for CCL2, CCL3 or CCL5, were found on neutrophils in the rheumatoid synovium. These receptors may mediate the recruitment of phagocytes to the subintima, intima or synovial fluid and could provide potential therapeutic targets.
Supplementary material
Supplementary Materials and methods
In situ binding autoradiography
Synovia were cut into approximately 2 mm3 pieces. Four samples were placed in tubes containing 0.1 to 4.0 ng of recombinant human 125I-labeled (rh 125I)-CXCL8 (Mr = 8400), rh 125I-CCL5 (Mr = 8000), rh 125I-CCL2 (Mr = 8800) or rh 125 I-CCL3 (Mr = 8000) (262 μCi/μg; NEN, Boston, USA) in 400 μl Hank's balanced salt solution containing 0.1% bovine serum albumin and 20 mM HEPES. The samples were then incubated for one hour at room temperature on a platform shaker [19]. In these experiments, synovial samples from each patient were treated with each of the four chemokines. Initial experiments showed that binding sites were saturable over this concentration range and the optimum binding/background ratio was obtained using 0.8 ng of chemokine; this amount was used in all the subsequent experiments. Control tubes contained 1000-fold excess of the corresponding unlabeled recombinant human chemokine (molecular mass as for radiolabelled chemokines) (PeproTech EC, London, UK; CXCL8 was kindly donated from Novartis Research Institute, Vienna, Austria). The tissue was washed four times for 10 min in 2 ml Hank's balanced salt solution on a platform shaker, then fixed overnight in 4% paraformaldehyde. It was then dehydrated in alcohol, embedded in fibrowax and sectioned at 5 μm thickness. Sections were deparafinized, rehydrated, air-dried and coated with Amersham LM1 emulsion (Amersham Pharmacia Biotech, Little Chalfont, UK). The slides were exposed at 4°C for two weeks, developed and stained in haematoxylin and eosin.
Immunohistochemistry for CXCR1 and CXCR2
Sections were deparafinized, rehydrated and in the case of CXCR1 pre-treated with 1% pronase for 10 min to unmask epitopes. Following blocking of endogenous peroxidase with 0.3% hydrogen peroxide in methanol for 30 min, slides were rinsed in PBS and treated with a 1/60 dilution of normal goat serum for 30 min. Sections were rinsed in PBS, incubated with CXCR1 or CXCR2 antibodies (at 1/50 and 1/500 dilution respectively) or rabbit IgG (at the same concentration as primary antibodies) for 30 min. After washing with PBS, the antibodies were detected using reagents in the Vectastain ABC Elite Kit (Vector Labs, Burlingame, USA); the sections were treated with biotinylated goat anti-rabbit IgG (at 1/200 dilution) for 30 min, rinsed with PBS, incubated with streptavidin-conjugated peroxidase for 30 min, washed with PBS, then treated with the chromogen 3,3'-diaminobenzidine for 5 min. Sections were washed twice in PBS then water, dried and counter-stained in Mayer's haematoxylin. All steps in the method were carried out at room temperature.
Quantitation of synovial sections
Sections were used from in situ binding autoradiography experiments and were quantitated blind by one observer. The sample length was 280 μm of synovial intima, the width of a field of view using a ×63 objective lens on a Nikon diaplan light microscope. Intimal cells were scored as being positive for chemokine binding when the autoradiographic signal was greater than that of the adjacent background. The number of positive and negative cells were counted visually in three sample lengths per section (i.e. 840 μm). The number of sections per patient was four, giving a total of 3360 μm of intima measured per patient. The intima was noted as being normal where it was one to two cells thick, and inflamed where greater than two cells thick. All cells were counted except neu-trophils, which only comprised <1% of all cells sampled.
From these data, the number and percentage of positive cells in the intimal samples were obtained and expressed per 500 μm of intima. Statistical analyses were by Student's _t_-test, The result was significant when P < 0.05.
Supplementary Discussion
The functional role of chemokine receptors in inflammatory cell recruitment is suggested from animal models of RA. Using the CC chemokine receptor antagonist MCP-1(9–76), a truncated analogue peptide corresponding to MCP, markedly reduces joint histopathology and symptoms in the MRL-lpr mouse model [S1]. The CC receptor antagonist MetRANTES decreased the incidence and severity of arthritis in mouse collagen-induced arthritis [S2]. With both antagonists, mononuclear infiltration is reduced.
CCL2, CCL3, CCL5 and CXCL8 occur in human RA synovial fluid and tissue [8]. Therefore the ligands for the binding sites described here occur endogenously within the RA joint, adding further evidence towards a role for these receptors in vivo. In the RA joint the synovial macrophage is among the principle cell types that produce CCL2, CCL3 and CXCL8 [8, 17]. The finding of chemokine receptors on these cells suggests that macrophages may amplify inflammation by attracting cells of the same type, and other cell types, into the joint thereby setting up a positive feedback loop. Similar mechanisms may also be occurring with neutrophils, since in the RA joint these cells produce CXCL8 [S3] and express CXCL8 binding sites.
Abbreviations
CC:
chemokine with two adjacent cysteine (C) residues near the NH2-terminus
CCR:
CC chemokine receptor
CXC:
chemokine with C separated by an amino acid defined as X
CXCR:
CXC chemokine receptor
IL:
interleukin
PBS:
phosphate-buffered saline
RA:
rheumatoid arthritis
RANTES:
regulated on activation normal T cell expressed and secreted
rh:
recombinant human.
References
- Firestein GS: Rheumatoid synovitis and pannus. In Rheumatology. Edited by: Klippel JH, Dieppe PA. 1998, London: Mosby, 1-13.
Google Scholar - Edwards SW, Hallet MB: Seeing the wood from the trees: the forgotten role of neutrophils in rheumatoid arthritis. Immunol Today. 1997, 18: 320-324. 10.1016/S0167-5699(97)01087-6.
Article CAS Google Scholar - Edwards JCW: The synovium. In Rheumatology. Edited by: Klippel JH, Dieppe PA. 1998, London: Mosby, 1-6.
Google Scholar - Edwards JCW, Willoughby DA: Demonstration of bone marrow derived cells in synovial lining by means of giant intracellular granules as genetic markers. Ann Rheum Dis. 1982, 41: 177-182.
Article CAS Google Scholar - Athanasou NA: Synovial macrophages. Ann Rheum Dis. 1995, 54: 392-394.
Article CAS Google Scholar - Hollingsworth JW, Siegel ER, Creasey WA: Granulocyte survival in synovial exudate of patients with rheumatoid arthritis and other inflammatory joint diseases. Yale J Biol Med. 1967, 39: 289-296.
CAS PubMed PubMed Central Google Scholar - Mohr W, Menninger H: Polymorphonuclear granulocytes at the pannus-cartilage junction in rheumatoid arthritis. Arthritis Rheum. 1980, 23: 1413-1414.
Article CAS Google Scholar - Szekanecz Z, Strieter RM, Kunkel SL, Koch AE: Chemokines in rheumatoid arthritis. Springer Semin Immunopathol. 1998, 20: 115-132.
Article CAS Google Scholar - Taylor PC, Peters M, Paleolog E, Chapman PT, Elliot MJ, McCloskey R, Feldman M, Maini RN: Reduction of chemokine levels and leukocyte traffic to joints by tumor necrosis factor α blockade in patients with rheumatoid arthritis. Arthritis Rheum. 2000, 43: 38-47. 10.1002/1529-0131(200001)43:1<38::AID-ANR6>3.0.CO;2-L.
Article CAS Google Scholar - Hayashida K, Nanki T, Girschick H, Yavuz S, Ochi T, Lipsky P: Synovial stromal cells from the rheumatoid arthritis patients attract monocytes by producing MCP-1 and IL-8. Arthritis Res. 2001, 3: 118-126. 10.1186/ar149.
Article CAS Google Scholar - Horuk R: Chemokine receptors. Cytokine Growth Factor Rev. 2001, 12: 313-335. 10.1016/S1359-6101(01)00014-4.
Article CAS Google Scholar - Loetscher P, Uguccioni M, Bordoli L, Baggiolini M, Moser B, Chizzolini C, Dayer J-M: CCR5 is characteristic of Th1 lymphocytes. Nature. 1998, 391: 344-345. 10.1038/34814.
Article CAS Google Scholar - Mack M, Bruhl H, Gruber R, Jaeger C, Cihak J, Eiter V, Plachy J, Stangassinger M, Uhlig K, Schattenkirchner M, Schlondorff D: Predominance of mononuclear cells expressing the chemokine receptor CCR5 in synovial effusions of patients with different forms of arthritis. Arthritis Rheum. 1999, 42: 981-988. 10.1002/1529-0131(199905)42:5<981::AID-ANR17>3.0.CO;2-4.
Article CAS Google Scholar - Buckley CD, Amft N, Bradfield PE, Pilling D, Ross E, Arenzanaseisdedos F, Amara A, Curnow SJ, Lord JM, Scheel-Toellner D, Salmon M: Persistent induction of the chemokine receptor CXCR4 by TGF-1 on synovial T cells contributes to their accumulation within the rheumatoid synovium. J Immunol. 2000, 165: 3423-3429.
Article CAS Google Scholar - Nanki T, Hayashida K, El-gabalawy HS, Suson S, Shi K, Girschick HJ, Yavuz S, Lipsky PE: Stromal cell-derived factor-1-CXC chemokine receptor 4 interactions play a central role in CD4+ T cell accumulation in rheumatoid arthritis synovium. J Immunol. 2000, 165: 6590-6598.
Article CAS Google Scholar - Nanki T, Lipsky PE: Cytokine, activation marker, and chemokine receptor expression by individual CD4+ memory cells in rheumatoid arthritis synovium. Arthritis Res. 2000, 2: 415-423. 10.1186/ar120.
Article CAS Google Scholar - Katschke KJ, Rottman JB, Ruth JH, Qin S, Wu L, LaRosa G, Ponath P, Park CC, Pope RM, Koch AE: Differential expression of chemokine receptors on peripheral blood, synovial fluid, and synovial tissue monocytes/macrophages in rheumatoid arthritis. Arthritis Rheum. 2001, 44: 1022-1032. 10.1002/1529-0131(200105)44:5<1022::AID-ANR181>3.3.CO;2-E.
Article CAS Google Scholar - Kirkham B, Portek I, Lee CS, Stavros B, Lenarczyk A, Lassere M, Edmonds J: Intraarticular variability of synovial membrane histology, immunohistology, and cytokine mRNA expression in patients with rheumatoid arthritis. J Rheumatol. 1999, 26: 777-784.
CAS PubMed Google Scholar - Hub E, Rot A: Methods for study of chemokine receptors in the tissues. Methods. 1996, 10: 119-125. 10.1006/meth.1996.0085.
Article CAS Google Scholar - Addison CL, Daniel TO, Burdick MD, Liu H, Ehlert JE, Xue YY, Buechi L, Walz A, Richmond A, Strieter RM: The CXC chemokine receptor 2, CXCR2, is the putative receptor for ELR+ CXC chemokine-induced angiogenic activity. J Immunol. 2000, 165: 5269-5277.
Article CAS Google Scholar - Ceponis A, Kontinnen YT, Imai S, Tamulaitiene M, Li TF, Xu JW, Hietanen J, Santavirta S, Fassbender HG: Synovial lining, endothelial and inflammatory mononuclear proliferation in synovial membranes in psoriatic and reactive arthritis: a comparative quantitative morphometric study. Br J Rheumatol. 1998, 37: 170-178. 10.1093/rheumatology/37.2.170.
Article CAS Google Scholar - Szekanecz Z, Halloran MM, Volin M, Woods JM, Strieter RM, Haines K, Kunkel S, Burdick MD, Koch AE: Temporal expression of inflammatory cytokines and chemokines in rat adjuvant-induced arthritis. Arthritis Rheum. 2000, 43: 1266-1277. 10.1002/1529-0131(200006)43:6<1266::AID-ANR9>3.0.CO;2-P.
Article CAS Google Scholar - Katrib A, Tak PP, Bertouch JV, Cuello C, McNeil HP, Smeets TJM, Kraan MC, Youssef PP: Disease duration and the expression of chemokines and matrix metalloproteinases in rheumatoid arthritis. Arthritis Rheum. 2000, 43 (suppl): S84-
Google Scholar - Rot A: Binding of neutrophil attractant/activation protein-1 (interleukin-8) to resident dermal cells. Cytokine. 1992, 4: 347-352.
Article CAS Google Scholar - Hub E, Rot A: Binding of RANTES, MCP-1, MCP-3 and MIP-1α to cells in human skin. Am J Pathol. 1998, 152: 749-757.
CAS PubMed PubMed Central Google Scholar - Baggiolini M, Dewald B, Moser B: Interleukin-8 and related chemotactic cytokines – CXC and CC chemokines. Adv Immunol. 1994, 55: 97-179.
Article CAS Google Scholar - Bonecchi R, Polentarutti N, Luini W, Borsatti A, Bernasconi S, Locati M, Power C, Proudfoot A, Wells TNC, Mackay C, Mantovani A, Sozzano S: Up-regulation of CCR1 and CCR3 and induction of chemotaxis to CC chemokines by IFN-γ in human neutrophils. J Immunol. 1999, 162: 474-479.
CAS PubMed Google Scholar - Cheng SS, Lai JJ, Lukacs NW, Kunkel SL: Granulocyte-macrophage colony stimulating factor up-regulates CCR1 in human neutrophils. J Immunol. 2001, 166: 1178-1184.
Article CAS Google Scholar
Supplementary References
- Gong J-H, Ratkay LG, Waterfield JD, Clark-Lewis I: An antagonist of monocyte chemoattractant protein 1(MCP-1) inhibits arthritis in the MRL-lpr mouse model. J Exp Med. 1997, 186: 131-137. 10.1084/jem.186.1.131.
Article CAS Google Scholar - Plater-Zyberk C, Hoogewerf AJ, Proudfoot AEI, Power CA, Wells TNC: Effect of a CC chemokine receptor antagonist on collagen induced arthritis in DBA/1 mice. Immunol Lett. 1997, 57: 117-120. 10.1016/S0165-2478(97)00075-8.
Article CAS Google Scholar - Beaulieu A, McColl S: Differential expression of two major cytokines produced by neutrophils, interleukin-8 and the interleukin-1 receptor antagonist, in neutrophils isolated from synovial fluid and peripheral blood of patients with rheumatoid arthritis. Arthritis Rheum. 1994, 37: 855-859.
Article CAS Google Scholar
Acknowledgments
We gratefully acknowledge funding from the Droitwich Medical Trust and Smith's Charity, UK. We wish to thank the following surgeons for their assistance in obtaining synovia: Mr C McGeoch, Mr D Rees, Mr L van Niekerk and Mr S White. Acknowledgement is given to P Evans, N Harness, M Pritchard and L Shaw for histological expertise. This work was undertaken by the Robert Jones and Agnes Hunt Orthopaedic and District Hospital NHS Trust, which receives a proportion of its funding from the NHS Executive. The views expressed in this publication are those of the authors.
Author information
Authors and Affiliations
- Leopold Muller Arthritis Research Centre, Centre for Science and Technology in Medicine, Keele University at Robert Jones and Agnes Hunt Orthopaedic Hospital, Oswestry, Shropshire, UK
Angela M Patterson, Caroline Schmutz, Scott Davis, Lucy Gardner, Brian A Ashton & Jim Middleton
Authors
- Angela M Patterson
- Caroline Schmutz
- Scott Davis
- Lucy Gardner
- Brian A Ashton
- Jim Middleton
Corresponding author
Correspondence toJim Middleton.
Rights and permissions
This article is licensed under a Creative Commons Attribution 4.0 International License, which permits use, sharing, adaptation, distribution and reproduction in any medium or format, as long as you give appropriate credit to the original author(s) and the source, provide a link to the Creative Commons licence, and indicate if changes were made. The images or other third party material in this article are included in the article's Creative Commons licence, unless indicated otherwise in a credit line to the material. If material is not included in the article's Creative Commons licence and your intended use is not permitted by statutory regulation or exceeds the permitted use, you will need to obtain permission directly from the copyright holder. To view a copy of this licence, visit http://creativecommons.org/licenses/by/4.0/. The Creative Commons Public Domain Dedication waiver (http://creativecommons.org/publicdomain/zero/1.0/) applies to the data made available in this article, unless otherwise stated in a credit line to the data.
About this article
Cite this article
Patterson, A.M., Schmutz, C., Davis, S. et al. Differential binding of chemokines to macrophages and neutrophils in the human inflamed synovium.Arthritis Res Ther 4, 209 (2002). https://doi.org/10.1186/ar408
- Received: 30 March 2001
- Revised: 31 October 2001
- Accepted: 12 December 2001
- Published: 01 April 2002
- DOI: https://doi.org/10.1186/ar408




